Journal of Agricultural Science and Technology ›› 2024, Vol. 26 ›› Issue (8): 140-150.DOI: 10.13304/j.nykjdb.2023.0238
• ANIMAL AND PLANT HEALTH • Previous Articles Next Articles
Junlei ZHANG1,2(), Xiaotong GE2, Zhengting ZHAO3, Di LIU4, Jinfeng WANG1, Ning JIANG2(
), Yating LIU1,4(
)
Received:
2023-03-29
Accepted:
2023-05-24
Online:
2024-08-15
Published:
2024-08-12
Contact:
Ning JIANG,Yating LIU
张俊蕾1,2(), 盖晓彤2, 赵正婷3, 刘弟4, 王金凤1, 姜宁2(
), 刘雅婷1,4(
)
通讯作者:
姜宁,刘雅婷
作者简介:
张俊蕾 E-mail:jleiZHANGg@163.com
基金资助:
CLC Number:
Junlei ZHANG, Xiaotong GE, Zhengting ZHAO, Di LIU, Jinfeng WANG, Ning JIANG, Yating LIU. Establishment and Optimization of RT-LAMP Assay System for Tobacco Tomato Spotted Wilt Virus[J]. Journal of Agricultural Science and Technology, 2024, 26(8): 140-150.
张俊蕾, 盖晓彤, 赵正婷, 刘弟, 王金凤, 姜宁, 刘雅婷. 烟草番茄斑萎病毒RT-LAMP检测体系的建立及优化[J]. 中国农业科技导报, 2024, 26(8): 140-150.
Add to citation manager EndNote|Ris|BibTeX
URL: https://nkdb.magtechjournal.com/EN/10.13304/j.nykjdb.2023.0238
引物 Primer | 序列 Sequence(5’-3’) | |
---|---|---|
TS-N-1 | F3 | ACTTCCTTTAGCATTAGGATTG |
B3 | AGCTTTGAGATGATCAGTGT | |
FIP | GTGCTAAAAAGCAAAGCATTTGAAA-GGAGCTAAGTATAGCAGCATAC | |
BIP | TAAGGCTTCCCTGGTGTCAT-TGTCTTGGCTATATATCAGGATG | |
TS-N-2 | F3 | ACTTCCTTTAGCATTAGGATTG |
B3 | AGCTTTGAGATGATCAGTGT | |
FIP | GTGCTAAAAAGCAAAGCATTTGAAA-GGAGCTAAGTATAGCAGCATA | |
BIP | TAAGGCTTCCCTGGTGTCATA-TGTCTTGGCTATATATCAGGATG | |
TS-N-3 | F3 | TCTTCACCTGATCTTCATTCA |
B3 | TCTGTGAGGCTTGCCATA | |
FIP | CGGGATCGATCCAAAGAAGTATGAC-CTTTTTAGCACAGTGCAAAC | |
BIP | GCATCCTGATATATAGCCAAGACAA-TGCTGGGAGGTAGCTTAC | |
TS-N-4 | F3 | ACTTCCTTTAGCATTAGGATTG |
B3 | AGCTTTGAGATGATCAGTGT | |
FIP | GTGCTAAAAAGCAAAGCATTTGAAA-GGAGCTAAGTATAGCAGCATA | |
BIP | TAAGGCTTCCCTGGTGTCAT-TGTCTTGGCTATATATCAGGATG | |
LF | GATCAGGTGAAGAAAGGGAAAGAG | |
LB | ACTTCTTTGGATCGATCCCGA | |
TS-N-5 | F3 | ACTTCCTTTAGCATTAGGATTG |
B3 | GATAGCTTTGAGATGATCAGTG | |
FIP | GTGCTAAAAAGCAAAGCATTTGAAA-GGAGCTAAGTATAGCAGCATA | |
BIP | TAAGGCTTCCCTGGTGTCAT-TTGTCTTGGCTATATATCAGGATG | |
RT-PCR | TSWV-F | CTGCACAATCCCAAGACA |
TSWV-R | GCTAAGAGATTGAGRAATGGTATAATAGATTC |
Table 1 Specific primers for RT-LAMP and RT-PCR for TSWV
引物 Primer | 序列 Sequence(5’-3’) | |
---|---|---|
TS-N-1 | F3 | ACTTCCTTTAGCATTAGGATTG |
B3 | AGCTTTGAGATGATCAGTGT | |
FIP | GTGCTAAAAAGCAAAGCATTTGAAA-GGAGCTAAGTATAGCAGCATAC | |
BIP | TAAGGCTTCCCTGGTGTCAT-TGTCTTGGCTATATATCAGGATG | |
TS-N-2 | F3 | ACTTCCTTTAGCATTAGGATTG |
B3 | AGCTTTGAGATGATCAGTGT | |
FIP | GTGCTAAAAAGCAAAGCATTTGAAA-GGAGCTAAGTATAGCAGCATA | |
BIP | TAAGGCTTCCCTGGTGTCATA-TGTCTTGGCTATATATCAGGATG | |
TS-N-3 | F3 | TCTTCACCTGATCTTCATTCA |
B3 | TCTGTGAGGCTTGCCATA | |
FIP | CGGGATCGATCCAAAGAAGTATGAC-CTTTTTAGCACAGTGCAAAC | |
BIP | GCATCCTGATATATAGCCAAGACAA-TGCTGGGAGGTAGCTTAC | |
TS-N-4 | F3 | ACTTCCTTTAGCATTAGGATTG |
B3 | AGCTTTGAGATGATCAGTGT | |
FIP | GTGCTAAAAAGCAAAGCATTTGAAA-GGAGCTAAGTATAGCAGCATA | |
BIP | TAAGGCTTCCCTGGTGTCAT-TGTCTTGGCTATATATCAGGATG | |
LF | GATCAGGTGAAGAAAGGGAAAGAG | |
LB | ACTTCTTTGGATCGATCCCGA | |
TS-N-5 | F3 | ACTTCCTTTAGCATTAGGATTG |
B3 | GATAGCTTTGAGATGATCAGTG | |
FIP | GTGCTAAAAAGCAAAGCATTTGAAA-GGAGCTAAGTATAGCAGCATA | |
BIP | TAAGGCTTCCCTGGTGTCAT-TTGTCTTGGCTATATATCAGGATG | |
RT-PCR | TSWV-F | CTGCACAATCCCAAGACA |
TSWV-R | GCTAAGAGATTGAGRAATGGTATAATAGATTC |
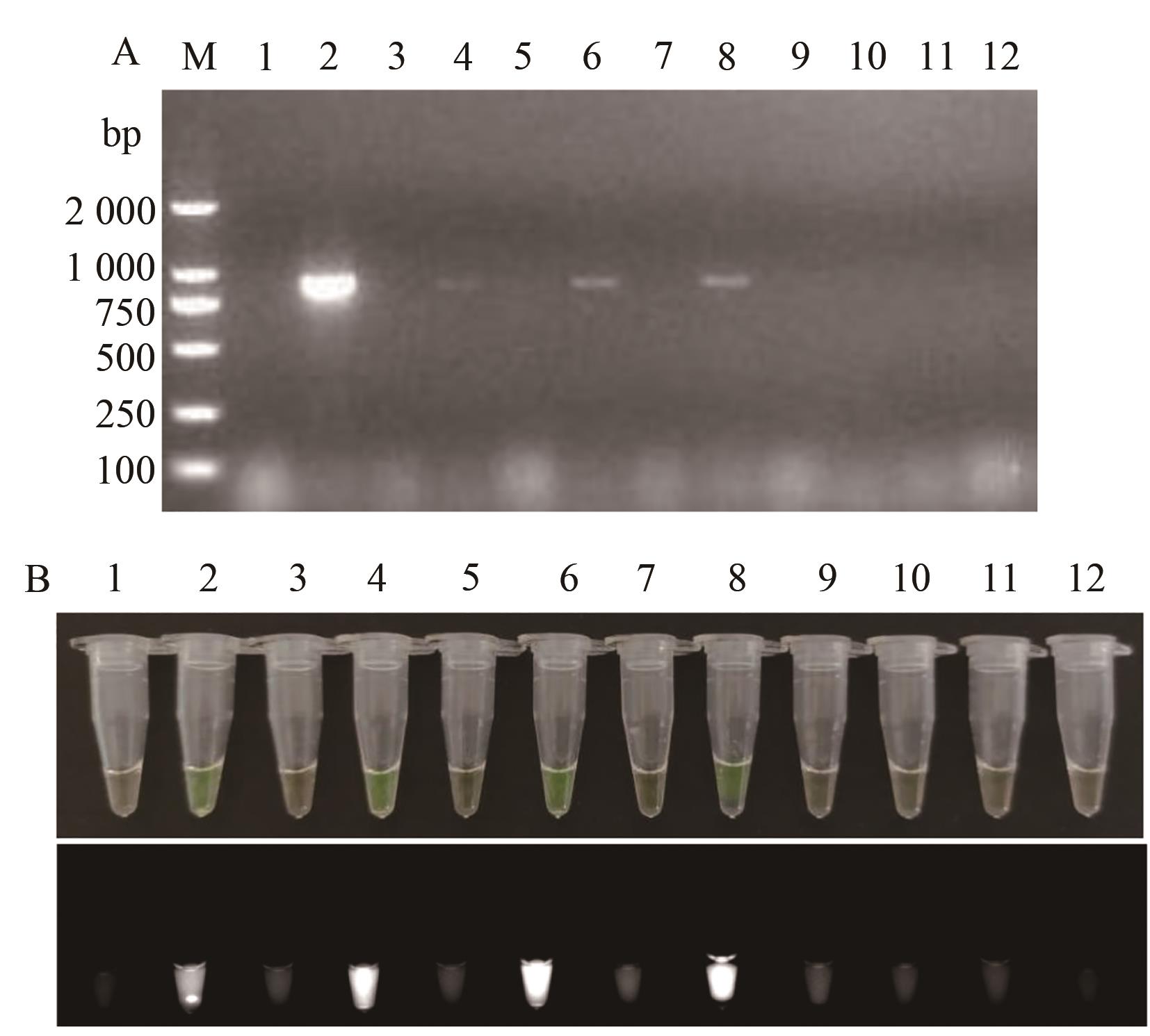
Fig. 1 Amplification results of TSWV with different RT-LAMP primersA: Gel electrophoresis; B: Fluorescence visualization results; M—2 000 DNA marker; 1, 3, 5, 7, 9—Negative control; 2, 4, 6, 8, 10—RT-LAMP primers TS-N-1~TS-N-5 of TSWV
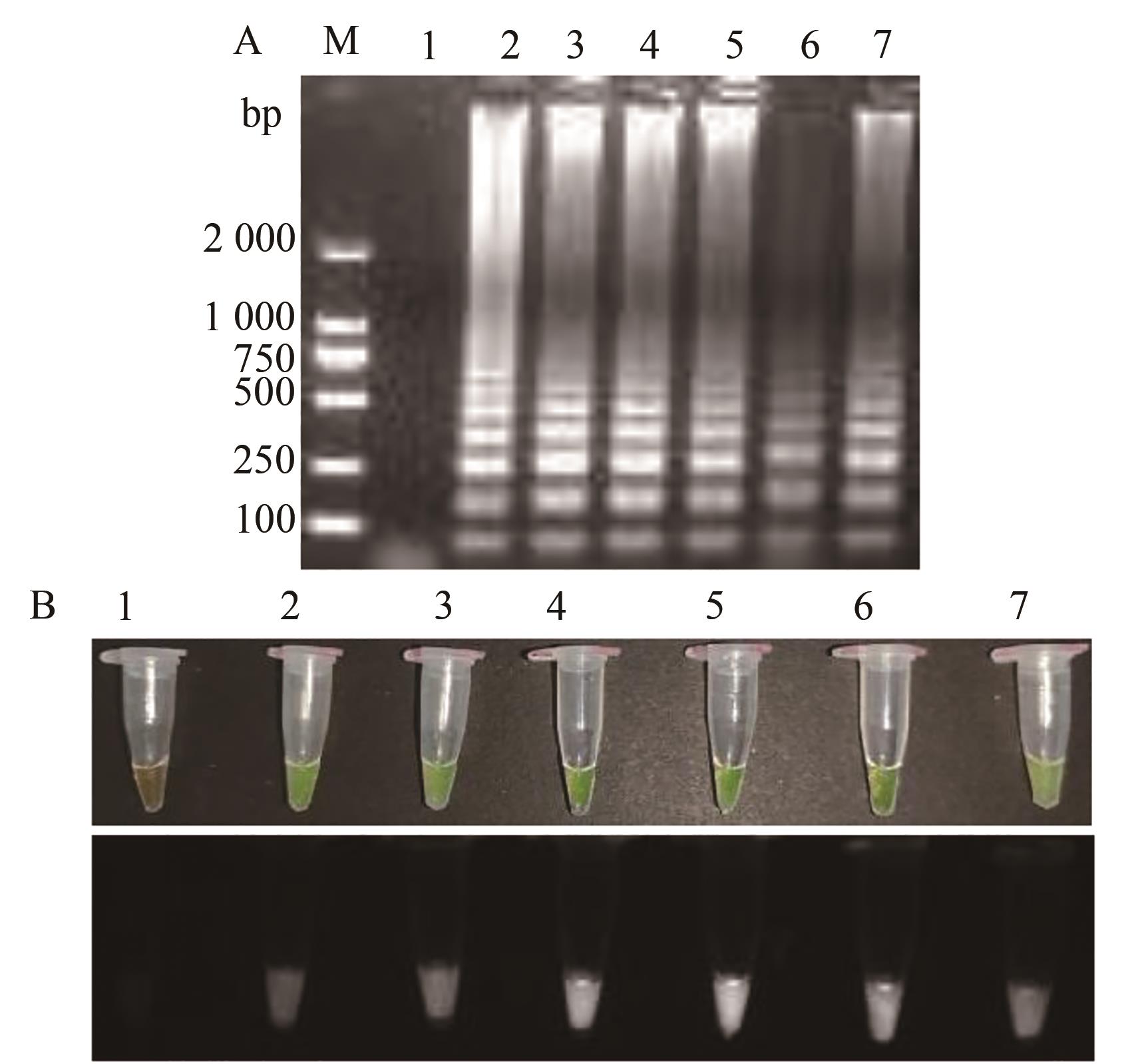
Fig. 2 TSWV RT-LAMP reaction temperature optimizationA: Gel electrophoresis; B: Fluorescence visualization results: M—2 000 DNA marker; 1—Negative control; 2~7—6 reaction time gradients 58, 60, 62, 64, 66, 68℃
Fig. 3 Optimization of the TSWV RT-LAMP reaction timesA: Gel electrophoresis; B: Fluorescence visualization results: M—2 000 DNA marker; 1—Negative control; 2~7—6 reaction time gradient 30,40,50,60,70,80 min
Fig. 4 Optimization of betaine content of TSWV RT-LAMPA: Gel electrophoresis; B: Fluorescence visualization results; M—2 000 DNA marker; 1—Negative control; 2~8—7 reaction contents 0.0, 0.6, 0.8, 1.0, 1.2, 1.4, 1.6 mmol·L-1
Fig. 5 Optimization of TSWV RT-LAMP dNTPs reaction contentA: Gel electrophoresis; B: Fluorescence visualization results; M—2 000 DNA marker; 1—Negative control; 2~8—7 reaction contents 0.0, 0.2, 0.6, 1.0, 1.4, 1.8, 2.2 mmol·L-1
Fig. 6 Optimization of TSWV RT-LAMP Mg2+ reaction contentA: Gel electrophoresis; B: Fluorescence visualization results; M—2 000 DNA marker; 1—Negative control; 2~7—6 reaction contents 2, 4, 6, 8, 10, 12 mmol·L-1
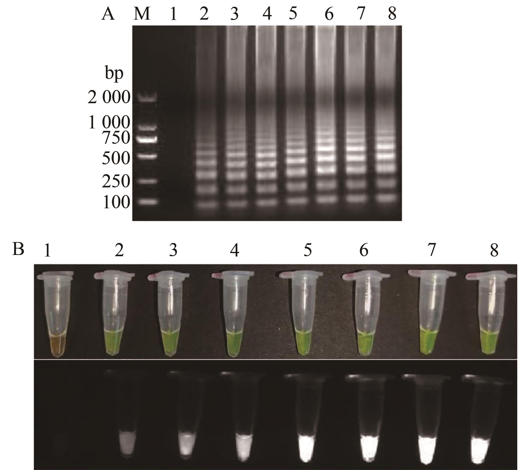
Fig. 7 Optimization of inside and outside primers content ratio of TSWV RT-LAMPA: Gel electrophoresis; B: Fluorescence visualization results;M—2 000 DNA marker; 1—Negative control; 2~9—8 primer ratio gradient 1∶1~8∶1
Fig. 8 TSWV RT-LAMP sensitivity detectionA: Gel electrophoresis diagram; 1—Negative control; 2~8—Seven RNA reaction contents of 642.7×100~642.7×10-6 ng·μL-1;B: Gel electrophoresis diagram; 1~7—Seven RNA reaction contents of 642.7×100~642.7×10-6 ng·μL-1;8—Negative control;M—2 000 DNA marker; C: Fluorescence visualization results; 1—Negative control; 2~8—Seven RNA reaction contents of 642.7×100~642.7×10-6 ng·μL-1
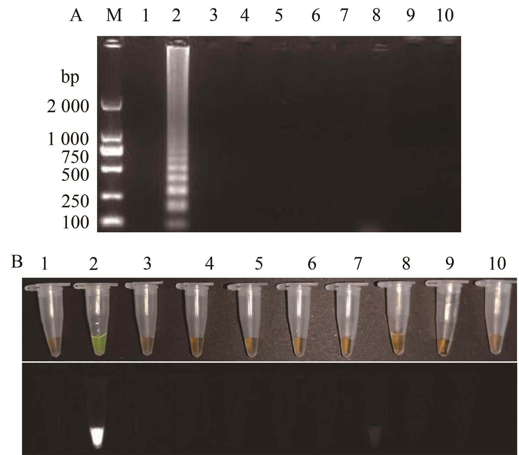
Fig. 9 TSWV RT-LAMP specificity detectionA: Gel electrophoresis; B: Fluorescence visualization results; M—2 000 DNA marker; 1—Negative control; 2~10—RNA for TSWV, TMV, CMV, ToBRFV, HCRV, TZSV, TVBMV, ChiVMV and PVY
Fig. 10 Results of TSWV RT-LAMP and RT-PCR field samplesA: Gel electrophoresis; B: Fluorescence visualization results; M—2 000 DNA marker; 1—Negative control; 2—Positive control; 3~12—Field tobacco leaf samples
1 | GOLDBACH R, PETER D. Molecular and Biological Aspects of Tospoviruses [M]. New York:Springer Science,Business Media New York,1996:129-157. |
2 | SCHOLTHOF K B G, ADKINS S, CZOSNEK H, et al.. Top 10 plant viruses in molecular plant pathology [J]. Mol. Plant Pathol., 2011,12(9): 938-954. |
3 | KORMELINK R, DE H P, MEURS C, et al.. The nucleotide sequence of the M RNA segment of tomato spotted wilt virus, a bunyavirus with two ambisense RNA segments [J]. J. Gen. Virol., 1993,73(11): 2795-2804. |
4 | KATO K, HANDA K, KAMEYA I M. Melon yellow spot virus: a distinct species of the genus tospovirus isolated from melon [J]. Phytopathology, 2000,90(4):422-426. |
5 | FAUQUET C M, MAYO M A, MANILOFF J, et al.. Virus Taxonomy: VIIIth Report of the International Committee on Taxonomy of Viruses [R]. Cambridge: Academic Press Cambridge, 2005. |
6 | 刘勇, 李凡, 李月月, 等. 侵染我国主要蔬菜作物的病毒种类、分布与发生趋势 [J]. 中国农业科学, 2019,52(2):239-261. |
LIU Y, LI F, LI Y Y, et al.. Identification, distribution and occurrence of viruses in the main vegetables of China [J]. Sci. Agric. Sin., 2019, 52(2): 239-261. | |
7 | PARRELLA G, GOGNALONS P, GEBRE S K, et al.. An update of the host range of tomato spotted wilt virus [J]. J. Plant Pathol., 2003,85(4):227-264. |
8 | 康华军, 李建设, 高艳明, 等. 宁夏银川地区番茄斑萎病毒和南方番茄病毒复合侵染分子鉴定[J]. 中国蔬菜, 2022(4):29-34. |
KANG H J, LI J S, GAO Y M, et al.. Molecular identification of co-infection of tomato spotted wilt virus and Southern tomato virus in Yinchuan region of Ningxia [J]. China Veget., 2022(4):29-34. | |
9 | 陈东亮, 李明远, 李雪梅, 等. 北京地区莴苣中番茄斑萎病毒的鉴定[J]. 中国蔬菜, 2018(1):65-69. |
CHEN D L, LI M Y, LI X M, et al.. Identification of tomato spotted wilt virus from lettuce in Beijing [J]. China Veget., 2018(1):65-69. | |
10 | XIAO L, LI Y Y, LAN P X, et al.. First report of tomato spotted wilt virus infecting cowpea in China [J/OL]. Plant Dis., 2016,100(1):233 [2023-04-23]. . |
11 | PRINS M, GOLDBACH R. The emerging problem of tospovirus infection and nonconventional methods of control [J]. Trends Microbiol., 1998,6(1):31-35. |
12 | TOMARU K, KUBO S, TAKANAMI Y. Occurrence of tomato spotted wilt virus in tobacco plants in Ryukyu islands [J]. Jpn. J. Phytopathol., 1982,48(3):336-339. |
13 | BLANCARD D. Tomato Diseases [M]. Cambridge: Academic Press Cambridge, 2012:1-688. |
14 | 许泽永, REDDY D V R, RAJESHWARI R, 等. 我国南方花生发生一种由蕃茄斑萎病毒引起的新病害[J]. 病毒学报, 1986,2(3):271-274, 295. |
XU Z Y, REDDY D V R, RAJESHWARI R, et al.. A new peanut virus disease caused by tomato spotted wilt virus in southern China [J]. Chin. J. Virol., 1986,2(3):271-274, 295. | |
15 | 苏大昆, 袁宣泽, 谢永红, 等. 成都、渡口两市番茄中检出番茄斑萎病毒[J]. 植物病理学报, 1987,17(4):255-256. |
SU D K, YUAN X Z, XIE Y H, et al.. Tomato spotted wilt virus in tomato in Chengdu and Dukou [J]. Acta Phytopathol. Sci., 1987, 17(4):255-256. | |
16 | 姚革. 四川晒烟上发现番茄斑萎病毒(TSWV) [J]. 中国烟草, 1992(4):2-4. |
YAO G. Tomato spotted wilt virus (TSWV) found on sun-dried tobacco in Sichuan [J]. Chin. Tab. Sci., 1992(4):2-4. | |
17 | 张仲凯, 丁铭, 方琦, 等. 番茄斑萎病毒属(Tospovirus)病毒在云南的发生分布研究初报[J]. 西南农业学报, 2004,17():163-168. |
ZHANG Z K, DING M, FANG Q, et al.. The preliminary study of the occurrence and distribution of Tospovirus in Yunnan [J]. Southwest Chin. J. Agric. Sci., 2004, 17(S1):163-168. | |
18 | GILBERTSON R L, BATUMAN O, WEBSTER C G, et al.. Role of the insect supervectors Bemisia tabaci and Frankliniella occidentalis in the emergence and global spread of plant viruses [J]. Annu. Rev. Virol., 2015,2:67-93. |
19 | 刘雅婷, 郑元仙, 李永忠, 等. 番茄斑萎病毒在烟草植株上症状学特征[J]. 中国农学通报, 2009,25(19):190-193. |
LIU Y T, ZHENG Y X, LI Y Z, et al.. Symptomology of tomato spotted wilt virus on tobacco [J]. Chin. Agric. Sci. Bull., 2009, 25(19):190-193. | |
20 | SEVIK M A, ARLI S M. Estimation of the effect of tomato spotted wilt virus (TSWV) infection on some yield components of tomato [J]. Phytoparasitica, 2012,40(1):87-93. |
21 | 佟爱仔, 赵兴能, 孔宝华, 等. 侵染云南烟草的番茄斑萎病毒(TSWV)的RT-PCR检测[J]. 云南农业大学学报(自然科学), 2012,27(6):809-813. |
TONG A Z, ZHAO X N, KONG B H, et al.. The detection of tomato spotted wilt virus from tobacco by RT-PCR in Yunnan [J]. J. Yunnan Agric. Univ.( Nat. Sci.), 2012,27(6):809-813. | |
22 | NOTOMI T O H M. Loop-mendiated isothermal amplifaction of DNA [J]. Nucl. Acids Res., 2000, 12(28): 63-63. |
23 | FUKUTA S, IIDA T, MIZUKAMI Y, et al.. Detection of Japanese yam mosaic virus by RT-LAMP [J]. Arch. Virol., 2003,148:1713-1720. |
24 | HUANG W E, LIM B, HSU C C, et al.. RT‐LAMP for rapid diagnosis of coronavirus SARS‐CoV‐2 [J]. Microb. Biotechnol., 2020,13(4):950-961. |
25 | CHOI G, MOEHLING T J, MEAGHER R J. Advances in RT-LAMP for COVID-19 testing and diagnosis [J]. Expert Rev. Mol. Diagn., 2023,23(1):9-28. |
26 | ZHOU L, CHEN Y, FANG X, et al.. Microfluidic-RT-LAMP chip for the point-of-care detection of emerging and re-emerging enteric coronaviruses in swine [J]. Anal. Chim. Acta., 2020,1125:57-65. |
27 | LI X, HU W, LI Y, et al.. Development of an RT-LAMP assay for the detection of maize yellow mosaic virus in maize [J/OL]. J. Virol. Methods, 2022, 300: 114384 [2023-04-23]. . |
28 | ESTRELA P F N, DE M M G, DE O K G, et al.. Ten-minute direct detection of Zika virus in serum samples by RT-LAMP [J/OL]. J. Virol. Methods, 2019, 271: 113675 [2023-04-23]. . |
29 | VERMA G, RAIGOND B, PATHANIA S, et al.. Development and comparison of reverse transcription-loop-mediated isothermal amplification assay (RT-LAMP), RT-PCR and real time PCR for detection of potato spindle tuber viroid in potato [J]. Eur. J. Plant Pathol., 2020,158:951-964. |
30 | FUKUTA S, OHISHI K, YOSHIDA K, et al.. Development of immunocapture reverse transcription loop-mediated isothermal amplification for the detection of tomato spotted wilt virus from chrysanthemum [J]. J. Virol. Methods, 2004,121(1):49-55. |
31 | MEENA P N, KHARBIKAR L L, RANA R S, et al.. Detection of Mesta yellow vein mosaic virus (MeYVMV) in field samples by a loop-mediated isothermal amplification reaction [J]. J. Virol. Methods, 2019,263:81-87. |
32 | KHAN M, WANG R, LI B, et al.. Comparative evaluation of the LAMP assay and PCR-based assays for the rapid detection of Alternaria solani [J/OL]. Front. Microbiol., 2018,9:2089 [2023-04-23]. . |
33 | 张雯娜, 李晋玉, 田金艳, 等. 逆转录环介导等温扩增技术快速检测大豆花叶病毒[J]. 大豆科学, 2014,33(3):422-428. |
ZHANG W N, LI J Y, TIAN J Y, et al.. Rapid detection of soybean mosaic virus by reverse-transcription loop-mediated isothermal amplification [J]. Soybean Sci., 2014,33(3):422-428. | |
34 | LE D T, NETSU O, UEHARA I T, et al.. Molecular detection of nine rice viruses by a reverse-transcription loop-mediated isothermal amplification assay [J]. J. Virol. Methods, 2010,170(1-2):90-93. |
35 | ZHANG Q, STANDISH I, WINTERS A D, et al.. Development and evaluation of reverse transcription loop-mediated isothermal amplification assay for the detection of the Fathead minnow nidovirus [J]. J. Virol. Methods, 2014,202:39-45. |
36 | LIU Y, WANG Z, QIAN Y, et al.. Rapid detection of tobacco mosaic virus using the reverse transcription loop-mediated isothermal amplification method [J]. Arch. Virol., 2010,155(10):1681-1685. |
37 | 周彤, 杜琳琳, 范永坚, 等. 水稻黑条矮缩病毒RT-LAMP快速检测方法的建立[J]. 中国农业科学, 2012,45(7):1285-1292. |
ZHOU T, DU L L, FAN Y J, et al.. Development of a RT-LAMP assay for rapid detection of rice black-streaked dwarf virus [J]. Sci. Agric. Sin., 2012, 45(7):1285-1292. | |
38 | 高彦萍, 吕和平, 张武, 等. 马铃薯卷叶病毒RT-LAMP检测方法的建立[J]. 核农学报, 2020,34(9):1943-1950. |
GAO Y P, LYU H P, ZHANG W, et al.. Establishment of the detection method for potato leafroll virus by RT-LAMP [J]. J. Nucl. Agric. Sci., 2020, 34(9):1943-1950. | |
39 | 黄丽, 苏华楠, 唐科志, 等. 柑橘黄龙病LAMP快速检测方法的建立及应用[J]. 果树学报, 2012,29(6):1121-1126. |
HUANG L, SU H N, TANG K Z, et al.. Establishment and application of loop-mediated isothermal amplification assay for the detection of Citrus huanglongbing [J]. J. Fruit Sci., 2012, 29(6):1121-1126. | |
40 | PU R Y, LIU S, REN X Y, et al.. The screening value of RT-LAMP and RT-PCR in the diagnosis of COVID-19: systematic review and meta-analysis [J/OL]. J. Virol. Methods, 2022,300:114392 [2023-04-23]. . |
41 | SUZUKI R, FUKUTA S, MATSUMOTO Y, et al.. Development of reverse transcription loop-mediated isothermal amplification assay as a simple detection method of Chrysanthemum stem necrosis virus in chrysanthemum and tomato [J]. J. Virol. Methods, 2016,236:29-34. |
42 | 高彦萍, 张武, 王国祥, 等. 马铃薯卷叶病毒PLRV RT-LAMP检测方法优化[J]. 植物保护, 2019,45(6):259-264. |
GAO Y P, ZHANG W, WANG G X, et al.. Optimization of the PLRV RT-LAMP detection method [J]. Plant Prot., 2019,45(6):259-264. | |
43 | 王贤达, 林雄杰, 胡菡青, 等. 柑橘黄龙病可视化LAMP检测技术的建立及应用[J]. 热带作物学报, 2014,35(5):918-924. |
WANG X D, LIN X J, HU H Q, et al.. Establishment and application of visual loop-mediated amplification assay on citrus huanglongbing [J]. Chin. J. Trop. Crops, 2014,35(5):918-924. | |
44 | 陈海, 申亚南, 吕文竹, 等. 甘蔗高粱花叶病毒RT-LAMP快速检测方法的建立及评价[J]. 分子植物育种, 2020,18(10):3282-3287. |
CHEN H, SHEN Y N, LYU W Z, et al.. Establishment and evaluation of RT-LAMP for the rapid detection of sorghum mosaic virus [J]. Mol. Plant Breeding, 2020,18(10):3282-3287. |
[1] | Xiaoxiao ZHANG, Xiaoqian LI, Cheng ZHU, Chenze LYU. Research Status and Development Trend of Rapid Detection of Agglutinin in Concanavalin A [J]. Journal of Agricultural Science and Technology, 2024, 26(6): 214-225. |
[2] | LI Pei-wu, DING Xiao-xia. Studies on Control Technology for Grain and Oil Quality and Safety in China and Development Countermeasure [J]. , 2011, 13(5): 54-58. |
[3] | WANG Xiao-Yu, ZHOU Zun-Chun, GUAN Xiao-yan, JIANG Bei, CHEN Zhong, DONG Ying, YA. Rapid PCR Detection for Vibrio alginolyticus and Vibrio splendidus in Sea Cucumber Apostichopus japonicas and its Culturing Environment [J]. , 2010, 12(3): 125-130. |
[4] | MA Yan1|2|LI Jian2|WANG Qun2|HE Yu-ying2|WANG Bin1. Rapid and Semi-quantitative Detection of Pathogenic Vibrio paraharmolyticus from Environment and Aquatic Animals by PC-PCR [J]. , 2008, 10(S1): 67-72. |
Viewed | ||||||
Full text |
|
|||||
Abstract |
|
|||||