Journal of Agricultural Science and Technology ›› 2022, Vol. 24 ›› Issue (9): 66-78.DOI: 10.13304/j.nykjdb.2021.0498
• BIOTECHNOLOGY & LIFE SCIENCE • Previous Articles Next Articles
Chunling BAI(), Lei YANG, Guanghua SU, Zhuying WEI, Xueqiao WANG, Lin ZHU, Xinyu ZHOU, Chao HAI, Di WU, Xuefei LIU, Yunxi WU, Li ZHANG(
), Guangpeng LI(
)
Received:
2021-06-17
Accepted:
2021-09-22
Online:
2022-09-15
Published:
2022-10-11
Contact:
Li ZHANG,Guangpeng LI
白春玲(), 杨磊, 苏广华, 魏著英, 王学侨, 朱琳, 周新宇, 海超, 吴迪, 刘雪霏, 武云喜, 张立(
), 李光鹏(
)
通讯作者:
张立,李光鹏
作者简介:
白春玲 E-mail:chunling1980_0@163.com
基金资助:
CLC Number:
Chunling BAI, Lei YANG, Guanghua SU, Zhuying WEI, Xueqiao WANG, Lin ZHU, Xinyu ZHOU, Chao HAI, Di WU, Xuefei LIU, Yunxi WU, Li ZHANG, Guangpeng LI. Breeding and Propagation of FAT1 Transgenic Ancestral Bull[J]. Journal of Agricultural Science and Technology, 2022, 24(9): 66-78.
白春玲, 杨磊, 苏广华, 魏著英, 王学侨, 朱琳, 周新宇, 海超, 吴迪, 刘雪霏, 武云喜, 张立, 李光鹏. FAT1转基因系祖公牛选育及其扩繁研究[J]. 中国农业科技导报, 2022, 24(9): 66-78.
Add to citation manager EndNote|Ris|BibTeX
URL: https://nkdb.magtechjournal.com/EN/10.13304/j.nykjdb.2021.0498
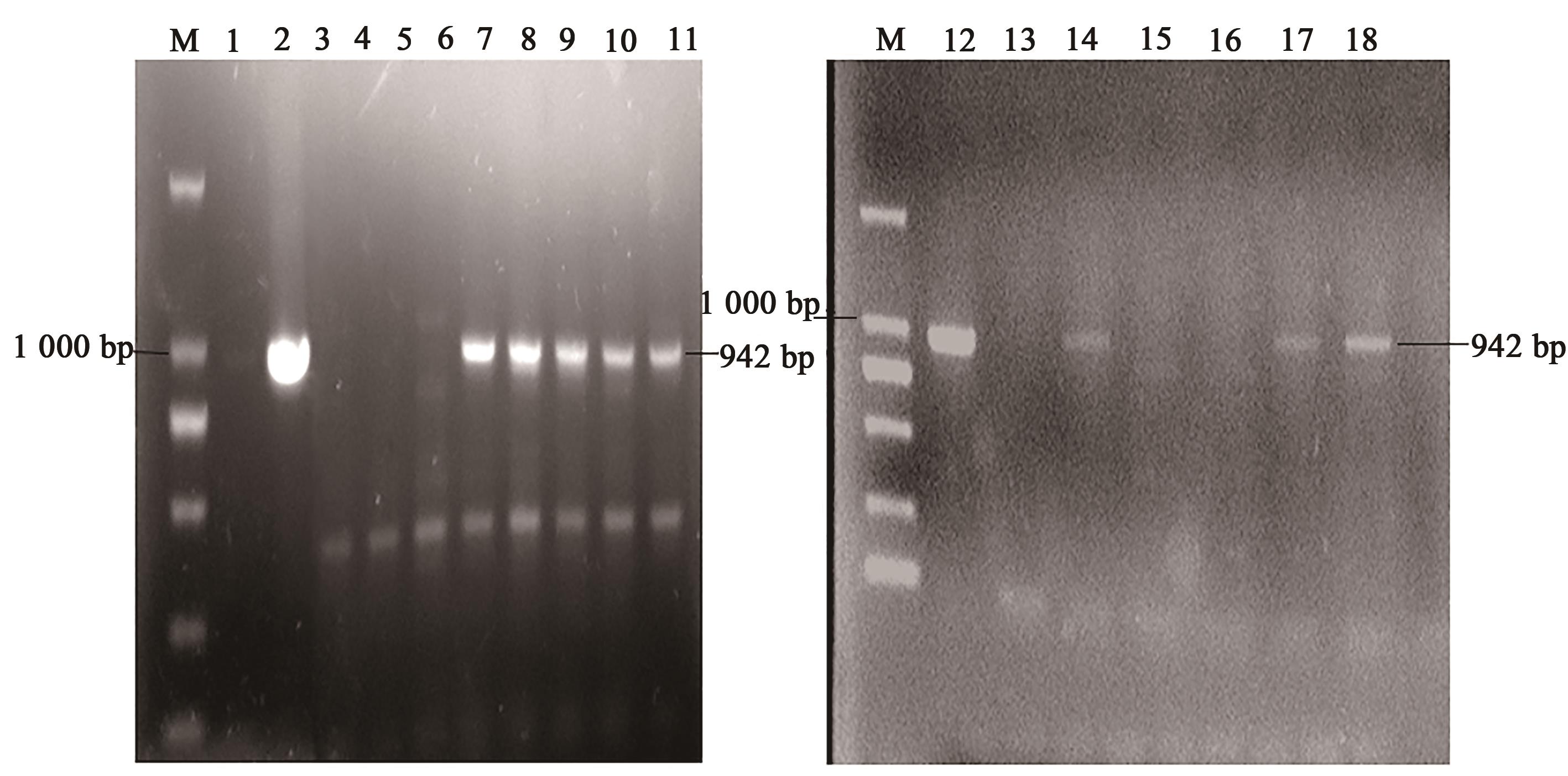
Fig.1 PCR identification of FAT-1 gene integration in F1 transgenic cattleNote:M—DL2 000 DNA marker; 1—Negative control(water); 2, 12—Positive control plasmid; 11—ZK002 positive control; 3~10, 13~18—Cattle to be tested.
类型 | 编号 Number | 目的基因 Target gene | n-6 PUFAs/% | n-3 PUFAs/% | n-6/n-3 PUFAs | n-6/n-3 PUFAs平均值 n-6/n-3 PUFAs average value |
---|---|---|---|---|---|---|
FAT1基因阳性牛 FAT1 gene positive cattle | ZK004 | + | 2.08 | 1.86 | 1.12 | 3.93 b |
ZK005 | + | 7.69 | 3.35 | 2.29 | ||
FD001 | + | 18.44 | 8.50 | 2.17 | ||
FD002 | + | 37.15 | 4.65 | 7.98 | ||
FD003 | + | 19.77 | 2.36 | 8.38 | ||
FD004 | + | 14.08 | 5.31 | 2.65 | ||
FD005 | + | 12.11 | 2.93 | 4.13 | ||
FD006 | + | 9.86 | 3.62 | 2.72 | ||
野生型牛 Wild type cattle | WT-1 | NA | 1.89 | 0.12 | 15.75 | 16.10 a |
WT-2 | NA | 4.97 | 0.47 | 10.57 | ||
WT-3 | NA | 11.21 | 0.51 | 21.98 | ||
FAT1基因阴性牛 FAT1 gene negative cattle | Con 1 | - | 18.11 | 1.71 | 10.59 | 13.14 a |
Con 2 | - | 4.90 | 0.38 | 12.90 | ||
Con 3 | - | 21.99 | 1.38 | 15.93 |
Table1 Fatty acids composition in blood of FAT1 transgenic cattle in F1 generation
类型 | 编号 Number | 目的基因 Target gene | n-6 PUFAs/% | n-3 PUFAs/% | n-6/n-3 PUFAs | n-6/n-3 PUFAs平均值 n-6/n-3 PUFAs average value |
---|---|---|---|---|---|---|
FAT1基因阳性牛 FAT1 gene positive cattle | ZK004 | + | 2.08 | 1.86 | 1.12 | 3.93 b |
ZK005 | + | 7.69 | 3.35 | 2.29 | ||
FD001 | + | 18.44 | 8.50 | 2.17 | ||
FD002 | + | 37.15 | 4.65 | 7.98 | ||
FD003 | + | 19.77 | 2.36 | 8.38 | ||
FD004 | + | 14.08 | 5.31 | 2.65 | ||
FD005 | + | 12.11 | 2.93 | 4.13 | ||
FD006 | + | 9.86 | 3.62 | 2.72 | ||
野生型牛 Wild type cattle | WT-1 | NA | 1.89 | 0.12 | 15.75 | 16.10 a |
WT-2 | NA | 4.97 | 0.47 | 10.57 | ||
WT-3 | NA | 11.21 | 0.51 | 21.98 | ||
FAT1基因阴性牛 FAT1 gene negative cattle | Con 1 | - | 18.11 | 1.71 | 10.59 | 13.14 a |
Con 2 | - | 4.90 | 0.38 | 12.90 | ||
Con 3 | - | 21.99 | 1.38 | 15.93 |
Fig. 2 Expression of FAT1 in different tissuesNote:* and ** indicate significant differencs at P<0.05 and P<0.01 levels respectively compared with lung tissue.
类型 Type | 肺 Lung | 肝 Liver | 心 Heart | 脾 Spleen | 脂肪 Fat | 脑 Brain | 肾 Kidney | 肌肉 Muscle |
---|---|---|---|---|---|---|---|---|
FAT1转基因牛 FAT1 transgene | 0.550±0.002** | 0.993±0.037** | 1.609±0.014* | 0.781±0.004** | 0.185±0.005** | 0.295 ±0.019* | 0.744 ±0.038** | 0.159 ±0.021** |
野生型对照牛 Wild type control | 4.624±0.106 | 4.129 ±0.04 | 2.175±0.191 | 8.071 ±0.333 | 0.693 ±0.024 | 0.533 ±0.017 | 6.077 ±0.086 | 8.792 ±0.079 |
Table 2 n-6/n-3 PUFAs ratio in different tissues
类型 Type | 肺 Lung | 肝 Liver | 心 Heart | 脾 Spleen | 脂肪 Fat | 脑 Brain | 肾 Kidney | 肌肉 Muscle |
---|---|---|---|---|---|---|---|---|
FAT1转基因牛 FAT1 transgene | 0.550±0.002** | 0.993±0.037** | 1.609±0.014* | 0.781±0.004** | 0.185±0.005** | 0.295 ±0.019* | 0.744 ±0.038** | 0.159 ±0.021** |
野生型对照牛 Wild type control | 4.624±0.106 | 4.129 ±0.04 | 2.175±0.191 | 8.071 ±0.333 | 0.693 ±0.024 | 0.533 ±0.017 | 6.077 ±0.086 | 8.792 ±0.079 |
性别 Sex | 月龄/月 Month age/mouth | 体质量 Body mass/kg | 体高 Body height/cm | 十字部宽 Height at hip cross/cm | 胸围 Bust/cm | ||||
---|---|---|---|---|---|---|---|---|---|
转基因组 Transgenic | 对照组 Control | 转基因组 Transgenic | 对照组 Control | 转基因组 Transgenic | 对照组 Control | 转基因组 Transgenic | 对照组 Control | ||
母牛Cow | 0 | 28.80 | 27.48 | 79.22 | 79.00 | 17.18 | 17.20 | 72.78 | 73.04 |
3 | 125.80 | 115.40 | 92.22 | 91.11 | 24.82 | 22.88 | 110.95 | 110.44 | |
6 | 174.45 | 179.60 | 99.82 | 99.74 | 28.14 | 27.56 | 124.90 | 123.13 | |
9 | 218.60 | 225.15 | 106.23 | 106.56 | 30.45 | 31.06 | 136.50 | 134.70 | |
12 | 256.70 | 248.70 | 117.06 | 117.86 | 35.52 | 35.45 | 151.62 | 153.02 | |
15 | 271.20 | 275.60 | 122.52 | 121.79 | 36.04 | 36.22 | 157.53 | 155.44 | |
18 | 373.90 | 386.25 | 124.98 | 125.74 | 37.84 | 37.80 | 167.14 | 165.13 | |
公牛Bull | 0 | 30.60 | 28.70 | 80.00 | 79.70 | 17.50 | 17.40 | 73.40 | 73.20 |
3 | 131.40 | 120.40 | 92.60 | 93.05 | 24.50 | 25.20 | 113.25 | 113.10 | |
6 | 201.35 | 192.20 | 102.40 | 102.00 | 29.20 | 28.10 | 126.30 | 125.45 | |
9 | 249.60 | 248.05 | 108.15 | 107.30 | 32.05 | 32.20 | 138.10 | 137.50 | |
12 | 297.10 | 292.50 | 118.20 | 117.80 | 36.10 | 35.85 | 154.00 | 154.20 | |
15 | 332.00 | 335.40 | 124.30 | 123.95 | 37.50 | 36.90 | 159.85 | 158.10 | |
18 | 443.70 | 456.35 | 127.20 | 126.20 | 39.60 | 39.50 | 168.60 | 168.25 |
Table 3 Comparison of the main growth indexes between FAT1 transgenic F1 generation cattle and wild type control cattle
性别 Sex | 月龄/月 Month age/mouth | 体质量 Body mass/kg | 体高 Body height/cm | 十字部宽 Height at hip cross/cm | 胸围 Bust/cm | ||||
---|---|---|---|---|---|---|---|---|---|
转基因组 Transgenic | 对照组 Control | 转基因组 Transgenic | 对照组 Control | 转基因组 Transgenic | 对照组 Control | 转基因组 Transgenic | 对照组 Control | ||
母牛Cow | 0 | 28.80 | 27.48 | 79.22 | 79.00 | 17.18 | 17.20 | 72.78 | 73.04 |
3 | 125.80 | 115.40 | 92.22 | 91.11 | 24.82 | 22.88 | 110.95 | 110.44 | |
6 | 174.45 | 179.60 | 99.82 | 99.74 | 28.14 | 27.56 | 124.90 | 123.13 | |
9 | 218.60 | 225.15 | 106.23 | 106.56 | 30.45 | 31.06 | 136.50 | 134.70 | |
12 | 256.70 | 248.70 | 117.06 | 117.86 | 35.52 | 35.45 | 151.62 | 153.02 | |
15 | 271.20 | 275.60 | 122.52 | 121.79 | 36.04 | 36.22 | 157.53 | 155.44 | |
18 | 373.90 | 386.25 | 124.98 | 125.74 | 37.84 | 37.80 | 167.14 | 165.13 | |
公牛Bull | 0 | 30.60 | 28.70 | 80.00 | 79.70 | 17.50 | 17.40 | 73.40 | 73.20 |
3 | 131.40 | 120.40 | 92.60 | 93.05 | 24.50 | 25.20 | 113.25 | 113.10 | |
6 | 201.35 | 192.20 | 102.40 | 102.00 | 29.20 | 28.10 | 126.30 | 125.45 | |
9 | 249.60 | 248.05 | 108.15 | 107.30 | 32.05 | 32.20 | 138.10 | 137.50 | |
12 | 297.10 | 292.50 | 118.20 | 117.80 | 36.10 | 35.85 | 154.00 | 154.20 | |
15 | 332.00 | 335.40 | 124.30 | 123.95 | 37.50 | 36.90 | 159.85 | 158.10 | |
18 | 443.70 | 456.35 | 127.20 | 126.20 | 39.60 | 39.50 | 168.60 | 168.25 |
Fig.3 RT-PCR detection of the expression of FAT1 gene in transgenic F2 generation cattleNote:1—DL10000 marker;2—Negative control(water);3—Negative control(wild type cattle);4—pST200 plasmid positive control;5~16—Cattle to be tested;17—DL 10000 marker.
Fig.4 Western blotting detection of the FAT1 gene expressionNote:1~6, 8~13—190220、190221、1904051、1904052、190427、190429,190505、190506、190510、190623、190624、190630; 7,14—ZK005.
性别 Sex | 月龄/月 Month age/month | 体质量 Body mass/kg | 体高 Body height/cm | 十字部宽 Height at hip cross/cm | 胸围 Bust/cm | ||||
---|---|---|---|---|---|---|---|---|---|
转基因组 Transgenic | 对照组 Control | 转基因组 Transgenic | 对照组 Control | 转基因组 Transgenic | 对照组 Control | 转基因组 Transgenic | 对照组 Control | ||
母牛 Cow | 0 | 33.10 | 32.41 | 73.90 | 72.47 | 20.90 | 21.33 | 76.21 | 77.53 |
3 | 92.96 | 90.40 | 90.70 | 89.42 | 23.89 | 24.26 | 108.40 | 107.70 | |
6 | 154.10 | 152.50 | 99.90 | 99.50 | 28.02 | 28.33 | 125.90 | 124.80 | |
9 | 185.90 | 184.00 | 106.80 | 104.50 | 32.41 | 32.90 | 137.30 | 136.10 | |
12 | 231.20 | 229.30 | 114.70 | 113.20 | 35.66 | 34.45 | 150.40 | 147.20 | |
15 | 266.60 | 260.80 | 117.70 | 116.20 | 36.42 | 36.82 | 158.50 | 153.90 | |
18 | 310.90 | 299.80 | 120.20 | 119.20 | 37.92 | 37.04 | 169.20 | 165.70 | |
公牛Bull | 0 | 32.52 | 31.88 | 74.40 | 74.01 | 21.03 | 20.44 | 74.67 | 72.23 |
3 | 99.70 | 100.90 | 93.18 | 92.69 | 26.78 | 26.34 | 118.30 | 116.50 | |
6 | 170.30 | 169.40 | 100.07 | 101.77 | 29.01 | 28.46 | 129.50 | 127.00 | |
9 | 220.70 | 218.60 | 108.40 | 107.30 | 32.03 | 31.62 | 153.70 | 147.80 | |
12 | 275.70 | 281.90 | 111.90 | 112.80 | 35.64 | 33.21 | 159.30 | 158.20 | |
15 | 344.50 | 332.80 | 115.90 | 115.70 | 37.02 | 37.45 | 163.20 | 161.30 | |
18 | 403.20 | 399.70 | 120.40 | 119.10 | 40.69 | 40.25 | 177.10 | 178.70 |
Table 4 Comparison of the main growth indexes between FAT1 transgenic F2 generation cattle and wild type control cattle
性别 Sex | 月龄/月 Month age/month | 体质量 Body mass/kg | 体高 Body height/cm | 十字部宽 Height at hip cross/cm | 胸围 Bust/cm | ||||
---|---|---|---|---|---|---|---|---|---|
转基因组 Transgenic | 对照组 Control | 转基因组 Transgenic | 对照组 Control | 转基因组 Transgenic | 对照组 Control | 转基因组 Transgenic | 对照组 Control | ||
母牛 Cow | 0 | 33.10 | 32.41 | 73.90 | 72.47 | 20.90 | 21.33 | 76.21 | 77.53 |
3 | 92.96 | 90.40 | 90.70 | 89.42 | 23.89 | 24.26 | 108.40 | 107.70 | |
6 | 154.10 | 152.50 | 99.90 | 99.50 | 28.02 | 28.33 | 125.90 | 124.80 | |
9 | 185.90 | 184.00 | 106.80 | 104.50 | 32.41 | 32.90 | 137.30 | 136.10 | |
12 | 231.20 | 229.30 | 114.70 | 113.20 | 35.66 | 34.45 | 150.40 | 147.20 | |
15 | 266.60 | 260.80 | 117.70 | 116.20 | 36.42 | 36.82 | 158.50 | 153.90 | |
18 | 310.90 | 299.80 | 120.20 | 119.20 | 37.92 | 37.04 | 169.20 | 165.70 | |
公牛Bull | 0 | 32.52 | 31.88 | 74.40 | 74.01 | 21.03 | 20.44 | 74.67 | 72.23 |
3 | 99.70 | 100.90 | 93.18 | 92.69 | 26.78 | 26.34 | 118.30 | 116.50 | |
6 | 170.30 | 169.40 | 100.07 | 101.77 | 29.01 | 28.46 | 129.50 | 127.00 | |
9 | 220.70 | 218.60 | 108.40 | 107.30 | 32.03 | 31.62 | 153.70 | 147.80 | |
12 | 275.70 | 281.90 | 111.90 | 112.80 | 35.64 | 33.21 | 159.30 | 158.20 | |
15 | 344.50 | 332.80 | 115.90 | 115.70 | 37.02 | 37.45 | 163.20 | 161.30 | |
18 | 403.20 | 399.70 | 120.40 | 119.10 | 40.69 | 40.25 | 177.10 | 178.70 |
指标 Index | 3月龄 3 months | 6月龄 6 months | 9月龄 9 months | 12月龄 12 months | 15月龄 15 months | 18月龄 18 months | ||||||
---|---|---|---|---|---|---|---|---|---|---|---|---|
转基因组 Transgenic | 对照组 Control | 转基因组 Transgenic | 对照组 Control | 转基因组 Transgenic | 对照组 Control | 转基因组 Transgenic | 对照组 Control | 转基因组 Transgenic | 对照组 Control | 转基因组 Transgenic | 对照组 Control | |
葡萄糖 Glucose/(mmol·L-1) | 5.84±1.36 | 6.65±1.36 | 5.01±1.00 | 5.35±1.33 | 4.91±0.81 | 4.96±0.97 | 5.18±0.34 | 5.41±0.83 | 5.23±0.62 | 5.91±0.35 | 3.65±0.78 | 4.32±1.04 |
谷草转氨酶 Aspartate aminotransferase/(U·L-1) | 39.85±15.35 | 50.06±14.78 | 54.09±11.64 | 55.13±13.73 | 62.32±15.08 | 65.77±23.22 | 60.3±8.68 | 64.94±12.87 | 68.65±13.70 | 62.42±8.06 | 46.36±8.86 | 48.55±5.55 |
谷丙转氨酶 Alanine aminotransferase/(U·L-1) | 9.02±2.78 | 11.58±4.91 | 19.8±7.60 | 20.25±4.46 | 26.1±5.55* | 27.4±7.55 | 21.23±3.84 | 24.04±3.60 | 26.43±0.95 | 24.24±6.79 | 15.93±4.03 | 17.75±4.98 |
总蛋白 Total protein/(g·L-1) | 54.36±16.87 | 60.54±9.42 | 60.74±12.69 | 63.5±13.82 | 62.66±9.40 | 59.37±16.03 | 62.39±2.17 | 65.19±5.28 | 62.83±1.62 | 58.26±6.65 | 45.11±13.24 | 51.58±10.21 |
白蛋白 Albumen/(g·L-1) | 31.21±9.08 | 33.66±4.27 | 33.92±7.07 | 35.02±7.31 | 32.70±4.44 | 32.45±7.08 | 34.09±1.10 | 34.53±2.44 | 34.73±0.96 | 31.86±5.78 | 24.53±6.56 | 29.28±5.37 |
胆碱酯酶 Cholinesterase/(U·L-1) | 115.29±44.83* | 144.93±26.88 | 128±27.26 | 144.1±25.22 | 114.62±31.69 | 133.63±19.07 | 119.00±8.70 | 126±21.18 | 122±28.59 | 156.33±13.5 | 106.86±35.77 | 130.00±28.19 |
肌酸激酶 Creatine kinase/(U·L-1) | 182.18±85.13 | 292.94±305.83 | 216.63±86.27 | 176.77±42.62 | 186.20±51.55 | 256.92±166.53 | 176.29±26.64 | 170.23±28.02 | 248.75±72.66 | 257.4±119.27 | 190±63.36 | 233.00±111.49 |
高密度脂蛋白胆固醇High density lipoprotein cholesterol/(mmol·L-1) | 2.49±1.14 | 1.94±0.67 | 3.34±1.00** | 1.87±0.64 | 2.36±0.63* | 2.28±0.55 | 2.64±0.63 | 2.61±0.34 | 2.51±0.28 | 2.34±0.72 | 1.34±0.50 | 1.76±0.47 |
低密度脂蛋白胆固醇 Low density lipoprotein cholesterol/(mmol·L-1) | 0.86±0.44* | 1.4±0.73 | 0.76±0.37 | 1.55±1.57 | 0.71±0.21 | 0.88±0.28 | 0.79±0.12 | 1.01±0.44 | 0.77±0.16 | 1.05±0.70 | 0.53±0.14 | 0.76±0.41 |
Table 5 Comparison of blood biochemical indexes between FAT1 transgenic F2 generation cattle and wild type cattle
指标 Index | 3月龄 3 months | 6月龄 6 months | 9月龄 9 months | 12月龄 12 months | 15月龄 15 months | 18月龄 18 months | ||||||
---|---|---|---|---|---|---|---|---|---|---|---|---|
转基因组 Transgenic | 对照组 Control | 转基因组 Transgenic | 对照组 Control | 转基因组 Transgenic | 对照组 Control | 转基因组 Transgenic | 对照组 Control | 转基因组 Transgenic | 对照组 Control | 转基因组 Transgenic | 对照组 Control | |
葡萄糖 Glucose/(mmol·L-1) | 5.84±1.36 | 6.65±1.36 | 5.01±1.00 | 5.35±1.33 | 4.91±0.81 | 4.96±0.97 | 5.18±0.34 | 5.41±0.83 | 5.23±0.62 | 5.91±0.35 | 3.65±0.78 | 4.32±1.04 |
谷草转氨酶 Aspartate aminotransferase/(U·L-1) | 39.85±15.35 | 50.06±14.78 | 54.09±11.64 | 55.13±13.73 | 62.32±15.08 | 65.77±23.22 | 60.3±8.68 | 64.94±12.87 | 68.65±13.70 | 62.42±8.06 | 46.36±8.86 | 48.55±5.55 |
谷丙转氨酶 Alanine aminotransferase/(U·L-1) | 9.02±2.78 | 11.58±4.91 | 19.8±7.60 | 20.25±4.46 | 26.1±5.55* | 27.4±7.55 | 21.23±3.84 | 24.04±3.60 | 26.43±0.95 | 24.24±6.79 | 15.93±4.03 | 17.75±4.98 |
总蛋白 Total protein/(g·L-1) | 54.36±16.87 | 60.54±9.42 | 60.74±12.69 | 63.5±13.82 | 62.66±9.40 | 59.37±16.03 | 62.39±2.17 | 65.19±5.28 | 62.83±1.62 | 58.26±6.65 | 45.11±13.24 | 51.58±10.21 |
白蛋白 Albumen/(g·L-1) | 31.21±9.08 | 33.66±4.27 | 33.92±7.07 | 35.02±7.31 | 32.70±4.44 | 32.45±7.08 | 34.09±1.10 | 34.53±2.44 | 34.73±0.96 | 31.86±5.78 | 24.53±6.56 | 29.28±5.37 |
胆碱酯酶 Cholinesterase/(U·L-1) | 115.29±44.83* | 144.93±26.88 | 128±27.26 | 144.1±25.22 | 114.62±31.69 | 133.63±19.07 | 119.00±8.70 | 126±21.18 | 122±28.59 | 156.33±13.5 | 106.86±35.77 | 130.00±28.19 |
肌酸激酶 Creatine kinase/(U·L-1) | 182.18±85.13 | 292.94±305.83 | 216.63±86.27 | 176.77±42.62 | 186.20±51.55 | 256.92±166.53 | 176.29±26.64 | 170.23±28.02 | 248.75±72.66 | 257.4±119.27 | 190±63.36 | 233.00±111.49 |
高密度脂蛋白胆固醇High density lipoprotein cholesterol/(mmol·L-1) | 2.49±1.14 | 1.94±0.67 | 3.34±1.00** | 1.87±0.64 | 2.36±0.63* | 2.28±0.55 | 2.64±0.63 | 2.61±0.34 | 2.51±0.28 | 2.34±0.72 | 1.34±0.50 | 1.76±0.47 |
低密度脂蛋白胆固醇 Low density lipoprotein cholesterol/(mmol·L-1) | 0.86±0.44* | 1.4±0.73 | 0.76±0.37 | 1.55±1.57 | 0.71±0.21 | 0.88±0.28 | 0.79±0.12 | 1.01±0.44 | 0.77±0.16 | 1.05±0.70 | 0.53±0.14 | 0.76±0.41 |
指标 Index | 3月龄 3 months | 6月龄 6 months | 9月龄 9 months | 12月龄 12 months | 15月龄 15 months | 18月龄 18 months | ||||||
---|---|---|---|---|---|---|---|---|---|---|---|---|
转基因组 Transgenic | 对照组 Control | 转基因组 Transgenic | 对照组 Control | 转基因组 Transgenic | 对照组 Control | 转基因组 Transgenic | 对照组 Control | 转基因组 Transgenic | 对照组 Control | 转基因组 Transgenic | 对照组 Control | |
h o l e s t e r o l /(mmol·L-1) 胆固醇 C | 2.75±1.19 | 3.53±1.43 | 4.02±1.43 | 3.56±2.27 | 2.44±0.74* | 2.63±0.74 | 2.51±0.61 | 2.66±0.6 | 2.41±0.29 | 2.59±1.01 | 1.62±0.42 | 2.07±0.66 |
r i g l y c e r i d e /(mmol·L-1) 甘油三酯 T | 0.40±0.15 | 0.47±0.26 | 0.31±0.12 | 0.30±0.11 | 0.23±0.09 | 0.29±0.08 | 0.36±0.07 | 0.27±0.12 | 0.30±0.01* | 0.25±0.05 | 0.20±0.07 | 0.23±0.06 |
r e a /(mmol·L-1) 尿素 U | 3.11±1.21 | 4.88±4.52 | 3.39±1.02 | 3.92±1.42 | 2.83±0.85 | 3.24±1.14 | 3.34±0.59 | 3.07±0.67 | 1.82±0.34 | 2.48±1.00 | 3.31±0.92 | 3.46±1.17 |
r e a t i n i n e /(μmol·L-1) 肌酐 C | 94.15±37.08 | 218.28±219.35 | 176.22±68.59 | 211.77±159.19 | 165.6±64.2 | 166.83±62.39 | 106.57±21.47* | 145.77±42.15 | 103.83±11.41 | 110.6±26.65 | 77.14±13.5** | 120.13±26.89 |
i p a s e /(U·L-1) 脂肪酶 L | 11.56±7.82 | 17.47±9.43 | 16.48±7.56 | 15.52±8.73 | 18.01±8.24 | 18.68±7.98 | 11.47±0.8 | 12.37±4.3 | 10.15±2.83 | 127.00±7.76 | 42.08±3.77 | 27.68±15.68* |
α-淀粉酶 α- amylase/(U·L-1) | 23.93±8.82** | 34.48±8.67 | 28.11±9.01 | 30.59±7.99 | 32.58±11.05 | 34.73±12.06 | 32.24±7.97 | 33.6±5.33 | 30.9±3.43 | 31.38±2.99 | 20.61±5.52 | 25.66±4.62 |
乳酸脱氢酶 Lactate dehydrogenase/(U·L-1) | 869.92±287.04 | 863.00±180.92 | 1 036.56±135.69* | 860.44±172.08 | 1 078.54±156.88* | 815.6±139.24 | 1 167±112.88** | 939.25±54.44 | 1 242.83±87.76** | 889.50±130.81 | 963.43±177.16 | 837±38.79 |
a c t a t e /(mmol·L-1) 乳酸 L | 2.66±1.040* | 3.89±1.86 | 1.65±1.40* | 4.27±2.56 | 2.06±0.98** | 5.29±2.57 | 1.66±0.96 | 2.68±1.98 | 1.75±0.36 | 25.00±1.27 | 1.03±0.24 | 1.64±0.96 |
Table 5 Comparison of blood biochemical indexes between FAT1 transgenic F2 generation cattle and wild type cattle
指标 Index | 3月龄 3 months | 6月龄 6 months | 9月龄 9 months | 12月龄 12 months | 15月龄 15 months | 18月龄 18 months | ||||||
---|---|---|---|---|---|---|---|---|---|---|---|---|
转基因组 Transgenic | 对照组 Control | 转基因组 Transgenic | 对照组 Control | 转基因组 Transgenic | 对照组 Control | 转基因组 Transgenic | 对照组 Control | 转基因组 Transgenic | 对照组 Control | 转基因组 Transgenic | 对照组 Control | |
h o l e s t e r o l /(mmol·L-1) 胆固醇 C | 2.75±1.19 | 3.53±1.43 | 4.02±1.43 | 3.56±2.27 | 2.44±0.74* | 2.63±0.74 | 2.51±0.61 | 2.66±0.6 | 2.41±0.29 | 2.59±1.01 | 1.62±0.42 | 2.07±0.66 |
r i g l y c e r i d e /(mmol·L-1) 甘油三酯 T | 0.40±0.15 | 0.47±0.26 | 0.31±0.12 | 0.30±0.11 | 0.23±0.09 | 0.29±0.08 | 0.36±0.07 | 0.27±0.12 | 0.30±0.01* | 0.25±0.05 | 0.20±0.07 | 0.23±0.06 |
r e a /(mmol·L-1) 尿素 U | 3.11±1.21 | 4.88±4.52 | 3.39±1.02 | 3.92±1.42 | 2.83±0.85 | 3.24±1.14 | 3.34±0.59 | 3.07±0.67 | 1.82±0.34 | 2.48±1.00 | 3.31±0.92 | 3.46±1.17 |
r e a t i n i n e /(μmol·L-1) 肌酐 C | 94.15±37.08 | 218.28±219.35 | 176.22±68.59 | 211.77±159.19 | 165.6±64.2 | 166.83±62.39 | 106.57±21.47* | 145.77±42.15 | 103.83±11.41 | 110.6±26.65 | 77.14±13.5** | 120.13±26.89 |
i p a s e /(U·L-1) 脂肪酶 L | 11.56±7.82 | 17.47±9.43 | 16.48±7.56 | 15.52±8.73 | 18.01±8.24 | 18.68±7.98 | 11.47±0.8 | 12.37±4.3 | 10.15±2.83 | 127.00±7.76 | 42.08±3.77 | 27.68±15.68* |
α-淀粉酶 α- amylase/(U·L-1) | 23.93±8.82** | 34.48±8.67 | 28.11±9.01 | 30.59±7.99 | 32.58±11.05 | 34.73±12.06 | 32.24±7.97 | 33.6±5.33 | 30.9±3.43 | 31.38±2.99 | 20.61±5.52 | 25.66±4.62 |
乳酸脱氢酶 Lactate dehydrogenase/(U·L-1) | 869.92±287.04 | 863.00±180.92 | 1 036.56±135.69* | 860.44±172.08 | 1 078.54±156.88* | 815.6±139.24 | 1 167±112.88** | 939.25±54.44 | 1 242.83±87.76** | 889.50±130.81 | 963.43±177.16 | 837±38.79 |
a c t a t e /(mmol·L-1) 乳酸 L | 2.66±1.040* | 3.89±1.86 | 1.65±1.40* | 4.27±2.56 | 2.06±0.98** | 5.29±2.57 | 1.66±0.96 | 2.68±1.98 | 1.75±0.36 | 25.00±1.27 | 1.03±0.24 | 1.64±0.96 |
1 | RUSSO G L. Dietary n-6 and n-3 polyunsaturated fatty acids: from biochemistry to clinical implications in cardiovascular prevention [J]. Biochem. Pharmacol., 2009, 77(6): 937-946. |
2 | GRIFFIN B A. How relevant is the ratio of dietary n-6 to n-3 polyunsaturated fatty acids to cardiovascular disease risk? evidence from the OPTILIP study [J]. Curr. Opin. Lipidol., 2008, 19(1): 57-62. |
3 | SIMOPOULOS A P. An increase in the omega-6/omega-3 fatty acid ratio increases the risk for obesity [J/OL]. Nutrients, 2016, 8(3):128 [2022-04-24]. . |
4 | GOODSTINE S L, ZHENG T, HOLFORD T R, et al.. Dietary (n-3)/(n-6) fatty acid ratio: possible relationship to premenopausal but not postmenopausal breast cancer risk in US women [J]. J. Nutr., 2003, 133(5): 1409-1414. |
5 | WILLIAMS C D, WHITLEY B M, HOYO C, et al.. A high ratio of dietary n-6/n-3 polyunsaturated fatty acids is associated with increased risk of prostate cancer [J]. Nutr. Res., 2011, 31(1): 1-8. |
6 | ZHU Z J, JIANG W Q, MCGINLEY J N, et al.. Mammary gland density predicts the cancer inhibitory activity of the n-3 to n-6 ratio of dietary FAT [J]. Cancer Prev. Res., 2011, 4(10): 1675-1685. |
7 | KALOGEROPOULOS N, PANAGIOTAKOS D B, PITSAVOS C, et al.. Unsaturated fatty acids are inversely associated and n-6/n-3 ratios are positively related to inflammation and coagulation markers in plasma of apparently healthy adults [J]. Clin. Chim. Acta., 2010, 411(7-8): 584-591. |
8 | JUMPSEN J, LIEN E L, GOH Y K, et al.. Small changes of dietary (n-6) and (n-3)/fatty acid content ration alter phosphatidylethanolamine and phosphatidylcholine fatty acid composition during development of neuronal and glial cells in rats [J]. J. Nutr., 1997, 127(5): 724-731. |
9 | SANTILLÁN M E, VINCENTI L M, MARTINI A C, et al.. Developmental and neurobehavioral effects of perinatal exposure to diets with different omega-6:omega-3 ratios in mice [J]. Nutrition, 2010, 26(4): 423-431. |
10 | SIMOPOULOS A P. Importance of the ratio of omega-6/omega-3 essential fatty acids: evolutionary aspects [J]. World Rev. Nutr. Diet., 2003, 92: 1-22. |
11 | HUANG Q, WEN J, CHEN G, et al.. Omega-3 polyunsaturated fatty acids inhibited tumor growth via preventing the decrease of genomic DNA methylation in colorectal cancer rats [J]. Nutr. Cancer, 2016, 68(1) :113-119. |
12 | KANG J X. From fat to fat-1: a tale of omega-3 fatty acids [J]. J. Membr. Biol., 2005, 206(2): 165-172. |
13 | SIMOPOULOS A P. The importance of the omega-6/omega-3 fatty acid ratio in cardiovascular disease and other chronic diseases [J]. Exp. Biol. Med. (Maywood), 2008, 233(6): 674-688. |
14 | LESA G M, PALFREYMAN M, HALL D H, et al.. Long chain polyunsaturated fatty acids are required for efficient neurotransmission in C. elegans [J]. J. Cell Sci., 2003, 116(24): 4965-4975. |
15 | YOSHIDA K, HASHIMOTO M, HORI R, et al.. Bacterial long-chain polyunsaturated fatty acids: their biosynthetic genes, functions, and practical use [J/OL]. Mar. Drugs, 2016, 14(5): 94[2022-05-10]. . |
16 | KHOZIN-GOLDBERG I, ISKANDAROV U, COHEN Z. LC-PUFA from photosynthetic microalgae: occurrence, biosynthesis, and prospects in biotechnology [J]. Appl. Microbiol. Biotechnol., 2011, 91(4): 905-915. |
17 | LAI L X, KANG J X, LI R F, et al.. Generation of cloned transgenic pigs rich in omega-3 fatty acids [J]. Na Biotechnol., 2006, 24(4): 435-436. |
18 | PAN D, ZHANG L, ZHOU Y, et al.. Efficient production of omega-3 fatty acid desaturase (sFAT1)-transgenic pigs by somatic cell nuclear transfer [J]. Sci. China Life Sci., 2010, 53(4): 517-523. |
19 | TANG M, ZHENG X, CHENG W, et al.. Safety assessment of sFAT1 transgenic pigs by detecting their co-habitant microbe in intestinal tract [J]. Transgenic Res., 2011, 20(4): 749-758. |
20 | ZHANG P, ZHANG Y, DOU H, et al.. Handmade cloned transgenic piglets expressing the nematode FAT1 gene [J]. Cell Reprogram., 2012, 14(3): 258-266. |
21 | ZHOU Y, LIN Y, WU X, et al.. The high-level accumulation of n-3 polyunsaturated fatty acids in transgenic pigs harboring the n-3 fatty acid desaturase gene from Caenorhabditis briggsae [J]. Transgenic Res., 2014, 23(1): 89-97. |
22 | LI M, OUYANG H, YUAN H, et al.. Site-specific FAT1 knock-in enables significant decrease of n-6 PUFAs/n-3 PUFAs ratio in pigs [J]. G3 (Bethesda), 2018, 8(5): 1747-1754. |
23 | TANG F, YANG X, LIU D, et al.. Co-expression of FAT1 and FAT2 in transgenic pigs promotes synthesis of polyunsaturated fatty acids [J]. Transgenic Res., 2019, 28(3-4): 369-379. |
24 | WU X, OUYANG H, DUAN B, et al.. Production of cloned transgenic cow expressing omega-3 fatty acids [J]. Transgenic Res., 2012, 21(3): 537-543. |
25 | 王丙萍,刘羿羿,王峰,等.体细胞核移植生产转FAT1基因克隆Holstein牛[J].中国兽医学报,2015,35(7):1199-1204. |
WANG B P, LIU Y Y, WANG F, et al.. The cloned holstein cows derived from FAT1 gene transferred somatic cell [J]. Chin. J. Vet. Sci., 2015, 35(7): 1199-1204. | |
26 | CHENG G, FU C, WANG H, et al.. Production of transgenic beef cattle rich in n-3 PUFAs by somatic cell nuclear transfer [J]. Biotechnol. Lett., 2015, 37(8): 1565-1571. |
27 | 段彪,程磊,苏广华,等.ω-3转基因克隆绵羊诞生[J]. 内蒙古大学学报, 2011, 42(1):121-122. |
DUAN B, CHENG L, SU G H, et al.. ω-transgenic cloned sheep production[J]. J. Inner Mongolia Univ., 2011, 42(1): 121-122. | |
28 | ZHANG P, LIU P, DOU H, et al.. Handmade cloned transgenic sheep rich in omega-3 fatty acids [J/OL]. PLoS One, 2013, 8(2): e55941 [2022-04-24]. . |
29 | 宋丽爽,高广琦,魏著英,等. FAT1转基因牛奶对小鼠健康和生殖能力的影响[J].实验动物科学,2017,34(3): 28-33, 37. |
SONG L S, GAO G Q, WEI Z Y, et al.. The health and reproduction of the mice fed by diets supplemented with milk from FAT1 transgenic cow [J]. Lab. Anim. Sci., 2017, 34(3) :28-33, 37. | |
30 | 许智宏,李晨.我国转基因生物产业化亟待突破[N].中国科学报,2021-03-18(001). |
31 | YAN C, DING X, DASGUPTA N, et al.. Gene profile of myeloid-derived suppressive cells from the bone marrow of lysosomal acid lipase knock-out mice [OL]. PLoS One, 2012, 7(2): e30701 [2022-04-24]. . |
32 | 于超然. 转FAT1基因牛外源基因整合位点鉴定[D].呼和浩特:内蒙古大学,2014. |
YU C R. Identification of the transgenic integration site in FAT1 transgenic cattle [D]. Hohhot: Inner Mougolia University, 2014. | |
33 | 华文君,刘西梅,程妮,等.转sFat1-基因猪生理生化指标与繁殖性能测定[J].安徽农业科学,2010,38(32):18235-18236. |
HUA W J, LIU X M, CHENG N, et al.. Determination of physiological biochemical parameters and reproductive performance in transgenic FAT1 gene pigs [J]. J. Anhui Agric. Sci., 2010, 38(32): 18235-18236. | |
34 | RAHEJA B S, SADIKOT S M, PHATAK R B, et al.. Significance of the N-6/N-3 ratio for insulin action in diabetes [J]. Ann. NY Acad. Sci., 1993, 683: 258-271 |
35 | KUDA O, JELENIK T, JILKOVA Z, et al.. N-3 fatty acids and rosiglitazone improve insulin sensitivity through additive stimulatory effects on muscle glycogen synthesis in mice fed a high-FAT diet [J]. Diabetologia, 2009, 52(5): 941-951. |
36 | LI N, YUE H, JIA M, et al.. Effect of low-ratio n-6/n-3 PUFA on blood glucose: a meta-analysis [J]. Food Funct., 2019, 10(8): 4557-4565. |
37 | SMITH B K, HOLLOWAY G P, REZA-LOPEZ S, et al.. A decreased n-6/n-3 ratio in the FAT1 mouse is associated with improved glucose tolerance [J]. Appl. Physiol. Nutr. Metab., 2010, 35(5): 699-706. |
38 | KIM E H, BAE J S, HAHM K B, et al.. Endogenously synthesized n-3 polyunsaturated fatty acids in FAT1 mice ameliorate high-FAT diet-induced non-alcoholic fatty liver disease [J]. Biochem. Pharmacol., 2012, 84(10): 1359-1365. |
39 | IKEDA I, WAKAMATSU K, INAYOSHI A, et al.. alpha-Linolenic, eicosapentaenoic and docosahexaenoic acids affect lipid metabolism differently in rats [J]. J. Nutr., 1994, 124(10): 1898-1906. |
40 | CONQUER J A, HOLUB B J. Effect of supplementation with different doses of DHA on the levels of circulating DHA as non-esterified fatty acid in subjects of Asian Indian background [J]. J. Lipid Res., 1998, 39(2): 286-292. |
41 | SKULAS-RAY A C, WILSON P W F, HARRIS W S, et al.. Omega-3 fatty acids for the management of hypertriglyceridemia: a science advisory from the American Heart Association [J/OL]. Circulation, 2019, 140(12): e673-e691 [2022-04-24]. . |
42 | 罗娜,孙志宏. Omega-3多不饱和脂肪酸在高脂血症中的作用机制研究进展[J].中国油脂,2020,45(7):97-101. |
LUO N, SUN Z H. Progress in action mechanism of omega-3 polyunsaturated fatty acids in hyperlipidemia [J]. China Oils Fats, 2020, 45(7): 97-101. | |
43 | 李新萍,陶岳,张孝恩,等.新疆石河子地区奶牛血液生化指标正常参考值范围的建立[J].中国奶牛,2011(18):47-50. |
LI X P, TAO Y, ZHANG X E, et al.. Establishment of the normal reference range of blood biochemical parameters for dairy cow in Shihezi area of Xinjiang [J]. China Dairy Cattle, 2011(18): 47-50. |
[1] | Libin WANG, Qianglong WANG, Yangyang PAN, Tian ZHAO, Tianyi DING, Yan CUI, Sijiu YU. In Vitro Maturation Culture and Parthenogenesis of Yak Oocytes [J]. Journal of Agricultural Science and Technology, 2023, 25(10): 84-90. |
[2] | Junlin ZONG, Yaqin WANG, Yanchen LIU, Long XU, Weijun GUAN. Identification and Differentiation of Holstein Cattle Umbilical Cord Mesenchymal Stem Cells [J]. Journal of Agricultural Science and Technology, 2023, 25(9): 105-112. |
[3] | WANG Yan-jiu1,2, WANG Chang-fa1, JU Zhi-hua1, HUANG Jin-ming1, LI Jian-bin1, LI . Polymorphisms Analysis of HSF1 and HSBP1 in Cattle [J]. , 2011, 13(3): 67-72. |
[4] | LIU Mei1,2, JU Zhi-hua1, LI Qiu-ling1, WANG Hong-mei1, HUANG Jin-ming1,LI Jian-b. Studies on Polymorphisms Within Intron 1 and Exon 2 of MBL1 Gene in Three Cattle Breeds [J]. , 2010, 12(1): 72-78. |
[5] | ZHANG Xin, CHEN Su-ren, LI Xue-bing, LIU Dong-jun, CANG Ming. Studies on Differential Expression Genes |in Bovine Preimplantation Embryos [J]. , 2009, 11(6): 50-54. |
[6] | ZAN Lin-sen1,2, ZHAO Chun-ping1,2, LIU Yang1| LIU Yong-feng1. Present Status, Hot Topic Analysis, Development Tendency and Counter-measures for Beef Cattle Industry in China [J]. , 2009, 11(5): 1-5. |
[7] | LIU Wen-jiao, SUN Shao-hua, LI Xue-mei . TLR4 Gene Exon Ⅲ Bbvl2 Ⅰ -RFLP Analysis and its |Correlation with Dairy Mastitis [J]. , 2008, 10(2): 114-118. |
[8] | . [J]. , 2004, 6(3): 9-16. |
[9] | . [J]. , 2003, 5(3): 13-16. |
[10] | . [J]. , 2001, 3(6): 66-67. |
[11] | . [J]. , 2001, 3(2): 68-70. |
[12] | . [J]. , 2000, 2(2): 63-65. |
Viewed | ||||||
Full text |
|
|||||
Abstract |
|
|||||