中国农业科技导报 ›› 2025, Vol. 27 ›› Issue (7): 142-149.DOI: 10.13304/j.nykjdb.2024.0331

• 动植物健康 • 上一篇    下一篇

新疆牛源奇异变形杆菌分离鉴定及耐药与毒力基因分析

何薇1,2(), 宋林卿1,2, 吴星霖1, 艾俊杰1,2, 吉利伟3, 王利敏1,2, 王彦斌1,2, 彭斌1,2, 戴小华1,2(), 郭庆勇1,2()   

  1. 1.新疆农业大学动物医学学院,乌鲁木齐 830052
    2.新疆农业大学,新疆草食动物新药研究与创制 重点实验室,乌鲁木齐 830052
    3.山东畜牧兽医职业学院,山东 潍坊 261061
  • 收稿日期:2024-04-24 接受日期:2024-12-03 出版日期:2025-07-15 发布日期:2025-07-11
  • 通讯作者: 戴小华,郭庆勇
  • 作者简介:何薇 E-mail:1872911937@qq.com
  • 基金资助:
    新疆维吾尔自治区区域协同创新专项(科技援疆计划)项目(2022E02014);新疆维吾尔自治区现代农业产业技术体系-奶牛产业技术体系专项(XJARS-11)

Isolation and Characterization of Bovine-origin Proteus mirabilis from Xinjiang and Analysis of Drug Resistance and Virulence Genes

Wei HE1,2(), Linqing SONG1,2, Xinglin WU1, Junjie AI1,2, Liwei JI3, Limin WANG1,2, Yanbin WANG1,2, Bin PENG1,2, Xiaohua DAI1,2(), Qingyong GUO1,2()   

  1. 1.College of Veterinary Medicine,Xinjiang Agricultural University,Urumqi 830052,China
    2.Key Laboratory of New Drug Research and Development for herbivores of Xinjiang,Xinjiang Agriculture University,Urumqi 830052,China
    3.Shandong Animal Husbandry and Veterinary Medicine College,Shandong Weifang 261061,China
  • Received:2024-04-24 Accepted:2024-12-03 Online:2025-07-15 Published:2025-07-11
  • Contact: Xiaohua DAI,Qingyong GUO

摘要:

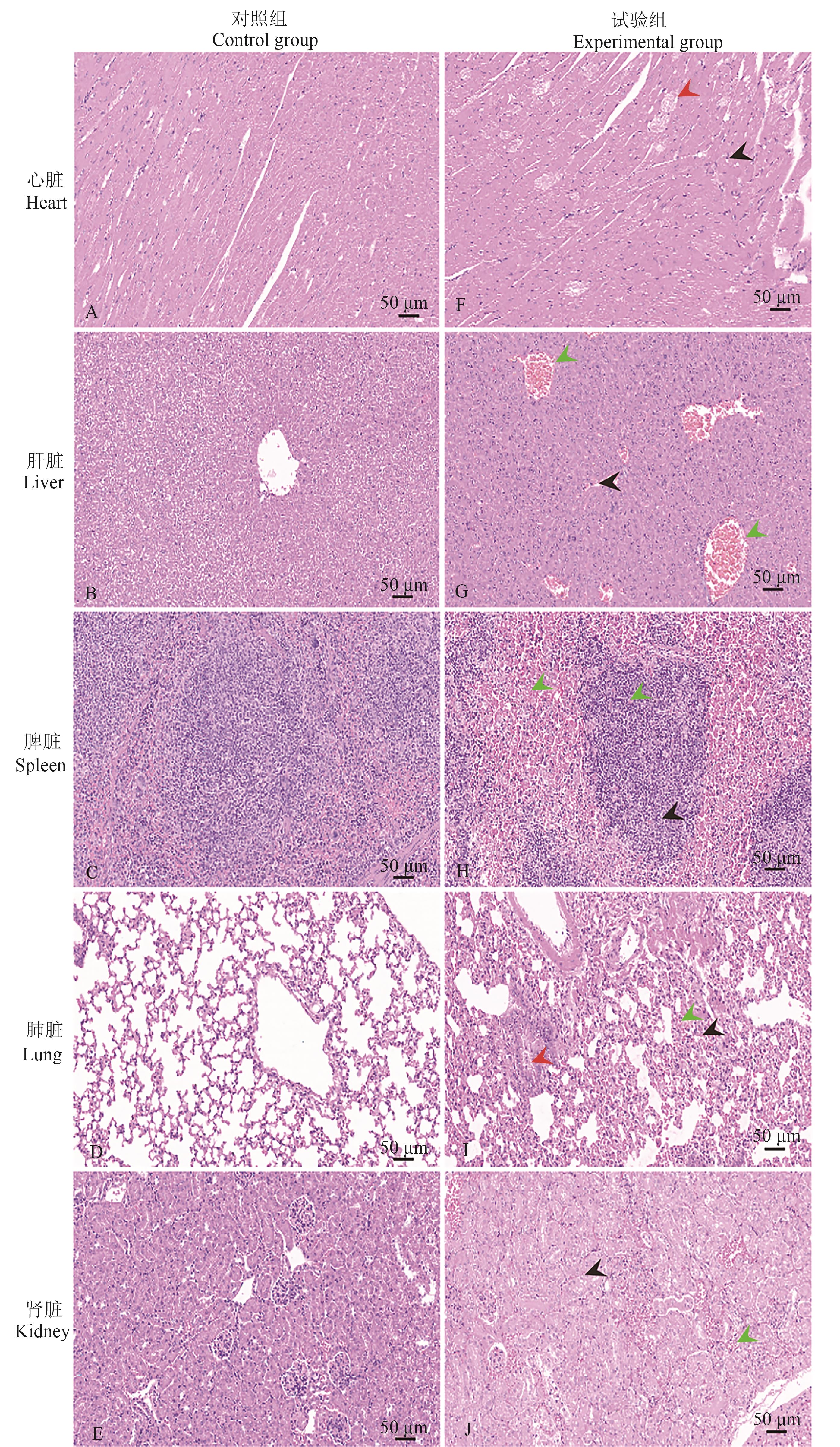
为研究新疆昌吉地区某奶牛养殖场子宫内膜炎的病原菌及其特性,采用常规细菌分离鉴定和PCR方法对采集的分泌物样品进行奇异变形杆菌(Proteus mirabilis)分离鉴定,采用K-B药敏纸片法、PCR方法以及人工感染小鼠试验分别检测奇异变形杆菌耐药性、毒力基因和致病性。结果显示,分离得到29株奇异变形杆菌,将该菌对临床上常用的16种药物进行药物敏感性试验显示,对9种药物敏感,5种药物耐药,2种药物中敏;毒力基因ureCatfCrsmAatfAhpmArsbA检出率为62.07%~89.66%,其他毒力基因的检出率为13.79%~41.38%;动物致病性试验表明,分离菌株对小鼠有致病性。以上研究结果为该病的临床防治提供科学依据。

关键词: 子宫内膜炎, 奇异变形杆菌, 耐药性, 致病性

Abstract:

In order to study the pathogenic bacteria and their characteristics of endometritis in a dairy farm in Changji region of Xinjiang, conventional and PCR methods were used to isolate and identify Proteus mirabilis in the collected secretion samples, and K-B drug-sensitive paper slides, PCR methods and artificially infected mice were used to detect the drug resistance, virulence genes and pathogenicity of Proteus mirabilis, respectively. The results showed that 29 strains of Proteus mirabilis were isolated. The drug susceptibility test of 16 drugs commonly showed that 29 strains were sensitive to 9 drugs, resistant to 5 drugs, and moderately sensitive to 2 drugs. The detection rate of virulence genes, ureCatfCrsmAatfAhpmA and rsbA, ranged from 62.07% to 89.66%, and the detection rate of other virulence genes was from 13.79% to 41.38%. The animal pathogenicity test showed that the isolated strain had pathogenicity to mice. Above results provided a scientific basis for the clinical control of the disease.

Key words: endometritis, Proteus mirabilis, drug resistance, pathogenicity

中图分类号: