中国农业科技导报 ›› 2025, Vol. 27 ›› Issue (9): 44-57.DOI: 10.13304/j.nykjdb.2025.0001
刘一凡1,2(), 刘少帅2(
), 臧瑞1, 李洋2, 刘薇3, 李婷婷4, 刘旦梅3, 刘登才4, 李爱丽2, 毛龙2, 王翔1(
), 耿帅锋2(
)
收稿日期:
2025-01-01
接受日期:
2025-03-25
出版日期:
2025-09-15
发布日期:
2025-09-24
通讯作者:
王翔,耿帅锋
作者简介:
刘一凡 E-mail:lyifan0613@163.com基金资助:
Yifan LIU1,2(), Shaoshuai LIU2(
), Rui ZANG1, Yang LI2, Wei LIU3, Tingting LI4, Danmei LIU3, Dengcai LIU4, Aili LI2, Long MAO2, Xiang WANG1(
), Shuaifeng GENG2(
)
Received:
2025-01-01
Accepted:
2025-03-25
Online:
2025-09-15
Published:
2025-09-24
Contact:
Xiang WANG,Shuaifeng GENG
摘要:
为研究高分子量麦谷蛋白亚基(high molecular weight glutenin subunits, HMW-GS)和部分品质性状在小麦改良过程中的变化趋势,选取168份小麦种质资源(46份农家种、18份国外品种、44份2000年前育成品种、60份2000年后育成品种),对其HMW-GS、直链淀粉含量、湿面筋含量、沉降值进行分析。结果表明,在Glu-1位点共检测出13种亚基类型,其中Glu-A1位点有2种亚基类型,以亚基null为主,占比67.86%;Glu-B1位点有8种亚基类型,以7+8亚基为主,占比60.71%;Glu-D1位点有3种亚基类型,以亚基2+12为主,占比73.21%。13种亚基类型共构成21种亚基组合,其中,N/7+8/2+12、N/7+9/2+12、1/7+8/5+10和1/7+9/5+10亚基组合出现的频率较高,占比分别为44.05%、10.12%、8.33%和7.74%。168份小麦种质的直链淀粉含量为11.11%~24.31%,变异系数为10.51%;湿面筋含量为24.43%~69.36%,变异系数为19.06%;沉降值为20.50~61.33 mL,变异系数为15.92%。综上,在小麦品种改良过程中,HMW-GS类型及组合数量逐渐增加,直链淀粉含量显著提高,湿面筋含量显著降低,沉降值无显著变化。对亚基组合进行评分发现,有22份种质的品质评分和沉降值评分均大于9。研究结果为进一步利用优质亚基选育优质品种提供重要的种质资源和参考依据。
中图分类号:
刘一凡, 刘少帅, 臧瑞, 李洋, 刘薇, 李婷婷, 刘旦梅, 刘登才, 李爱丽, 毛龙, 王翔, 耿帅锋. 168份小麦种质资源品质性状分析[J]. 中国农业科技导报, 2025, 27(9): 44-57.
Yifan LIU, Shaoshuai LIU, Rui ZANG, Yang LI, Wei LIU, Tingting LI, Danmei LIU, Dengcai LIU, Aili LI, Long MAO, Xiang WANG, Shuaifeng GENG. Analysis of Quality Traits of 168 Wheat Germplasm Resources[J]. Journal of Agricultural Science and Technology, 2025, 27(9): 44-57.
序号 No. | 名称 Name | 类型 | 序号 No. | 名称 Name | 类型 | |
---|---|---|---|---|---|---|
1 | 小白麦 Xiaobaimai | 农家种CL | 21 | 阜阳红 Fuyanghong | 农家种CL | |
2 | 大白皮 Dabaipi | 农家种CL | 22 | 火麦 Huomai | 农家种CL | |
3 | 春小麦 Chunxiaomai | 农家种CL | 23 | 三月黄 Sanyuehuang | 农家种CL | |
4 | 小口红 Xiaokouhong | 农家种CL | 24 | 小佛手 Xiaofoshou | 农家种CL | |
5 | 红老麦 Honglaomai | 农家种CL | 25 | 红和尚头 Hongheshangtou | 农家种CL | |
6 | 水里站 Shuilizhan | 农家种CL | 26 | 白条鱼 Baitiaoyu | 农家种CL | |
7 | 早小麦 Zaoxiaomai | 农家种CL | 27 | 府麦 Fumai | 农家种CL | |
8 | 望水白 Wangshuibai | 农家种CL | 28 | 边巴春麦-6 Bianbachunmai-6 | 农家种CL | |
9 | 和尚麦 Heshangmai | 农家种CL | 29 | 康定小麦 Kangdingxiaomai | 农家种CL | |
10 | 糯麦 Nuomai | 农家种CL | 30 | 山麦 Shanmai | 农家种CL | |
11 | 芒小麦 Mangxiaomai | 农家种CL | 31 | 大白麦 Dabaimai | 农家种CL | |
12 | 敦化春麦 Dunhuachunmai | 农家种CL | 32 | 山麦 Shanmai | 农家种CL | |
13 | 火球 Huoqiu | 农家种CL | 33 | 白大头 Baidatou | 农家种CL | |
14 | 大青芒 Daqingmang | 农家种CL | 34 | 大白麦 Dabaimai | 农家种CL | |
15 | 潮安小麦 Chaoanxiaomai | 农家种CL | 35 | 白蚂蚱 Baimazha | 农家种CL | |
16 | 赤壳 Chike | 农家种CL | 36 | 老秃头 Laotutou | 农家种CL | |
17 | 上林小麦 Shanglinxiaomai | 农家种CL | 37 | 红花麦 Honghuamai | 农家种CL | |
18 | 红狗豆 Honggoudou | 农家种CL | 38 | 成都光头 Chengduguangtou | 农家种CL | |
19 | 三月黄 Sanyuehuang | 农家种CL | 39 | 鱼鳅麦 Yuqiumai | 农家种CL | |
20 | 白秃子头 Baituzitou | 农家种CL | 40 | 红春麦 Hongchunmai | 农家种CL | |
41 | 红金包银 Hongjinbaoyin | 农家种CL | 66 | 浙麦1号 Zhemai 1 | 2000年前育成品种MCC Ⅰ | |
42 | 无芒春麦 Wumangchunmai | 农家种CL | 67 | 克丰3号 Kefeng 3 | 2000年前育成品种MCC Ⅰ | |
43 | 小红皮 Xiaohongpi | 农家种CL | 68 | 吉春1016 Jichun 1016 | 2000年前育成品种MCC Ⅰ | |
44 | 大玉花 Dayuhua | 农家种CL | 69 | 晋麦2148 Jinmai 2148 | 2000年前育成品种MCC Ⅰ | |
45 | 白芒麦 Baimangmai | 农家种CL | 70 | 敌锈早 Dixiuzao | 2000年前育成品种MCC Ⅰ | |
46 | 涿鹿冬麦 Zhuludongmai | 农家种CL | 71 | 碧蚂4号 Bima 4 | 2000年前育成品种MCC Ⅰ | |
47 | 内麦11 Neimai 11 | 2000年前育成品种MCC Ⅰ | 72 | 平阳27 Pingyang 27 | 2000年前育成品种MCC Ⅰ | |
48 | 抗锈10号 Kangxiu 10 | 2000年前育成品种MCC Ⅰ | 73 | 泰山1号 Taishan 1 | 2000年前育成品种MCC Ⅰ | |
49 | 新克旱9号 Xinkehan 9 | 2000年前育成品种MCC Ⅰ | 74 | 济南2号 Jinan 2 | 2000年前育成品种MCC Ⅰ | |
50 | 济南17 Jinan 17 | 2000年前育成品种MCC Ⅰ | 75 | 西农6028 Xinong 6028 | 2000年前育成品种MCC Ⅰ | |
51 | 新曙光6号 Xinshuguang 6 | 2000年前育成品种MCC Ⅰ | 76 | 日喀则8号 Rikeze 8 | 2000年前育成品种MCC Ⅰ | |
52 | 台中23 Taizhong 23 | 2000年前育成品种MCC Ⅰ | 77 | 甘麦8号 Ganmai 8 | 2000年前育成品种MCC Ⅰ | |
53 | 晋春3号 Jinchun 3 | 2000年前育成品种MCC Ⅰ | 78 | 青春28 Qingchun 28 | 2000年前育成品种MCC Ⅰ | |
54 | 丰抗2号 Fengkang 2 | 2000年前育成品种MCC Ⅰ | 79 | 宁春4号 Ningchun 4 | 2000年前育成品种MCC Ⅰ | |
55 | 东方红3号 Dongfanghong 3 | 2000年前育成品种MCC Ⅰ | 80 | 金麦4号 Jinmai 4 | 2000年前育成品种MCC Ⅰ | |
56 | 安徽3号 Anhui 3 | 2000年前育成品种MCC Ⅰ | 81 | 毕麦26 Bimai 26 | 2000年前育成品种MCC Ⅰ | |
57 | 新曙光1号 Xinshuguang 1 | 2000年前育成品种MCC Ⅰ | 82 | 凤麦11 Fengmai 11 | 2000年前育成品种MCC Ⅰ | |
58 | 云麦34 Yunmai 34 | 2000年前育成品种MCC Ⅰ | 83 | 喀什白皮 Kashibaipi | 2000年前育成品种MCC Ⅰ | |
59 | 矮丰3号 Aifeng 3 | 2000年前育成品种MCC Ⅰ | 84 | 托克逊1号 Tuokexun 1 | 2000年前育成品种MCC Ⅰ | |
60 | 晋麦8号 Jinmai 8 | 2000年前育成品种MCC Ⅰ | 85 | 毕红穗 Bihongsui | 2000年前育成品种MCCⅠ | |
61 | 原冬822 Yuandong 822 | 2000年前育成品种MCC Ⅰ | 86 | 北京8号 Beijing 8 | 2000年前育成品种MCCⅠ | |
62 | 繁6 Fan 6 | 2000年前育成品种MCC Ⅰ | 87 | 铭贤169 Mingxian 169 | 2000年前育成品种MCCⅠ | |
63 | 骊英5号 Liying 5 | 2000年前育成品种MCC Ⅰ | 88 | 日喀则54号 Rikeze 54 | 2000年前育成品种MCCⅠ | |
64 | 苏麦3号 Sumai 3 | 2000年前育成品种MCC Ⅰ | 89 | 会宁10号 Huining 10 | 2000年前育成品种MCCⅠ | |
65 | 鄂麦6号 emai 6 | 2000年前育成品种MCC Ⅰ | 90 | 藏冬4号 Zangdong 4 | 2000年前育成品种MCCⅠ | |
91 | 赤小麦 Chixiaomai | 国外品种IMC | 116 | 新麦45 Xinmai 45 | 2000年后育成品种MCC Ⅱ | |
92 | Moba 66 | 国外品种IMC | 117 | 襄麦55 Xiangmai 55 | 2000年后育成品种MCC Ⅱ | |
93 | 阿夫 Funo | 国外品种IMC | 118 | 衡Y156028 Heng Y156028 | 2000年后育成品种MCC Ⅱ | |
94 | 郑引4号 Zhengyi 4 | 国外品种IMC | 119 | 冀麦713 Jimai 713 | 2000年后育成品种MCC Ⅱ | |
95 | 中农28 Zhongnong 28 | 国外品种IMC | 120 | 石166218 Shi 166218 | 2000年后育成品种MCC Ⅱ | |
96 | 高加索 Кавказ | 国外品种IMC | 121 | 周麦22 Zhoumai 22 | 2000年后育成品种MCC Ⅱ | |
97 | 南大2419 Nanda 2419 | 国外品种IMC | 122 | 豫麦41 Yumai 41 | 2000年后育成品种MCC Ⅱ | |
98 | 农林10号 Nonglin 10 | 国外品种IMC | 123 | 师栾02-1 Shiluan 02-1 | 2000年后育成品种MCC Ⅱ | |
99 | 钱交麦 Qianjiaomai | 国外品种IMC | 124 | 郑麦7698 Zhengmai 7698 | 2000年后育成品种MC CⅡ | |
100 | 敖德萨3号 Aodesa 3 | 国外品种IMC | 125 | 周麦38 Zhoumai 38 | 2000年后育成品种MCC Ⅱ | |
101 | 甘肃96 Gansu 96 | 国外品种IMC | 126 | 百农207 Bainong 207 | 2000年后育成品种MCC Ⅱ | |
102 | Orofen | 国外品种IMC | 127 | 百农4199 Bainong 4199 | 2000年后育成品种MCC Ⅱ | |
103 | 水原86 Shuiyuan 86 | 国外品种IMC | 128 | 新麦19 Xinmai 19 | 2000年后育成品种MCC Ⅱ | |
104 | 早洋麦 Early Premium | 国外品种IMC | 129 | 周麦32号 Zhoumai 32 | 2000年后育成品种MC C Ⅱ | |
105 | 胜利麦 Triumph | 国外品种IMC | 130 | 衡优1601 Hengyou 1601 | 2000年后育成品种MCC Ⅱ | |
106 | 洛夫林10号 Lovrin 10 | 国外品种IMC | 131 | 416 | 2000年后育成品种MCC Ⅱ | |
107 | Atlas 66 | 国外品种IMC | 132 | 福麦168 Fumai 168 | 2000年后育成品种MCC Ⅱ | |
108 | 阿勃 Abbondanza | 国外品种IMC | 133 | 中麦1824 Zhongmai 1824 | 2000年后育成品种MCC Ⅱ | |
109 | 郑麦366 Zhengmai 366 | 2000年后育成品种MCC Ⅱ | 134 | 济麦22 Jimai 22 | 2000年后育成品种MCC Ⅱ | |
110 | 淮麦20 Huaimai 20 | 2000年后育成品种MCC Ⅱ | 135 | 山农05-066 Shannong 05-066 | 2000年后育成品种MCC Ⅱ | |
111 | 豫麦 18 Yumai 18 | 2000年后育成品种MCC Ⅱ | 136 | 泰科麦33 Taikemai 33 | 2000年后育成品种MCC Ⅱ | |
112 | 科农2009 Kenong 2009 | 2000年后育成品种MCC Ⅱ | 137 | 良星99选 Liangxing 99 xuan | 2000年后育成品种MCC Ⅱ | |
113 | 藁优5766 Gaoyou 5766 | 2000年后育成品种MCC Ⅱ | 138 | 荷麦22 Hemai 22 | 2000年后育成品种MCC Ⅱ | |
114 | 河农8324 Henong 8324 | 2000年后育成品种MCC Ⅱ | 139 | 西农979 Xinong 979 | 2000年后育成品种MCC Ⅱ | |
115 | 济紫麦1号 Jizimai 1 | 2000年后育成品种MCC Ⅱ | 140 | 石新828 Shixin 828 | 2000年后育成品种MCC Ⅱ | |
141 | 轮选2000 Lunxuan 2000 | 2000年后育成品种MCC Ⅱ | 155 | 烟农19 Yannong 19 | 2000年后育成品种MCC Ⅱ | |
142 | 烟农999 Yannong 999 | 2000年后育成品种MCC Ⅱ | 156 | 泛麦5039 Fanmai 5039 | 2000年后育成品种MCC Ⅱ | |
143 | 济麦20号 Jimai 20 | 2000年后育成品种MCC Ⅱ | 157 | 金禾16294 Jinhe 16294 | 2000年后育成品种MCC Ⅱ | |
144 | 石4185 Shi 4185 | 2000年后育成品种MCC Ⅱ | 158 | 川麦42-HM Chuanmai 42-HM | 2000年后育成品种MCC Ⅱ | |
145 | 中麦5215 Zhongmai 5215 | 2000年后育成品种MCC Ⅱ | 159 | 科兴3302 Kexing 3302 | 2000年后育成品种MCC Ⅱ | |
146 | 郑麦379 Zhengmai 379 | 2000年后育成品种MCC Ⅱ | 160 | 中麦225 Zhongmai 225 | 2000年后育成品种MCC Ⅱ | |
147 | 周麦27系 Zhoumai 27 | 2000年后育成品种MCC Ⅱ | 161 | 丰德存麦1 Fengdecunmai 1 | 2000年后育成品种MCC Ⅱ | |
148 | 涡麦66 Womai 66 | 2000年后育成品种MCC Ⅱ | 162 | 藁2018 Gao 2018 | 2000年后育成品种MCC Ⅱ | |
149 | 荔垦4号 Liken 4 | 2000年后育成品种MCC Ⅱ | 163 | 衡观152 Henguan 152 | 2000年后育成品种MCC Ⅱ | |
150 | 红地09-5 Hongdi 09-5 | 2000年后育成品种MCC Ⅱ | 164 | 济麦20 Jimai 20 | 2000年后育成品种MCC Ⅱ | |
151 | 绵阳26 Mianyang 26 | 2000年后育成品种MCC Ⅱ | 165 | 轮选145 Lunxuan 145 | 2000年后育成品种MCC Ⅱ | |
152 | 周8425B Zhou 8425B | 2000年后育成品种MCC Ⅱ | 166 | 偃4110 Yan 4110 | 2000年后育成品种MCC Ⅱ | |
153 | 洛麦26 Luomai 26 | 2000年后育成品种MCC Ⅱ | 167 | 山农29 Shannong 29 | 2000年后育成品种MCC Ⅱ | |
154 | 西农511 Xinong 511 | 2000年后育成品种MCC Ⅱ | 168 | 邯郸6172 Handan 6172 | 2000年后育成品种MCC Ⅱ |
表1 168份小麦种质名称
Table 1 Names of 168 wheat germplacms
序号 No. | 名称 Name | 类型 | 序号 No. | 名称 Name | 类型 | |
---|---|---|---|---|---|---|
1 | 小白麦 Xiaobaimai | 农家种CL | 21 | 阜阳红 Fuyanghong | 农家种CL | |
2 | 大白皮 Dabaipi | 农家种CL | 22 | 火麦 Huomai | 农家种CL | |
3 | 春小麦 Chunxiaomai | 农家种CL | 23 | 三月黄 Sanyuehuang | 农家种CL | |
4 | 小口红 Xiaokouhong | 农家种CL | 24 | 小佛手 Xiaofoshou | 农家种CL | |
5 | 红老麦 Honglaomai | 农家种CL | 25 | 红和尚头 Hongheshangtou | 农家种CL | |
6 | 水里站 Shuilizhan | 农家种CL | 26 | 白条鱼 Baitiaoyu | 农家种CL | |
7 | 早小麦 Zaoxiaomai | 农家种CL | 27 | 府麦 Fumai | 农家种CL | |
8 | 望水白 Wangshuibai | 农家种CL | 28 | 边巴春麦-6 Bianbachunmai-6 | 农家种CL | |
9 | 和尚麦 Heshangmai | 农家种CL | 29 | 康定小麦 Kangdingxiaomai | 农家种CL | |
10 | 糯麦 Nuomai | 农家种CL | 30 | 山麦 Shanmai | 农家种CL | |
11 | 芒小麦 Mangxiaomai | 农家种CL | 31 | 大白麦 Dabaimai | 农家种CL | |
12 | 敦化春麦 Dunhuachunmai | 农家种CL | 32 | 山麦 Shanmai | 农家种CL | |
13 | 火球 Huoqiu | 农家种CL | 33 | 白大头 Baidatou | 农家种CL | |
14 | 大青芒 Daqingmang | 农家种CL | 34 | 大白麦 Dabaimai | 农家种CL | |
15 | 潮安小麦 Chaoanxiaomai | 农家种CL | 35 | 白蚂蚱 Baimazha | 农家种CL | |
16 | 赤壳 Chike | 农家种CL | 36 | 老秃头 Laotutou | 农家种CL | |
17 | 上林小麦 Shanglinxiaomai | 农家种CL | 37 | 红花麦 Honghuamai | 农家种CL | |
18 | 红狗豆 Honggoudou | 农家种CL | 38 | 成都光头 Chengduguangtou | 农家种CL | |
19 | 三月黄 Sanyuehuang | 农家种CL | 39 | 鱼鳅麦 Yuqiumai | 农家种CL | |
20 | 白秃子头 Baituzitou | 农家种CL | 40 | 红春麦 Hongchunmai | 农家种CL | |
41 | 红金包银 Hongjinbaoyin | 农家种CL | 66 | 浙麦1号 Zhemai 1 | 2000年前育成品种MCC Ⅰ | |
42 | 无芒春麦 Wumangchunmai | 农家种CL | 67 | 克丰3号 Kefeng 3 | 2000年前育成品种MCC Ⅰ | |
43 | 小红皮 Xiaohongpi | 农家种CL | 68 | 吉春1016 Jichun 1016 | 2000年前育成品种MCC Ⅰ | |
44 | 大玉花 Dayuhua | 农家种CL | 69 | 晋麦2148 Jinmai 2148 | 2000年前育成品种MCC Ⅰ | |
45 | 白芒麦 Baimangmai | 农家种CL | 70 | 敌锈早 Dixiuzao | 2000年前育成品种MCC Ⅰ | |
46 | 涿鹿冬麦 Zhuludongmai | 农家种CL | 71 | 碧蚂4号 Bima 4 | 2000年前育成品种MCC Ⅰ | |
47 | 内麦11 Neimai 11 | 2000年前育成品种MCC Ⅰ | 72 | 平阳27 Pingyang 27 | 2000年前育成品种MCC Ⅰ | |
48 | 抗锈10号 Kangxiu 10 | 2000年前育成品种MCC Ⅰ | 73 | 泰山1号 Taishan 1 | 2000年前育成品种MCC Ⅰ | |
49 | 新克旱9号 Xinkehan 9 | 2000年前育成品种MCC Ⅰ | 74 | 济南2号 Jinan 2 | 2000年前育成品种MCC Ⅰ | |
50 | 济南17 Jinan 17 | 2000年前育成品种MCC Ⅰ | 75 | 西农6028 Xinong 6028 | 2000年前育成品种MCC Ⅰ | |
51 | 新曙光6号 Xinshuguang 6 | 2000年前育成品种MCC Ⅰ | 76 | 日喀则8号 Rikeze 8 | 2000年前育成品种MCC Ⅰ | |
52 | 台中23 Taizhong 23 | 2000年前育成品种MCC Ⅰ | 77 | 甘麦8号 Ganmai 8 | 2000年前育成品种MCC Ⅰ | |
53 | 晋春3号 Jinchun 3 | 2000年前育成品种MCC Ⅰ | 78 | 青春28 Qingchun 28 | 2000年前育成品种MCC Ⅰ | |
54 | 丰抗2号 Fengkang 2 | 2000年前育成品种MCC Ⅰ | 79 | 宁春4号 Ningchun 4 | 2000年前育成品种MCC Ⅰ | |
55 | 东方红3号 Dongfanghong 3 | 2000年前育成品种MCC Ⅰ | 80 | 金麦4号 Jinmai 4 | 2000年前育成品种MCC Ⅰ | |
56 | 安徽3号 Anhui 3 | 2000年前育成品种MCC Ⅰ | 81 | 毕麦26 Bimai 26 | 2000年前育成品种MCC Ⅰ | |
57 | 新曙光1号 Xinshuguang 1 | 2000年前育成品种MCC Ⅰ | 82 | 凤麦11 Fengmai 11 | 2000年前育成品种MCC Ⅰ | |
58 | 云麦34 Yunmai 34 | 2000年前育成品种MCC Ⅰ | 83 | 喀什白皮 Kashibaipi | 2000年前育成品种MCC Ⅰ | |
59 | 矮丰3号 Aifeng 3 | 2000年前育成品种MCC Ⅰ | 84 | 托克逊1号 Tuokexun 1 | 2000年前育成品种MCC Ⅰ | |
60 | 晋麦8号 Jinmai 8 | 2000年前育成品种MCC Ⅰ | 85 | 毕红穗 Bihongsui | 2000年前育成品种MCCⅠ | |
61 | 原冬822 Yuandong 822 | 2000年前育成品种MCC Ⅰ | 86 | 北京8号 Beijing 8 | 2000年前育成品种MCCⅠ | |
62 | 繁6 Fan 6 | 2000年前育成品种MCC Ⅰ | 87 | 铭贤169 Mingxian 169 | 2000年前育成品种MCCⅠ | |
63 | 骊英5号 Liying 5 | 2000年前育成品种MCC Ⅰ | 88 | 日喀则54号 Rikeze 54 | 2000年前育成品种MCCⅠ | |
64 | 苏麦3号 Sumai 3 | 2000年前育成品种MCC Ⅰ | 89 | 会宁10号 Huining 10 | 2000年前育成品种MCCⅠ | |
65 | 鄂麦6号 emai 6 | 2000年前育成品种MCC Ⅰ | 90 | 藏冬4号 Zangdong 4 | 2000年前育成品种MCCⅠ | |
91 | 赤小麦 Chixiaomai | 国外品种IMC | 116 | 新麦45 Xinmai 45 | 2000年后育成品种MCC Ⅱ | |
92 | Moba 66 | 国外品种IMC | 117 | 襄麦55 Xiangmai 55 | 2000年后育成品种MCC Ⅱ | |
93 | 阿夫 Funo | 国外品种IMC | 118 | 衡Y156028 Heng Y156028 | 2000年后育成品种MCC Ⅱ | |
94 | 郑引4号 Zhengyi 4 | 国外品种IMC | 119 | 冀麦713 Jimai 713 | 2000年后育成品种MCC Ⅱ | |
95 | 中农28 Zhongnong 28 | 国外品种IMC | 120 | 石166218 Shi 166218 | 2000年后育成品种MCC Ⅱ | |
96 | 高加索 Кавказ | 国外品种IMC | 121 | 周麦22 Zhoumai 22 | 2000年后育成品种MCC Ⅱ | |
97 | 南大2419 Nanda 2419 | 国外品种IMC | 122 | 豫麦41 Yumai 41 | 2000年后育成品种MCC Ⅱ | |
98 | 农林10号 Nonglin 10 | 国外品种IMC | 123 | 师栾02-1 Shiluan 02-1 | 2000年后育成品种MCC Ⅱ | |
99 | 钱交麦 Qianjiaomai | 国外品种IMC | 124 | 郑麦7698 Zhengmai 7698 | 2000年后育成品种MC CⅡ | |
100 | 敖德萨3号 Aodesa 3 | 国外品种IMC | 125 | 周麦38 Zhoumai 38 | 2000年后育成品种MCC Ⅱ | |
101 | 甘肃96 Gansu 96 | 国外品种IMC | 126 | 百农207 Bainong 207 | 2000年后育成品种MCC Ⅱ | |
102 | Orofen | 国外品种IMC | 127 | 百农4199 Bainong 4199 | 2000年后育成品种MCC Ⅱ | |
103 | 水原86 Shuiyuan 86 | 国外品种IMC | 128 | 新麦19 Xinmai 19 | 2000年后育成品种MCC Ⅱ | |
104 | 早洋麦 Early Premium | 国外品种IMC | 129 | 周麦32号 Zhoumai 32 | 2000年后育成品种MC C Ⅱ | |
105 | 胜利麦 Triumph | 国外品种IMC | 130 | 衡优1601 Hengyou 1601 | 2000年后育成品种MCC Ⅱ | |
106 | 洛夫林10号 Lovrin 10 | 国外品种IMC | 131 | 416 | 2000年后育成品种MCC Ⅱ | |
107 | Atlas 66 | 国外品种IMC | 132 | 福麦168 Fumai 168 | 2000年后育成品种MCC Ⅱ | |
108 | 阿勃 Abbondanza | 国外品种IMC | 133 | 中麦1824 Zhongmai 1824 | 2000年后育成品种MCC Ⅱ | |
109 | 郑麦366 Zhengmai 366 | 2000年后育成品种MCC Ⅱ | 134 | 济麦22 Jimai 22 | 2000年后育成品种MCC Ⅱ | |
110 | 淮麦20 Huaimai 20 | 2000年后育成品种MCC Ⅱ | 135 | 山农05-066 Shannong 05-066 | 2000年后育成品种MCC Ⅱ | |
111 | 豫麦 18 Yumai 18 | 2000年后育成品种MCC Ⅱ | 136 | 泰科麦33 Taikemai 33 | 2000年后育成品种MCC Ⅱ | |
112 | 科农2009 Kenong 2009 | 2000年后育成品种MCC Ⅱ | 137 | 良星99选 Liangxing 99 xuan | 2000年后育成品种MCC Ⅱ | |
113 | 藁优5766 Gaoyou 5766 | 2000年后育成品种MCC Ⅱ | 138 | 荷麦22 Hemai 22 | 2000年后育成品种MCC Ⅱ | |
114 | 河农8324 Henong 8324 | 2000年后育成品种MCC Ⅱ | 139 | 西农979 Xinong 979 | 2000年后育成品种MCC Ⅱ | |
115 | 济紫麦1号 Jizimai 1 | 2000年后育成品种MCC Ⅱ | 140 | 石新828 Shixin 828 | 2000年后育成品种MCC Ⅱ | |
141 | 轮选2000 Lunxuan 2000 | 2000年后育成品种MCC Ⅱ | 155 | 烟农19 Yannong 19 | 2000年后育成品种MCC Ⅱ | |
142 | 烟农999 Yannong 999 | 2000年后育成品种MCC Ⅱ | 156 | 泛麦5039 Fanmai 5039 | 2000年后育成品种MCC Ⅱ | |
143 | 济麦20号 Jimai 20 | 2000年后育成品种MCC Ⅱ | 157 | 金禾16294 Jinhe 16294 | 2000年后育成品种MCC Ⅱ | |
144 | 石4185 Shi 4185 | 2000年后育成品种MCC Ⅱ | 158 | 川麦42-HM Chuanmai 42-HM | 2000年后育成品种MCC Ⅱ | |
145 | 中麦5215 Zhongmai 5215 | 2000年后育成品种MCC Ⅱ | 159 | 科兴3302 Kexing 3302 | 2000年后育成品种MCC Ⅱ | |
146 | 郑麦379 Zhengmai 379 | 2000年后育成品种MCC Ⅱ | 160 | 中麦225 Zhongmai 225 | 2000年后育成品种MCC Ⅱ | |
147 | 周麦27系 Zhoumai 27 | 2000年后育成品种MCC Ⅱ | 161 | 丰德存麦1 Fengdecunmai 1 | 2000年后育成品种MCC Ⅱ | |
148 | 涡麦66 Womai 66 | 2000年后育成品种MCC Ⅱ | 162 | 藁2018 Gao 2018 | 2000年后育成品种MCC Ⅱ | |
149 | 荔垦4号 Liken 4 | 2000年后育成品种MCC Ⅱ | 163 | 衡观152 Henguan 152 | 2000年后育成品种MCC Ⅱ | |
150 | 红地09-5 Hongdi 09-5 | 2000年后育成品种MCC Ⅱ | 164 | 济麦20 Jimai 20 | 2000年后育成品种MCC Ⅱ | |
151 | 绵阳26 Mianyang 26 | 2000年后育成品种MCC Ⅱ | 165 | 轮选145 Lunxuan 145 | 2000年后育成品种MCC Ⅱ | |
152 | 周8425B Zhou 8425B | 2000年后育成品种MCC Ⅱ | 166 | 偃4110 Yan 4110 | 2000年后育成品种MCC Ⅱ | |
153 | 洛麦26 Luomai 26 | 2000年后育成品种MCC Ⅱ | 167 | 山农29 Shannong 29 | 2000年后育成品种MCC Ⅱ | |
154 | 西农511 Xinong 511 | 2000年后育成品种MCC Ⅱ | 168 | 邯郸6172 Handan 6172 | 2000年后育成品种MCC Ⅱ |
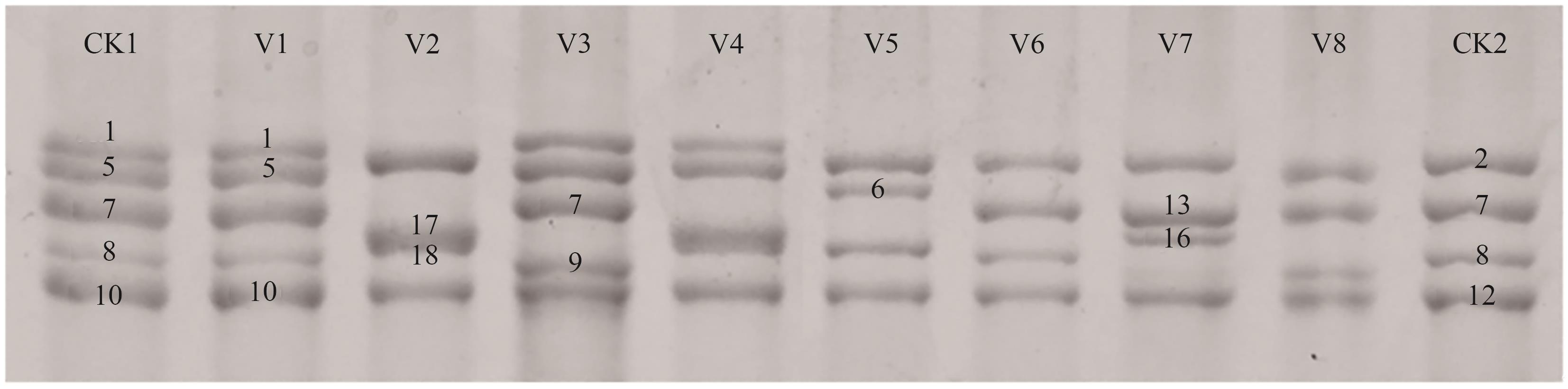
图1 部分供试小麦种质的HMW-GS基组成图谱注:CK1—郑麦366;V1—存麦5号;V2—赤小麦;V3—周麦22;V4—舜麦1718;V5—Atlas 66;V6—小口红;V7—原冬822;V8—金禾16294;CK2—中国春。
Fig. 1 Composition of HMW-GS of part of wheat germplasmsNote:CK1—Zhengmai 366; V1—Cunmai 5; V2—Chixiaomai; V3—Zhoumai 22; V4—Shunmai 1718; V5—Atlas 66; V6—Xiaokouhong; V7—Yuandong 822; V8—Jinhe 16294; CK2—Chinese Spring.
位点 Locus | 类型 Type | 总体 Total | 农家种 CL | 国外品种 IMC | 2000年前育成品种 MCC Ⅰ | 2000年后育成品种 MCC Ⅱ | |||||
---|---|---|---|---|---|---|---|---|---|---|---|
数量 Quantity | 频率 Frequency/% | 数量 Quantity | 频率 Frequency/% | 数量 Quantity | 频率 Frequency/% | 数量 Quantity | 频率 Frequency/% | 数量 Quantity | 频率 Frequency/% | ||
Glu-A1 | 1 | 54 | 32.14 | 3 | 16.67 | 6 | 13.64 | 45 | 75.00 | ||
Null | 114 | 67.86 | 46 | 100.00 | 15 | 83.33 | 38 | 86.36 | 15 | 25.00 | |
Glu-B1 | 7+8 | 102 | 60.71 | 42 | 91.30 | 7 | 38.89 | 30 | 68.18 | 23 | 38.33 |
7+9 | 40 | 23.81 | 2 | 4.35 | 4 | 22.22 | 9 | 20.45 | 25 | 41.67 | |
13+16 | 14 | 8.33 | 3 | 16.67 | 3 | 6.82 | 8 | 13.33 | |||
17+18 | 5 | 2.98 | 2 | 11.11 | 3 | 5.00 | |||||
6+8 | 3 | 1.79 | 1 | 5.56 | 1 | 2.27 | 1 | 1.67 | |||
7 | 2 | 1.19 | 2 | 4.35 | |||||||
8 | 1 | 0.60 | 1 | 2.27 | |||||||
9 | 1 | 0.60 | 1 | 5.56 | |||||||
Glu-D1 | 2+12 | 123 | 73.21 | 46 | 100.00 | 17 | 94.44 | 40 | 90.91 | 20 | 33.33 |
5+10 | 44 | 26.19 | 1 | 5.56 | 3 | 6.82 | 40 | 66.67 | |||
2 | 1 | 0.60 | 1 | 2.27 |
表2 168份小麦种质的HMW-GS的频率分布
Table 2 Frequency distribution of HMW-GS of 168 wheat germplasms
位点 Locus | 类型 Type | 总体 Total | 农家种 CL | 国外品种 IMC | 2000年前育成品种 MCC Ⅰ | 2000年后育成品种 MCC Ⅱ | |||||
---|---|---|---|---|---|---|---|---|---|---|---|
数量 Quantity | 频率 Frequency/% | 数量 Quantity | 频率 Frequency/% | 数量 Quantity | 频率 Frequency/% | 数量 Quantity | 频率 Frequency/% | 数量 Quantity | 频率 Frequency/% | ||
Glu-A1 | 1 | 54 | 32.14 | 3 | 16.67 | 6 | 13.64 | 45 | 75.00 | ||
Null | 114 | 67.86 | 46 | 100.00 | 15 | 83.33 | 38 | 86.36 | 15 | 25.00 | |
Glu-B1 | 7+8 | 102 | 60.71 | 42 | 91.30 | 7 | 38.89 | 30 | 68.18 | 23 | 38.33 |
7+9 | 40 | 23.81 | 2 | 4.35 | 4 | 22.22 | 9 | 20.45 | 25 | 41.67 | |
13+16 | 14 | 8.33 | 3 | 16.67 | 3 | 6.82 | 8 | 13.33 | |||
17+18 | 5 | 2.98 | 2 | 11.11 | 3 | 5.00 | |||||
6+8 | 3 | 1.79 | 1 | 5.56 | 1 | 2.27 | 1 | 1.67 | |||
7 | 2 | 1.19 | 2 | 4.35 | |||||||
8 | 1 | 0.60 | 1 | 2.27 | |||||||
9 | 1 | 0.60 | 1 | 5.56 | |||||||
Glu-D1 | 2+12 | 123 | 73.21 | 46 | 100.00 | 17 | 94.44 | 40 | 90.91 | 20 | 33.33 |
5+10 | 44 | 26.19 | 1 | 5.56 | 3 | 6.82 | 40 | 66.67 | |||
2 | 1 | 0.60 | 1 | 2.27 |
HMW-GS组合 HMW-GS combination | 总计Total | 农家种 CL | 国外品种 IMC | 2000年前育成品种 MCC Ⅰ | 2000年后育成品种 MCC Ⅱ | |||||||
---|---|---|---|---|---|---|---|---|---|---|---|---|
A1 | B1 | D1 | 数量 Quantity | 频率 Frequency/% | 数量 Quantity | 频率 Frequency/% | 数量 Quantity | 频率 Frequency/% | 数量 Quantity | 频率 Frequency/% | 数量 Quantity | 频率 Frequency/% |
N | 7+8 | 2+12 | 74 | 44.05 | 42 | 91.30 | 6 | 33.33 | 25 | 56.82 | 1 | 1.67 |
N | 7+8 | 5+10 | 5 | 2.98 | 5 | 8.33 | ||||||
1 | 7+8 | 2+12 | 8 | 4.76 | 1 | 5.56 | 2 | 4.55 | 5 | 8.33 | ||
1 | 7+8 | 5+10 | 14 | 8.33 | 2 | 4.55 | 12 | 20.00 | ||||
N | 7+9 | 2+12 | 17 | 10.12 | 2 | 4.35 | 4 | 22.22 | 7 | 15.91 | 4 | 6.67 |
1 | 7+9 | 2+12 | 9 | 5.36 | 2 | 4.55 | 7 | 11.67 | ||||
1 | 7+9 | 5+10 | 13 | 7.74 | 13 | 21.67 | ||||||
N | 13+16 | 2+12 | 5 | 2.98 | 1 | 5.56 | 3 | 6.82 | 1 | 1.67 | ||
1 | 13+16 | 2+12 | 3 | 1.79 | 2 | 11.10 | 1 | 1.67 | ||||
1 | 13+16 | 5+10 | 5 | 2.98 | 5 | 8.33 | ||||||
1 | 17+18 | 5+10 | 2 | 1.19 | 2 | 3.33 | ||||||
N | 7+9 | 5+10 | 1 | 0.60 | 1 | 1.67 | ||||||
N | 6+8 | 2+12 | 2 | 1.19 | 1 | 5.56 | 1 | 1.67 | ||||
N | 17+18 | 2+12 | 2 | 1.19 | 2 | 11.10 | ||||||
N | 7 | 2+12 | 2 | 1.19 | 2 | 4.35 | ||||||
N | 6+8 | 5+10 | 1 | 0.60 | 1 | 2.27 | ||||||
N | 13+16 | 5+10 | 1 | 0.60 | 1 | 1.67 | ||||||
N | 17+18 | 5+10 | 1 | 0.60 | 1 | 1.67 | ||||||
N | 8 | 2+12 | 1 | 0.60 | 1 | 2.27 | ||||||
N | 7+8 | 2 | 1 | 0.60 | 1 | 2.27 | ||||||
N | 9 | 5+10 | 1 | 0.60 | 1 | 5.56 |
表3 168份小麦种质的HMW-GS组合及频率分布
Table 3 Combination and frequency distribution of HMW-GS in 168 wheat germplasms
HMW-GS组合 HMW-GS combination | 总计Total | 农家种 CL | 国外品种 IMC | 2000年前育成品种 MCC Ⅰ | 2000年后育成品种 MCC Ⅱ | |||||||
---|---|---|---|---|---|---|---|---|---|---|---|---|
A1 | B1 | D1 | 数量 Quantity | 频率 Frequency/% | 数量 Quantity | 频率 Frequency/% | 数量 Quantity | 频率 Frequency/% | 数量 Quantity | 频率 Frequency/% | 数量 Quantity | 频率 Frequency/% |
N | 7+8 | 2+12 | 74 | 44.05 | 42 | 91.30 | 6 | 33.33 | 25 | 56.82 | 1 | 1.67 |
N | 7+8 | 5+10 | 5 | 2.98 | 5 | 8.33 | ||||||
1 | 7+8 | 2+12 | 8 | 4.76 | 1 | 5.56 | 2 | 4.55 | 5 | 8.33 | ||
1 | 7+8 | 5+10 | 14 | 8.33 | 2 | 4.55 | 12 | 20.00 | ||||
N | 7+9 | 2+12 | 17 | 10.12 | 2 | 4.35 | 4 | 22.22 | 7 | 15.91 | 4 | 6.67 |
1 | 7+9 | 2+12 | 9 | 5.36 | 2 | 4.55 | 7 | 11.67 | ||||
1 | 7+9 | 5+10 | 13 | 7.74 | 13 | 21.67 | ||||||
N | 13+16 | 2+12 | 5 | 2.98 | 1 | 5.56 | 3 | 6.82 | 1 | 1.67 | ||
1 | 13+16 | 2+12 | 3 | 1.79 | 2 | 11.10 | 1 | 1.67 | ||||
1 | 13+16 | 5+10 | 5 | 2.98 | 5 | 8.33 | ||||||
1 | 17+18 | 5+10 | 2 | 1.19 | 2 | 3.33 | ||||||
N | 7+9 | 5+10 | 1 | 0.60 | 1 | 1.67 | ||||||
N | 6+8 | 2+12 | 2 | 1.19 | 1 | 5.56 | 1 | 1.67 | ||||
N | 17+18 | 2+12 | 2 | 1.19 | 2 | 11.10 | ||||||
N | 7 | 2+12 | 2 | 1.19 | 2 | 4.35 | ||||||
N | 6+8 | 5+10 | 1 | 0.60 | 1 | 2.27 | ||||||
N | 13+16 | 5+10 | 1 | 0.60 | 1 | 1.67 | ||||||
N | 17+18 | 5+10 | 1 | 0.60 | 1 | 1.67 | ||||||
N | 8 | 2+12 | 1 | 0.60 | 1 | 2.27 | ||||||
N | 7+8 | 2 | 1 | 0.60 | 1 | 2.27 | ||||||
N | 9 | 5+10 | 1 | 0.60 | 1 | 5.56 |
群体 Population | 指标 Index | 直链淀粉 Amylose content/% | 湿面筋含量 Wet gluten content/% | 沉降值 SDS/mL |
---|---|---|---|---|
总体 Total | 变幅Range | 11.11~24.31 | 24.43~69.36 | 20.50~61.33 |
平均值Mean | 19.37±0.02 | 45.54±0.09 | 40.79±6.49 | |
变异系数Coefficient of variation/% | 10.51 | 19.06 | 15.92 | |
农家种 CL | 变幅Range | 16.20~23.43 | 31.43~69.37 | 29.17~52.33 |
平均值Mean | 18.17±0.01 | 53.53±0.07 | 40.50±6.84 | |
变异系数Coefficient of variation/% | 8.25 | 14.30 | 16.90 | |
国外品种 IMC | 变幅Range | 16.72~23.01 | 38.53~63.07 | 28.17~61.33 |
平均值Mean | 19.07±0.02 | 49.97±0.07 | 42.28±8.34 | |
变异系数Coefficient of variation/% | 8.27 | 13.61 | 19.65 | |
2000年前育成品种 MCC Ⅰ | 变幅Range | 15.94~21.55 | 35.37~62.43 | 20.50~59.67 |
平均值Mean | 18.79±0.01 | 45.58±0.05 | 39.55±6.91 | |
变异系数Coefficient of variation/% | 6.87 | 12.01 | 17.49 | |
2000后前育成品种 MCC Ⅱ | 变幅Range | 11.11~24.31 | 24.43~47.20 | 32.67~56.50 |
平均值Mean | 20.79±0.02 | 38.07±0.04 | 41.38±5.13 | |
变异系数Coefficient of variation/% | 10.33 | 12.05 | 12.40 |
表4 小麦品质性状
Table 4 Wheat quality traits
群体 Population | 指标 Index | 直链淀粉 Amylose content/% | 湿面筋含量 Wet gluten content/% | 沉降值 SDS/mL |
---|---|---|---|---|
总体 Total | 变幅Range | 11.11~24.31 | 24.43~69.36 | 20.50~61.33 |
平均值Mean | 19.37±0.02 | 45.54±0.09 | 40.79±6.49 | |
变异系数Coefficient of variation/% | 10.51 | 19.06 | 15.92 | |
农家种 CL | 变幅Range | 16.20~23.43 | 31.43~69.37 | 29.17~52.33 |
平均值Mean | 18.17±0.01 | 53.53±0.07 | 40.50±6.84 | |
变异系数Coefficient of variation/% | 8.25 | 14.30 | 16.90 | |
国外品种 IMC | 变幅Range | 16.72~23.01 | 38.53~63.07 | 28.17~61.33 |
平均值Mean | 19.07±0.02 | 49.97±0.07 | 42.28±8.34 | |
变异系数Coefficient of variation/% | 8.27 | 13.61 | 19.65 | |
2000年前育成品种 MCC Ⅰ | 变幅Range | 15.94~21.55 | 35.37~62.43 | 20.50~59.67 |
平均值Mean | 18.79±0.01 | 45.58±0.05 | 39.55±6.91 | |
变异系数Coefficient of variation/% | 6.87 | 12.01 | 17.49 | |
2000后前育成品种 MCC Ⅱ | 变幅Range | 11.11~24.31 | 24.43~47.20 | 32.67~56.50 |
平均值Mean | 20.79±0.02 | 38.07±0.04 | 41.38±5.13 | |
变异系数Coefficient of variation/% | 10.33 | 12.05 | 12.40 |
图3 3个品质指标在育种过程中的变化注:**表示在P<0.01水平差异显著。
Fig. 3 Changes of 3 quality indexes during breeding processNote: ** indicates significant difference at P<0.01 level.
亚基组合 Subunit combination | 总计Total | 农家种CL | 国外品种IMC | 2000年前育成品种MCC Ⅰ | 2000年后育成品种MCC Ⅱ | 评分Score | ||||||
---|---|---|---|---|---|---|---|---|---|---|---|---|
数量Quantity | 频率Frequency/% | 数量Quantity | 频率Frequency/% | 数量Quantity | 频率Frequency/% | 数量Quantity | 频率Frequency/% | 数量Quantity | 频率Frequency/% | GS评分GS score | 沉降值评分SDS score | |
N/7+8/2+12 | 74 | 44.05 | 42 | 91.30 | 6 | 33.33 | 25 | 56.82 | 1 | 6.67 | 5.5 | 7.0 |
N/7+8/5+10 | 5 | 2.98 | 5 | 8.33 | 7.5 | 9.0 | ||||||
1/7+8/2+12 | 8 | 4.76 | 1 | 5.56 | 2 | 4.55 | 5 | 8.33 | 7.5 | 8.0 | ||
1/7+8/5+10 | 14 | 8.33 | 2 | 4.55 | 12 | 20.00 | 9.5 | 10.0 | ||||
N/7+9/2+12 | 17 | 10.12 | 2 | 4.35 | 4 | 22.22 | 7 | 15.91 | 4 | 6.67 | 5.0 | 6.0 |
1/7+9/2+12 | 9 | 5.36 | 2 | 4.55 | 7 | 11.67 | 7.0 | 7.0 | ||||
1/7+9/5+10 | 13 | 7.74 | 13 | 21.67 | 9.0 | 9.0 | ||||||
N/13+16/2+12 | 5 | 2.98 | 1 | 5.56 | 3 | 6.82 | 1 | 1.67 | 8.0 | 8.0 | ||
1/13+16/2+12 | 3 | 1.79 | 2 | 11.11 | 1 | 1.67 | 10.0 | 9.0 | ||||
1/13+16/5+10 | 5 | 2.98 | 5 | 8.33 | 12.0 | 11.0 | ||||||
1/17+18/5+10 | 2 | 1.19 | 2 | 3.33 | 10.0 | 10.5 | ||||||
N/7+9/5+10 | 1 | 0.60 | 1 | 1.67 | 7.0 | 8.0 | ||||||
N/6+8/2+12 | 2 | 1.19 | 1 | 5.56 | 1 | 1.67 | 4.5 | 5.5 | ||||
N/17+18/2+12 | 2 | 1.19 | 2 | 11.11 | 6.0 | 7.5 | ||||||
N/7/2+12 | 2 | 1.19 | 2 | 4.35 | 4.5 | 5.5 | ||||||
N/6+8/5+10 | 1 | 0.60 | 1 | 2.27 | 6.5 | 7.5 | ||||||
N/13+16/5+10 | 1 | 0.60 | 1 | 1.67 | 10.0 | 10.0 | ||||||
N/17+18/5+10 | 1 | 0.60 | 1 | 1.67 | 8.0 | 9.5 | ||||||
N/8/2+12 | 1 | 0.60 | 1 | 2.27 | 3.0 | 4.0 | ||||||
N/7+8/2+12 | 1 | 0.60 | 1 | 2.27 | 3.5 | 5.0 | ||||||
N/9/5+10 | 1 | 0.60 | 1 | 5.56 | 5.0 | 6.0 |
表5 168份小麦种质的Glu-1品质评分
Table 5 Glu-1 quality score of 168 wheat germplasms
亚基组合 Subunit combination | 总计Total | 农家种CL | 国外品种IMC | 2000年前育成品种MCC Ⅰ | 2000年后育成品种MCC Ⅱ | 评分Score | ||||||
---|---|---|---|---|---|---|---|---|---|---|---|---|
数量Quantity | 频率Frequency/% | 数量Quantity | 频率Frequency/% | 数量Quantity | 频率Frequency/% | 数量Quantity | 频率Frequency/% | 数量Quantity | 频率Frequency/% | GS评分GS score | 沉降值评分SDS score | |
N/7+8/2+12 | 74 | 44.05 | 42 | 91.30 | 6 | 33.33 | 25 | 56.82 | 1 | 6.67 | 5.5 | 7.0 |
N/7+8/5+10 | 5 | 2.98 | 5 | 8.33 | 7.5 | 9.0 | ||||||
1/7+8/2+12 | 8 | 4.76 | 1 | 5.56 | 2 | 4.55 | 5 | 8.33 | 7.5 | 8.0 | ||
1/7+8/5+10 | 14 | 8.33 | 2 | 4.55 | 12 | 20.00 | 9.5 | 10.0 | ||||
N/7+9/2+12 | 17 | 10.12 | 2 | 4.35 | 4 | 22.22 | 7 | 15.91 | 4 | 6.67 | 5.0 | 6.0 |
1/7+9/2+12 | 9 | 5.36 | 2 | 4.55 | 7 | 11.67 | 7.0 | 7.0 | ||||
1/7+9/5+10 | 13 | 7.74 | 13 | 21.67 | 9.0 | 9.0 | ||||||
N/13+16/2+12 | 5 | 2.98 | 1 | 5.56 | 3 | 6.82 | 1 | 1.67 | 8.0 | 8.0 | ||
1/13+16/2+12 | 3 | 1.79 | 2 | 11.11 | 1 | 1.67 | 10.0 | 9.0 | ||||
1/13+16/5+10 | 5 | 2.98 | 5 | 8.33 | 12.0 | 11.0 | ||||||
1/17+18/5+10 | 2 | 1.19 | 2 | 3.33 | 10.0 | 10.5 | ||||||
N/7+9/5+10 | 1 | 0.60 | 1 | 1.67 | 7.0 | 8.0 | ||||||
N/6+8/2+12 | 2 | 1.19 | 1 | 5.56 | 1 | 1.67 | 4.5 | 5.5 | ||||
N/17+18/2+12 | 2 | 1.19 | 2 | 11.11 | 6.0 | 7.5 | ||||||
N/7/2+12 | 2 | 1.19 | 2 | 4.35 | 4.5 | 5.5 | ||||||
N/6+8/5+10 | 1 | 0.60 | 1 | 2.27 | 6.5 | 7.5 | ||||||
N/13+16/5+10 | 1 | 0.60 | 1 | 1.67 | 10.0 | 10.0 | ||||||
N/17+18/5+10 | 1 | 0.60 | 1 | 1.67 | 8.0 | 9.5 | ||||||
N/8/2+12 | 1 | 0.60 | 1 | 2.27 | 3.0 | 4.0 | ||||||
N/7+8/2+12 | 1 | 0.60 | 1 | 2.27 | 3.5 | 5.0 | ||||||
N/9/5+10 | 1 | 0.60 | 1 | 5.56 | 5.0 | 6.0 |
[1] | 赵广才,常旭虹,王德梅,等.小麦生产概况及其发展[J].作物杂志,2018(4):1-7. |
ZHAO G C, CHANG X H, WANG D M, et al.. General situation and development of wheat production [J]. Crops, 2018(4): 1-7. | |
[2] | 范家霖,陈晓杰,张建伟,等.高分子量麦谷蛋白亚基组成及其与小麦品质性状的关系分析[J].麦类作物学报,2021,41(5):544-552. |
FAN J L, CHEN X J, ZHANG J W, et al.. Composition of high molecular weight glutenin subunits and its relationship with wheat quality traits [J]. J. Triticeae Crops, 2021, 41(5): 544-552. | |
[3] | WANG Y, SHEWRY P R, HAWKESFORD M J, et al.. High molecular weight glutenin subunit (HMW-GS) 1Dx5 is concentrated in small protein bodies when overexpressed in wheat starchy endosperm [J/OL]. J. Cereal Sci., 2021, 101: 103291 [2024-11-20]. . |
[4] | SUGIYAMA T, RAFALSKI A, PETERSON D, et al.. A wheat HMW glutenin subunit gene reveals a highly repeated structure [J]. Nucl. Acids Res., 1985, 13(24): 8729-8737. |
[5] | SHEWRY P R, HALFORD N G, TATHAM A S, et al.. The high molecular weight subunits of wheat glutenin and their role in determining wheat processing properties [J]. Adv. Food Nutr. Res., 2003, 45: 219-302. |
[6] | 刘会云,王婉晴,李欣,等.小麦突变体AS208中Glu-B1位点缺失对籽粒中蛋白体形成和储藏蛋白合成与加工相关基因表达的影响[J].作物学报,2017,43(5):691-700. |
LIU H Y, WANG W Q, LI X, et al.. Glu-B1 silencing influences protein body formation and expression of genes regulating synthesis and processing of seed-storage protein in somatic mutant wheat AS208 [J]. Acta Agron. Sin., 2017, 43(5): 691-700. | |
[7] | 郑威,刘卫平,汪盛松.小麦HMW-GS命名、遗传对品质的贡献[J].绿色科技,2013(12):71-76. |
ZHENG W, LIU W P, WANG S S. Discussion of naming, heredity of HMW-GS of wheatand its contribution to wheat quality [J]. J. Green of Sci Techno. 2013(12): 71-76. | |
[8] | PAYNE P I. Genetics of wheat storage proteins and the effect of allelic variation of bread-making quality [J]. Annu. Rev. Plant Physiol., 1987, 38(1): 141-153. |
[9] | MOLOI M J, VAN-BILJON A, LABUSCHAGNE M T. Effect of quantity of HMW-GS 1Ax1, 1Bx13, 1By16, 1Dx5 and 1Dy10 on baking quality in different genetic backgrounds and environments [J]. LWT-Food, 2017, 78: 160-164. |
[10] | 杨丹,姚金保,杨学明,等.北方麦区小麦品种高分子量谷蛋白亚基组成及其与品质性状的关系[J].江苏农业学报, 2015, 31(2): 241-246. |
YANG D, YAO J B, YANG X M, et al.. Composition of HMW glutenin subunit and its relationship with quality traits in wheat cultivars in northern China [J]. Jiangsu J. Agric. Sci., 2015, 31(2): 241-246. | |
[11] | 谢科军,朱保磊,孙家柱,等.黄淮南片小麦高分子量谷蛋白亚基组成及其与品质的关系[J].麦类作物学报,2016,36(5):595-602. |
XIE K J, ZHU B L, SUN J Z, et al.. Composition of high molecular weight glutenin subunits in wheat from Huanghuainan area and its relationship with quality [J]. J. Triticeae Crops, 2016, 36(5): 595-602. | |
[12] | GAO Z, TIAN G, WANG Y, et al.. Allelic variation of high molecular weight glutenin subunits of bread wheat in Hebei province of China [J]. J. Genet., 2018, 97(4): 905-910. |
[13] | 王倩,任文斌,邱玉亮,等.49份山西水地小麦品系的HMW-GS组成及品质分析[J].中国农学通报,2020,36(14):11-15. |
WANG Q, REN W B, QIU Y L, et al.. HMW-GS composition and quality analysis of 49 wheat lines in Shanxi province [J]. Chin. Agric. Sci. Bull., 2020, 36(14): 11-15. | |
[14] | 王鼎,刘真真,李旭,等.高直链淀粉小麦西农836淀粉理化性质及消化特性分析[J].麦类作物学报, 2023, 43(8): 998-1004. |
WANG D, LIU Z Z, LI X, et al.. Analysis of physicochemical properties and digestibility of high amylose wheat Xinong 836 starch [J]. J. Triticeae Crops, 2023, 43(8): 998-1004. | |
[15] | 康国章,王永华,郭天财.小麦淀粉的理化特性及其合成的分子机制[J].作物学报,2024,50(11):2665-2673. |
KANG G Z, WANG Y H, GUO T C. Physicochemical properties of wheat starch and the molecular mechanisms of its synthesis [J]. Acta Agron. Sin., 2024, 50(11): 2665-2673. | |
[16] | 宋健民,刘爱峰,李豪圣,等.小麦籽粒淀粉理化特性与面条品质关系研究[J].中国农业科学, 2008, 41(1): 272-279. |
SONG J M, LIU A F, LI H S, et al.. Study on the relationship between physicochemical properties of wheat grain starch and noodle quality [J]. Sci. Agric. Sin., 2008, 41(1): 272-279. | |
[17] | 刘锐,魏益民,邢亚楠,等.小麦淀粉与面条质量关系的研究进展[J].麦类作物学报, 2013, 33(5): 1058-1063. |
LIU R, WEI Y M, XING Y N, et al.. Research progress on the relationship between wheat starch and noodle quality [J]. J. Triticeae Crops, 2013, 33(5): 1058-1063. | |
[18] | 夏云祥,陈辉,司红起,等.小麦微核心种质中育成品种和地方品种的SDS沉降值分析[J].粮食与饲料工业,2011(10):12-14. |
XIA Y X, CHEN H, SI H Q, et al.. Analysis of SDS sedimentation value of bred varieties and local varieties in wheat micro-core germplasm [J]. Cereal Feed. Ind., 2011(10): 12-14. | |
[19] | SRIB P A. Reduced-amylose wheats and Asian noodles [J]. Cereal Foods World, 2000(45): 504-512. |
[20] | 姜培红.小麦高分子量谷蛋白亚基对面包加工品质的影响及其表达调控的机制[D].北京:首都师范大学, 2017. |
JIANG P H. Effect of high molecular weight glutenin subunit on bread processing quality and mechanism of expression regulation in wheat [D]. Beijing: Capital Normal University, 2017. | |
[21] | PAYNE P I, NIGHTINGALE M A, KRATTIGER A F, et al.. The relationship between HMW glutenin subunit composition and the bread-making quality of British-grown wheat varieties [J]. J. Sci. Food Agric., 1987, 40(1): 51-65. |
[22] | 宋建民,吴祥云,刘建军,等.小麦品质的麦谷蛋白亚基评定标准研究[J].作物学报,2003, 29(6): 829-834. |
SONG J M, WU X Y, LIU J J, et al.. Study on evaluation standard of glutenin subunits for wheat quality [J]. Acta Agron. Sin., 2003, 29(6): 829-834. | |
[23] | 孟广琴,李霞辉,何照范. 水稻、玉米、谷子籽粒直链淀粉测定法: [S].北京:中国标准出版社,1987. |
[24] | 李远新,唐资伦,祁先美. 小麦粉沉淀值测定法: [S].北京:中国标准出版社,1995. |
[25] | PAYNE P I. Genetics of wheat storage protein and the effect of allelic variation of bread-making quality [J]. Annu. Rev. Plant Biol., 1987(38): 141-153. |
[26] | 陈杰,朱保磊,白冬,等.黄淮麦区(南片)小麦高分子量麦谷蛋白亚基组成分析[J].分子植物育种,2024,22(21):7102-7109. |
CHEN J, ZHU B L, BAI D, et al.. Composition analysis of high molecular weight glutenin subunits of wheat in Huanghuai Southern wheat region [J]. Mol. Plant Breeding, 2024, 22(21):7102-7109. | |
[27] | CHEN Q, ZHANG W, GAO Y, et al.. High molecular weight glutenin subunits 1Bx7 and 1By9 encoded by glu-B1 locus affect wheat dough properties and sponge cake quality [J]. J. Agric. Food Chem., 2019, 67(42): 11796-11804. |
[28] | 张晓,李曼,陆成彬,等.小麦高分子量麦谷蛋白亚基缺失品质效应研究进展[J].作物杂志, 2020(5): 17-22. |
ZHANG X, LI M, LU C B, et al.. Research progress on the quality effect of high molecular weight glutenin subunit deletion in wheat [J]. Crops, 2020(5): 17-22. |
[1] | 刘海霞, 张寅辉, 庄蕾, 郭梦娇, 赵李, 吴美娟, 侯健, 李甜, 刘红霞, 张学勇, 郝晨阳. 基于关联分析挖掘小麦SDS沉降值相关候选基因及KASP标记开发[J]. 中国农业科技导报, 2024, 26(12): 18-29. |
[2] | 殷春渊,王书玉*,刘贺梅,孙建权,胡秀明,王和乐,田芳慧,马朝阳,张栩,张瑞平. 水稻食味品质性状间相关性分析及其与叶片光合作用的关系[J]. 中国农业科技导报, 2021, 23(4): 119-127. |
[3] | 刘丽,杨金华,胡银星,程耿. 麦谷蛋白亚基与小麦品质的关系研究进展[J]. , 2012, 14(1): 33-42. |
[4] | 周治宝1,2,王晓玲1,余传元1,雷建国1,王智权1,朱昌兰2. 直链淀粉含量适中籼稻品种间的食味品质差异分析[J]. , 2011, 13(6): 99-105. |
阅读次数 | ||||||
全文 |
|
|||||
摘要 |
|
|||||