中国农业科技导报 ›› 2024, Vol. 26 ›› Issue (4): 128-143.DOI: 10.13304/j.nykjdb.2023.0229
周金勇1,2(), 孙玲伟2, 张克勤2, 戴建军2, 张德福2, 王振国3, 主性1(
), 吴彩凤2(
)
收稿日期:
2023-03-25
接受日期:
2023-08-22
出版日期:
2024-04-15
发布日期:
2024-04-23
通讯作者:
主性,吴彩凤
作者简介:
周金勇 E-mail: JYzhou1015@163.com
基金资助:
Jinyong ZHOU1,2(), Lingwei SUN2, Keqin ZHANG2, Jianjun DAI2, Defu ZHANG2, Zhenguo WANG3, Xing ZHU1(
), Caifeng WU2(
)
Received:
2023-03-25
Accepted:
2023-08-22
Online:
2024-04-15
Published:
2024-04-23
Contact:
Xing ZHU,Caifeng WU
摘要:
为鉴定上海地方猪种上海白猪、枫泾猪和沙乌头猪中抗腹泻基因抗原加工相关转运体1(transporter-associated with antigen processing 1, TAP1)、α(1, 2)岩藻糖转移酶1[α (1, 2)-fucosyltransferase 1, FUT1]、天然抗性相关的巨噬细胞蛋白1(natural resistance-associated macrophage protein 1, NRAMP1)、黏蛋白4(mucin 4, MUC4)和黏蛋白13(mucin 13, MUC13)基因的有效遗传标记,为上海地方猪种资源特性提供参考,应用聚合酶链式反应-限制性片段长度多态性(polymerase chain reaction restriction fragment length polymorphism, PCR-RFLR)和序列测序分析上述基因的多态性,结合部分免疫相关因子,探讨对3个上海地方猪种免疫力的影响。结果显示,3个猪种中TAP1和MUC4基因均具有抗腹泻基因型GG,而仅在枫泾猪和沙乌头猪中检测到MUC13基因抗腹泻基因型GG,在3个猪种中均未检测到FUT1和NRAMP1基因抗腹泻基因型AA。上海白猪、枫泾猪和沙乌头猪TAP1基因处于中度多态,上海白猪的MUC4基因处于低度多态,枫泾猪和沙乌头猪的MUC4基因处于中度多态,上海白猪MUC13基因处于中度多态,其中上海白猪和沙乌头猪的TAP1基因不满足Hardy-Weinberg平衡,枫泾猪的MUC4基因不满足Hardy-Weinberg平衡。上海白猪MUC13基因AA型的白细胞介素12(interleukin-12, IL-12)水平显著高于AG型,枫泾猪TAP1基因AA型的肿瘤坏死因子α(tumor necrosis factor, TNF-α)指标显著高于GG和AG型,沙乌头猪TAP1基因AG型的IL-12指标显著高于GG型。以上研究结果对上海白猪、枫泾猪和沙乌头猪的抗腹泻育种和分子选育具有一定指导意义,为今后上海各地方猪种抗腹泻育种工作奠定了基础。
中图分类号:
周金勇, 孙玲伟, 张克勤, 戴建军, 张德福, 王振国, 主性, 吴彩凤. 上海地方猪种抗腹泻基因与免疫相关因子分析[J]. 中国农业科技导报, 2024, 26(4): 128-143.
Jinyong ZHOU, Lingwei SUN, Keqin ZHANG, Jianjun DAI, Defu ZHANG, Zhenguo WANG, Xing ZHU, Caifeng WU. Analysis of Anti-diarrhoeal Genes and Immune Factors in Local Pig Breeds in Shanghai[J]. Journal of Agricultural Science and Technology, 2024, 26(4): 128-143.
基因 Gene | 引物序列 Primer sequence (5’-3’) | 目的片段大小 Target fragment size/bp | 退火温度 Annealing temperature/℃ |
---|---|---|---|
TAP1 | F: GAAATGTGGATAAGAGCA R: AAACAGACGGATAATGAAAGAGG | 767 | 46 |
FUT1 | F: CTTCCTGAACGTCATCAAGACC R: CTTCAGCCAGGGCTCCTTTAAG | 421 | 55 |
NRAMP1 | F: GGCCAGCTTCCACAGTCTCCAG R: CGGGGGTACAAAGGGGAAGAAG | 483 | 64 |
MUC4 | F: TCTAAAGATGCTGGTGCTAC R: CTGGCTGTATTTCTGTTGTG | 220 | 50 |
MUC13 | F: GGAGAGACCAAACCCACAGA R: CTCCTCACCAGCTCCTTAGC | 230 | 60 |
表1 基因引物序列
Table 1 Gene primer sequence
基因 Gene | 引物序列 Primer sequence (5’-3’) | 目的片段大小 Target fragment size/bp | 退火温度 Annealing temperature/℃ |
---|---|---|---|
TAP1 | F: GAAATGTGGATAAGAGCA R: AAACAGACGGATAATGAAAGAGG | 767 | 46 |
FUT1 | F: CTTCCTGAACGTCATCAAGACC R: CTTCAGCCAGGGCTCCTTTAAG | 421 | 55 |
NRAMP1 | F: GGCCAGCTTCCACAGTCTCCAG R: CGGGGGTACAAAGGGGAAGAAG | 483 | 64 |
MUC4 | F: TCTAAAGATGCTGGTGCTAC R: CTGGCTGTATTTCTGTTGTG | 220 | 50 |
MUC13 | F: GGAGAGACCAAACCCACAGA R: CTCCTCACCAGCTCCTTAGC | 230 | 60 |
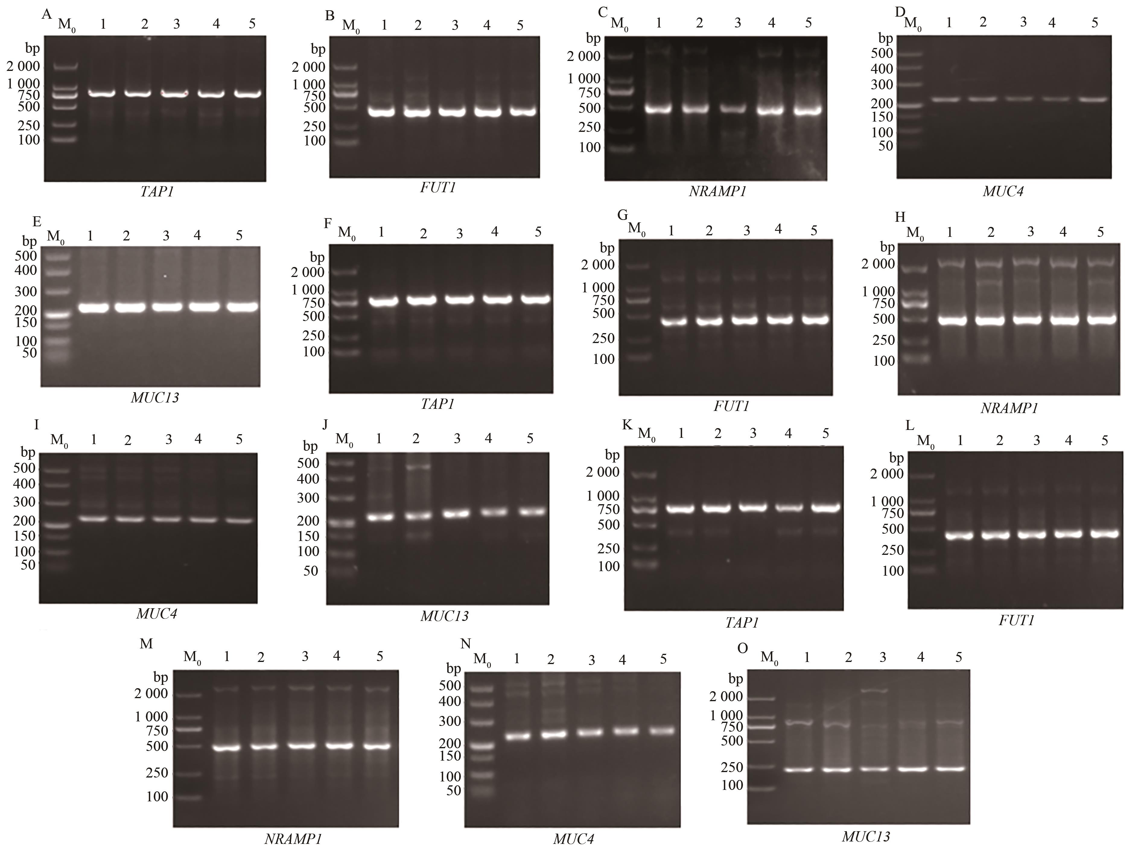
图1 上海白猪、枫泾猪和沙乌头猪的TAP1、FUT1、NRAMP1、MUC4和MUC13的PCR产物电泳图A~E:上海白猪5个基因的电泳图;F~J:枫泾猪5个基因电泳图;K~O:沙乌头猪5个基因电泳图。M0—DNA marker;1~5—PCR扩增结果
Fig. 1 Electrophoresis of TAP1, FUT1, NRAMP1, MUC4 and MUC13 PCR products from Shanghai White pig, Fengjing pig and Shawutou pigA~E:Electrophoretic map of 5 genes in Shanghai White pig; F~J: Electrophoretic map of 5 genes in Fengjing pig; K~O : Electrophoretic map of 5 genes in Shawutou pig. M0—DNA marker; 1~5 —PCR amplification results
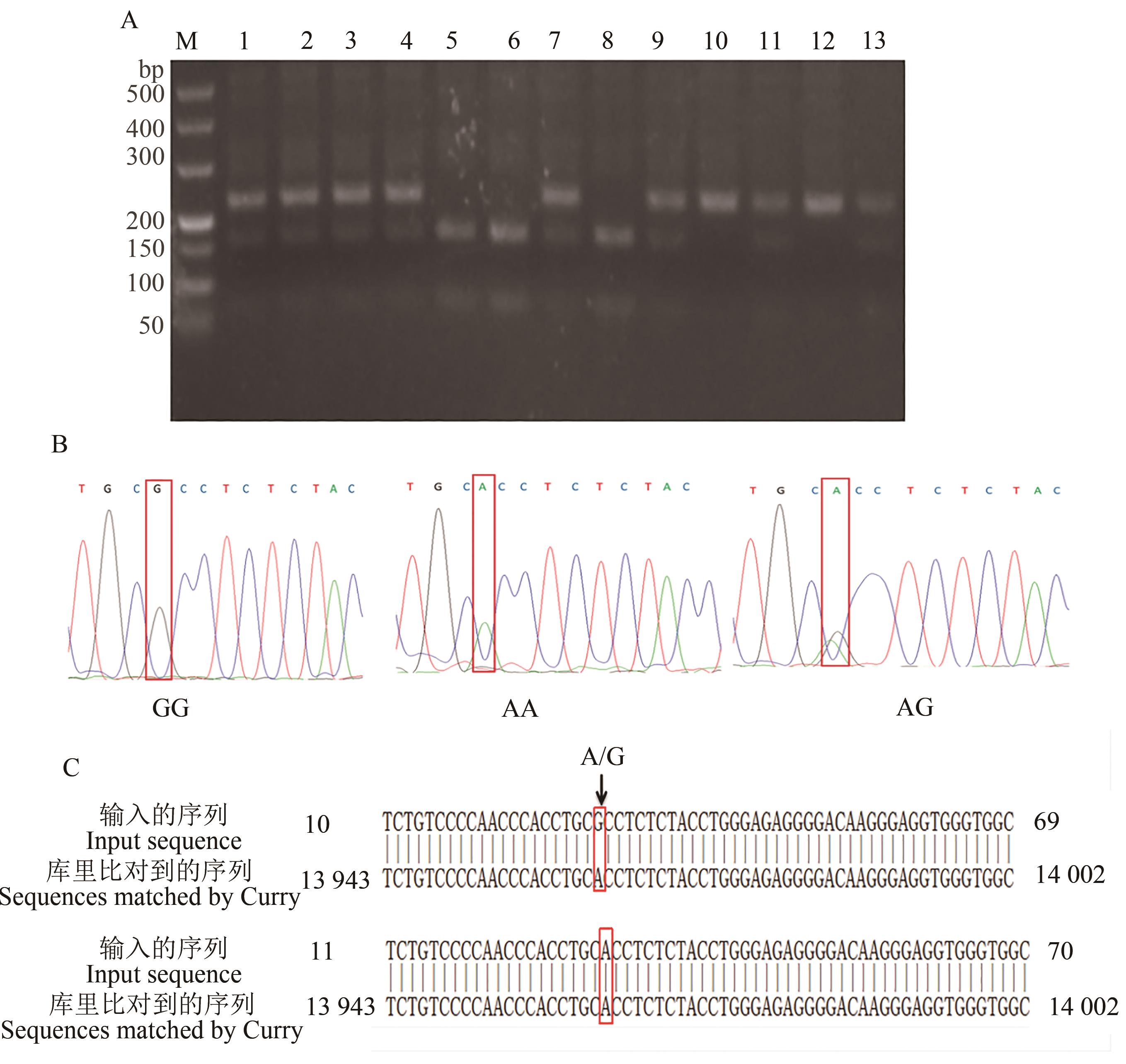
图2 TAP1基因酶切和测序结果A:上海白猪;M—DL 2000;1、2、3、5—AG型;4—GG型。B:枫泾猪;M—DL 2000;1、3、4—GG型;2、5—AG型;6—AA型。C:沙乌头猪;M—DL 2000;1、2、4、5、6、7—AG型;3、8、9、10、12、13—GG型;11—AA型。D:测序峰图;AA—767 bp; GG—628/139 bp; AG— 767/628/139 bp。E:NCBI序列对比
Fig. 2 Enzymatic digestion and sequencing results of TAP1 geneA: Shanghai White pig;M—DL 2000; 1, 2, 3, 5—AG type;4—GG type. B: Fengjing pig;M—DL 2000; 1, 3, 4—GG type; 2, 5—AG type; 6—AA type. C: Shawutou pig; M—DL 2000; 1, 2, 4, 5,6, 7—AG type; 3, 8, 9, 10, 12, 13—GG type; 11—AA type. D: Sequencing peak plot;AA—767 bp; GG—628/139 bp; AG—767/628/139 bp. E: Comparison of NCBI sequence
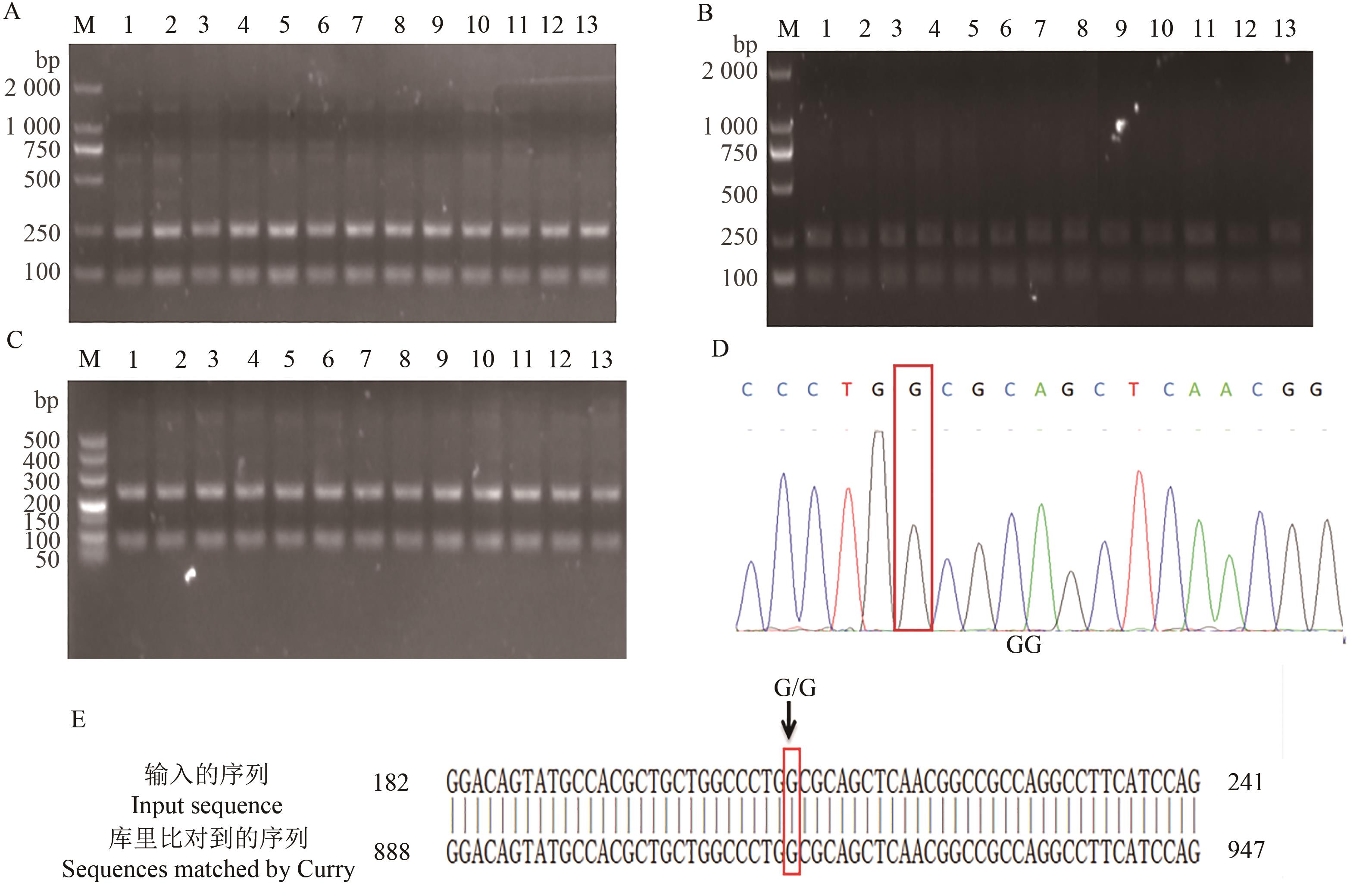
图3 FUT1基因酶切和测序结果A:上海白猪;M—DL 2000;1~13—GG。B:枫泾猪;M—DL 2000;1~13—GG。C:沙乌头猪;M—DL 500;1~13—GG。D:测序峰图;GG—241/93/87 bp。E:NCBI序列对比
Fig. 3 Enzymatic digestion and sequencing results of FUT1 geneA: Shanghai White pig;M—DL 2000;1~13—GG type. B: Fengjing pig;M—DL 2000;1~13—GG type. C: Shawutou pig;M—DL 500;1~13—GG type. D: Sequencing peak plot;GG—241/93/87 bp. E: Comparison of NCBI sequence
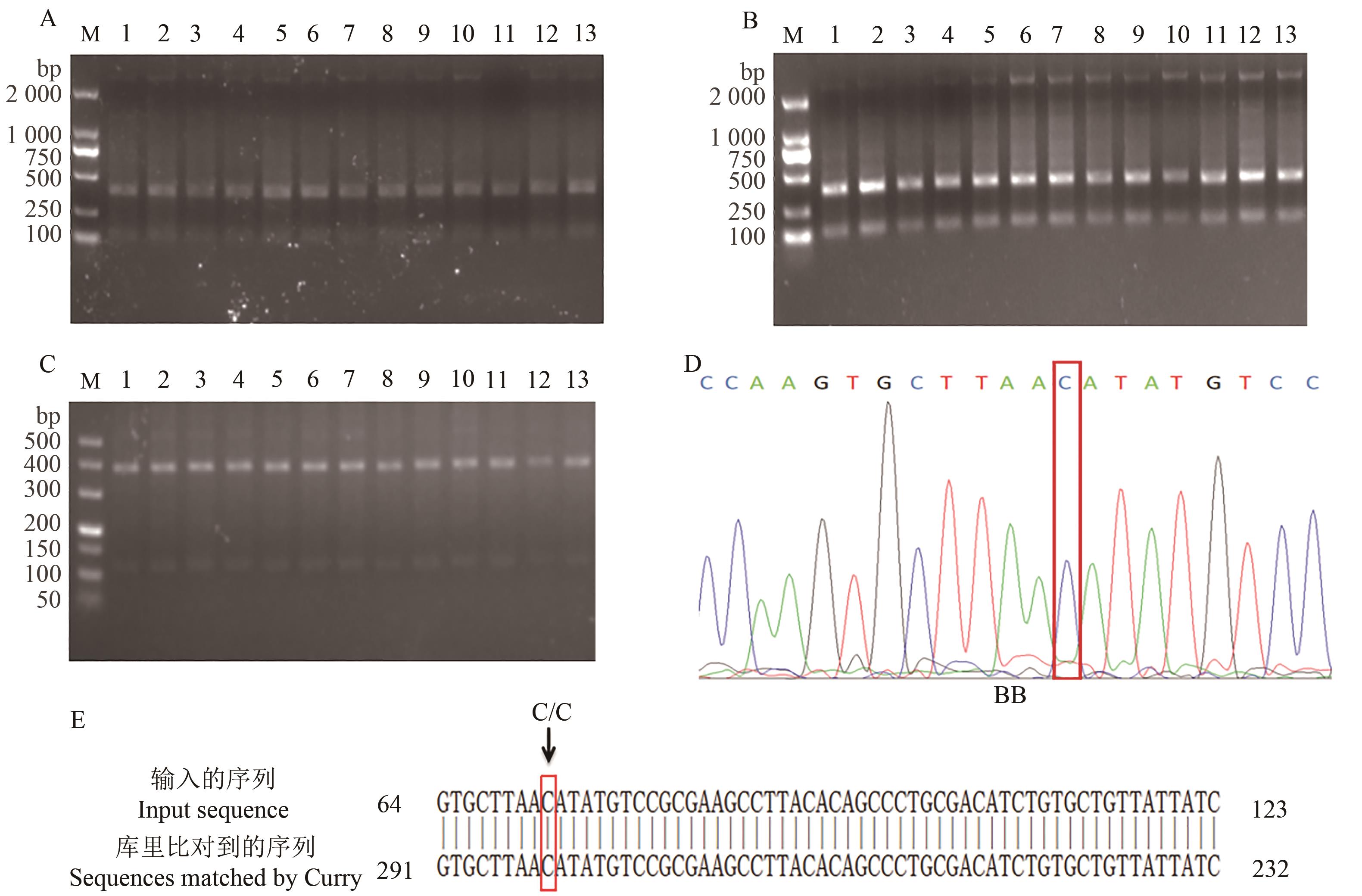
图4 NRAMP1基因酶切与测序结果A:上海白猪;M—DL 2000;1~13—BB型。B:枫泾猪;M—DL 2000;1~13—BB型。C:沙乌头猪;M—DL 500;1~13—BB型。D:测序峰图;AA—483 bp; BB—373/110 bp; AB—483/373/110 bp。E:NCBI序列对比
Fig. 4 Enzymatic digestion and sequencing results of NRAMP1 geneA: Shanghai White pig;M—DL 2000;1~13—BB type. B: Fengjing pig;M—DL 2000;1~13—BB type. C: Shawutou pig;M—DL 500;1~13—BB type. D: Sequencing peak plot;AA—483 bp; BB—373/110 bp; AB— 483/373/110 bp. E: Comparison of NCBI sequence
图5 MUC4基因酶切与测序结果A:沙乌头猪酶切结果;M—DL 500;1、2、3、4、7、9、11、13—AG型;5、6、8—GG型;10、12—AA型。B:测序峰图;AA—367 bp; GG—151/216 bp;AG—151/216/367 bp。C:NCBI序列对比
Fig. 5 Enzymatic digestion and sequencing results of MUC4 geneA: Enzymatic digestion results Shawutou pig; M—DL 500; 1, 2, 3, 4, 7, 9, 11, 13 —AG type; 5, 6, 8 — GG type; 10, 12 —AA type. B: Sequencing peak plot;AA—367 bp; GG—151/216 bp; AG—151/216/367 bp. C: Comparison of NCBI sequence
基因 Gene | 猪种 Pig breed | 基因型(频率) Genotype (frequency) | 等位基因(频率) Allele (frequency) | |||
---|---|---|---|---|---|---|
TAP1 | 上海白猪 Shanghai White pig | AA(0.00) | GG(0.43) | AG(0.57) | A(0.28) | G(0.72) |
枫泾猪 Fengjing pig | AA(0.10) | GG(0.53) | AG(0.37) | A(0.28) | G(0.72) | |
沙乌头猪 Shawutou pig | AA(0.03) | GG(0.33) | AG (0.63) | A(0.35) | G(0.65) | |
FUT1 | 上海白猪 Shanghai White pig | AA 0(0.00) | GG(1.00) | AG(0.00) | A(0.00) | G(1.00) |
枫泾猪 Fengjing pig | AA 0(0.00) | GG(1.00) | AG(0.00) | A(0.00) | G(1.00) | |
沙乌头猪 Shawutou pig | AA 0(0.00) | GG(1.00) | AG(0.00) | A(0.00) | G(1.00) | |
NRAMP1 | 上海白猪 Shanghai White pig | AA(0.00) | BB(1.00) | AB(0.00) | A(0.00) | B(1.00) |
枫泾猪 Fengjing pig | AA(0.00) | BB(1.00) | AB(0.00) | A(0.00) | B(1.00) | |
沙乌头猪 Shawutou pig | AA(0.00) | BB(1.00) | AB(0.00) | A(0.00) | B(1.00) | |
MUC4 | 上海白猪 Shanghai White pig | AA(0.03) | GG(0.83) | AG(0.13) | A(0.10) | G(0.90) |
枫泾猪 Fengjing pig | AA(0.33) | GG(0.03) | AG(0.63) | A(0.65) | G(0.35) | |
沙乌头猪 Shawutou pig | AA(0.20) | GG(0.33) | AG(0.47) | A(0.43) | G(0.57) | |
MUC13 | 上海白猪 Shanghai White pig | AA(0.87) | GG(0.00) | AG(0.13) | A(0.93) | G(0.07) |
枫泾猪 Fengjing pig | AA(0.00) | GG(1.00) | AG(0.00) | A(0.00) | G(1.00) | |
沙乌头猪 Shawutou pig | AA(0.00) | GG(1.00) | AG(0.00) | A(0.00) | G(1.00) |
表2 上海白猪、枫泾猪和沙乌头猪TAP1、FUT1、NRAMP1、MUC4和MUC13基因的基因型和等位基因频率
Table 2 Genotypes and allele frequencies of TAP1, FUT1, NRAMP1, MUC4 and MUC13 gene in Shanghai White pig, Fengjing pig and Shawutou pig
基因 Gene | 猪种 Pig breed | 基因型(频率) Genotype (frequency) | 等位基因(频率) Allele (frequency) | |||
---|---|---|---|---|---|---|
TAP1 | 上海白猪 Shanghai White pig | AA(0.00) | GG(0.43) | AG(0.57) | A(0.28) | G(0.72) |
枫泾猪 Fengjing pig | AA(0.10) | GG(0.53) | AG(0.37) | A(0.28) | G(0.72) | |
沙乌头猪 Shawutou pig | AA(0.03) | GG(0.33) | AG (0.63) | A(0.35) | G(0.65) | |
FUT1 | 上海白猪 Shanghai White pig | AA 0(0.00) | GG(1.00) | AG(0.00) | A(0.00) | G(1.00) |
枫泾猪 Fengjing pig | AA 0(0.00) | GG(1.00) | AG(0.00) | A(0.00) | G(1.00) | |
沙乌头猪 Shawutou pig | AA 0(0.00) | GG(1.00) | AG(0.00) | A(0.00) | G(1.00) | |
NRAMP1 | 上海白猪 Shanghai White pig | AA(0.00) | BB(1.00) | AB(0.00) | A(0.00) | B(1.00) |
枫泾猪 Fengjing pig | AA(0.00) | BB(1.00) | AB(0.00) | A(0.00) | B(1.00) | |
沙乌头猪 Shawutou pig | AA(0.00) | BB(1.00) | AB(0.00) | A(0.00) | B(1.00) | |
MUC4 | 上海白猪 Shanghai White pig | AA(0.03) | GG(0.83) | AG(0.13) | A(0.10) | G(0.90) |
枫泾猪 Fengjing pig | AA(0.33) | GG(0.03) | AG(0.63) | A(0.65) | G(0.35) | |
沙乌头猪 Shawutou pig | AA(0.20) | GG(0.33) | AG(0.47) | A(0.43) | G(0.57) | |
MUC13 | 上海白猪 Shanghai White pig | AA(0.87) | GG(0.00) | AG(0.13) | A(0.93) | G(0.07) |
枫泾猪 Fengjing pig | AA(0.00) | GG(1.00) | AG(0.00) | A(0.00) | G(1.00) | |
沙乌头猪 Shawutou pig | AA(0.00) | GG(1.00) | AG(0.00) | A(0.00) | G(1.00) |
基因 Gene | 猪种 Pig breed | 遗传多态性分析 Genetic polymorphism analysis | |||
---|---|---|---|---|---|
观测杂合度Ho | 期望杂合度He | 多态信息含量PIC | χ2 | ||
TAP1 | 上海白猪Shanghai White pig | 0.567 | 0.413 | 0.324 | 4.76 |
枫泾猪Fengjing pig | 0.367 | 0.413 | 0.324 | 0.29 | |
沙乌头猪Shawutou pig | 0.633 | 0.463 | 0.351 | 4.61 | |
MUC4 | 上海白猪Shanghai White pig | 0.133 | 0.183 | 0.164 | 2.01 |
枫泾猪Fengjing pig | 0.633 | 0.463 | 0.351 | 4.62 | |
沙乌头猪Shawutou pig | 0.467 | 0.499 | 0.371 | 0.08 | |
MUC13 | 上海白猪Shanghai White pig | 0.133 | 0.127 | 0.117 | 0.15 |
表3 上海白猪、枫泾猪和沙乌头猪TAP1、FUT1、NRAMP1、MUC4和MUC13基因的遗传多态性分析
Table 3 Genetic polymorphism analysis of TAP1, FUT1, NRAMP1, MUC4 and MUC13 genes in Shanghai White pig, Fengjing pig and Shawutou pig
基因 Gene | 猪种 Pig breed | 遗传多态性分析 Genetic polymorphism analysis | |||
---|---|---|---|---|---|
观测杂合度Ho | 期望杂合度He | 多态信息含量PIC | χ2 | ||
TAP1 | 上海白猪Shanghai White pig | 0.567 | 0.413 | 0.324 | 4.76 |
枫泾猪Fengjing pig | 0.367 | 0.413 | 0.324 | 0.29 | |
沙乌头猪Shawutou pig | 0.633 | 0.463 | 0.351 | 4.61 | |
MUC4 | 上海白猪Shanghai White pig | 0.133 | 0.183 | 0.164 | 2.01 |
枫泾猪Fengjing pig | 0.633 | 0.463 | 0.351 | 4.62 | |
沙乌头猪Shawutou pig | 0.467 | 0.499 | 0.371 | 0.08 | |
MUC13 | 上海白猪Shanghai White pig | 0.133 | 0.127 | 0.117 | 0.15 |
免疫因子 Immune factor | 猪种Pig breed | ||
---|---|---|---|
上海白猪 Shanghai White pig | 枫泾猪 Fengjing pig | 沙乌头猪 Shawutou pig | |
IFN-γ | 24.797±1.330 a | 25.971±1.399 a | 25.912±1.405 a |
IL-2 | 239.588±10.633 a | 207.693±10.547 a | 212.753±10.825 a |
IL-6 | 627.256±33.319 a | 626.74±28.404 a | 610.439±31.983 a |
IL-10 | 345.103±22.607 a | 361.094±21.173 a | 335.407±21.389 a |
IL-12 | 159.891±8.446 a | 160.974±7.383 a | 169.223±9.147 a |
IgG | 475.076±16.972 a | 482.815±17.531 a | 439.752±16.177 a |
TNF-α | 142.636±6.984 a | 145.357±7.201 a | 145.915±7.493 a |
表4 上海白猪、枫泾猪和沙乌头猪血液免疫因子差异分析
Table 4 Analysis of differences in blood immune factors among Shanghai White pig, Fengjing pig and Shawutou pig (pg· mL-1)
免疫因子 Immune factor | 猪种Pig breed | ||
---|---|---|---|
上海白猪 Shanghai White pig | 枫泾猪 Fengjing pig | 沙乌头猪 Shawutou pig | |
IFN-γ | 24.797±1.330 a | 25.971±1.399 a | 25.912±1.405 a |
IL-2 | 239.588±10.633 a | 207.693±10.547 a | 212.753±10.825 a |
IL-6 | 627.256±33.319 a | 626.74±28.404 a | 610.439±31.983 a |
IL-10 | 345.103±22.607 a | 361.094±21.173 a | 335.407±21.389 a |
IL-12 | 159.891±8.446 a | 160.974±7.383 a | 169.223±9.147 a |
IgG | 475.076±16.972 a | 482.815±17.531 a | 439.752±16.177 a |
TNF-α | 142.636±6.984 a | 145.357±7.201 a | 145.915±7.493 a |
猪种 Pig breed | 基因 Gene | 基因型 (数量) Genotype (number) | 免疫因子 Immune factor | ||||||
---|---|---|---|---|---|---|---|---|---|
IFN-γ | IL-2 | IL-6 | IL-10 | IL-12 | IgG | TNF-α | |||
上海白猪 Shanghai White pig | TAP1 | GG (13) | 25.249±1.983 a | 235.315±15.818 a | 615.550±49.682 a | 306.695±32.454 a | 168.779±12.429 a | 479.334±25.328 a | 147.741±10.357 a |
AG (17) | 24.452±1.735 a | 242.855±13.859 a | 636.208±43.446 a | 374.473±28.381 a | 153.095±10.869 a | 471.821±22.148 a | 138.732±9.058 a | ||
MUC4 | AA (1) | 32.720 | 221.430 | 558.650 | 242.400 | 182.940 | 463.810 | 175.920 | |
AG (4) | 26.235±3.489 a | 246.915±28.551 a | 638.348±89.470 a | 339.578±60.092 a | 172.112±22.497 a | 494.925±45.525 a | 151.148±18.451 a | ||
GG (25) | 24.250±1.396 a | 239.142±11.421 a | 628.226±35.788 a | 350.095±24.037 a | 157.014±8.999 a | 472.351±18.210 a | 139.943±7.380 a | ||
MUC13 | AA (26) | 24.823±1.405 a | 239.808±11.230 a | 607.932±33.836 a | 359.335±22.790 a | 168.010±7.943 a | 485.739±17.113 a | 144.279±7.329 a | |
AG (4) | 24.625±3.581 a | 238.155±28.629 a | 752.865±86.264 a | 252.592±58.103 a | 107.120±20.251 b | 405.770±43.630 a | 131.960±18.687 a | ||
枫泾猪 Fengjing pig | TAP1 | AA (3) | 21.300±4.249 a | 244.440±30.649 a | 648.403±87.155 a | 323.490±65.091 a | 147.393±22.397 a | 504.180±51.267 a | 194.760±20.106 a |
GG (16) | 36.121±1.839 a | 217.645±13.272 a | 603.720±37.739 a | 375.337±28.185 a | 155.968±9.698 a | 507.753±22.199 a | 143.778±8.706 b | ||
AG (11) | 27.027±2.219 a | 183.195±16.006 a | 654.316±45.515 a | 350.633±33.993 a | 171.960±11.696 a | 440.715±26.774 a | 134.180±10.500 b | ||
MUC4 | AA (10) | 25.248±2.369 a | 205.924±17.643 a | 607.550±45.827 a | 359.283±33.420 a | 177.777±11.768 a | 478.105±29.589 a | 148.497±12.142 a | |
AG (19) | 26.503±1.719 a | 205.609±12.799 a | 649.546±33.246 a | 374.017±24.246 a | 150.623±8.558 a | 481.779±21.467 a | 145.180±8.809 a | ||
GG (1) | 23.090 | 264.970 | 385.320 | 133.670 | 189.610 | 549.590 | 117.310 | ||
沙乌头猪 Shawutou pig | TAP1 | AA (1) | 34.200 | 250.100 | 385.320 | 447.630 | 236.270 | 526.040 | 81.720 |
GG (10) | 28.782±2.230 a | 219.196±18.220 a | 609.407±52.780 a | 329.650±35.820 a | 132.950±12.980 b | 443.621±27.030 a | 148.090±12.190 a | ||
AG (19) | 23.965±1.620 a | 207.396±13.220 a | 622.831±38.300 a | 332.529±25.990 a | 184.780±9.420 a | 433.174±19.610 a | 148.150±8.840 a | ||
MUC4 | AA (10) | 25.248±2.369 a | 205.924±17.643 a | 607.550±45.827 a | 359.283±33.420 a | 177.777±11.768 a | 478.105±29.589 a | 148.497±12.142 a | |
AG (19) | 26.503±1.719 a | 205.609±12.799 a | 649.546±33.246 a | 374.017±24.246 a | 150.623±8.558 a | 481.779±21.467 a | 145.180±8.809 a | ||
GG (1) | 23.090 | 264.970 | 385.320 | 133.670 | 189.610 | 549.590 | 117.310 |
表5 上海白猪、枫泾猪和沙乌头抗腹泻基因不同基因型与免疫因子的相关性分析 (pg· mL-1)
Table 5 Correlation analysis between different genotypes of anti-diarrhea genes and immune factors in Shanghai White pig, Fengjing pig and Shawutou pig
猪种 Pig breed | 基因 Gene | 基因型 (数量) Genotype (number) | 免疫因子 Immune factor | ||||||
---|---|---|---|---|---|---|---|---|---|
IFN-γ | IL-2 | IL-6 | IL-10 | IL-12 | IgG | TNF-α | |||
上海白猪 Shanghai White pig | TAP1 | GG (13) | 25.249±1.983 a | 235.315±15.818 a | 615.550±49.682 a | 306.695±32.454 a | 168.779±12.429 a | 479.334±25.328 a | 147.741±10.357 a |
AG (17) | 24.452±1.735 a | 242.855±13.859 a | 636.208±43.446 a | 374.473±28.381 a | 153.095±10.869 a | 471.821±22.148 a | 138.732±9.058 a | ||
MUC4 | AA (1) | 32.720 | 221.430 | 558.650 | 242.400 | 182.940 | 463.810 | 175.920 | |
AG (4) | 26.235±3.489 a | 246.915±28.551 a | 638.348±89.470 a | 339.578±60.092 a | 172.112±22.497 a | 494.925±45.525 a | 151.148±18.451 a | ||
GG (25) | 24.250±1.396 a | 239.142±11.421 a | 628.226±35.788 a | 350.095±24.037 a | 157.014±8.999 a | 472.351±18.210 a | 139.943±7.380 a | ||
MUC13 | AA (26) | 24.823±1.405 a | 239.808±11.230 a | 607.932±33.836 a | 359.335±22.790 a | 168.010±7.943 a | 485.739±17.113 a | 144.279±7.329 a | |
AG (4) | 24.625±3.581 a | 238.155±28.629 a | 752.865±86.264 a | 252.592±58.103 a | 107.120±20.251 b | 405.770±43.630 a | 131.960±18.687 a | ||
枫泾猪 Fengjing pig | TAP1 | AA (3) | 21.300±4.249 a | 244.440±30.649 a | 648.403±87.155 a | 323.490±65.091 a | 147.393±22.397 a | 504.180±51.267 a | 194.760±20.106 a |
GG (16) | 36.121±1.839 a | 217.645±13.272 a | 603.720±37.739 a | 375.337±28.185 a | 155.968±9.698 a | 507.753±22.199 a | 143.778±8.706 b | ||
AG (11) | 27.027±2.219 a | 183.195±16.006 a | 654.316±45.515 a | 350.633±33.993 a | 171.960±11.696 a | 440.715±26.774 a | 134.180±10.500 b | ||
MUC4 | AA (10) | 25.248±2.369 a | 205.924±17.643 a | 607.550±45.827 a | 359.283±33.420 a | 177.777±11.768 a | 478.105±29.589 a | 148.497±12.142 a | |
AG (19) | 26.503±1.719 a | 205.609±12.799 a | 649.546±33.246 a | 374.017±24.246 a | 150.623±8.558 a | 481.779±21.467 a | 145.180±8.809 a | ||
GG (1) | 23.090 | 264.970 | 385.320 | 133.670 | 189.610 | 549.590 | 117.310 | ||
沙乌头猪 Shawutou pig | TAP1 | AA (1) | 34.200 | 250.100 | 385.320 | 447.630 | 236.270 | 526.040 | 81.720 |
GG (10) | 28.782±2.230 a | 219.196±18.220 a | 609.407±52.780 a | 329.650±35.820 a | 132.950±12.980 b | 443.621±27.030 a | 148.090±12.190 a | ||
AG (19) | 23.965±1.620 a | 207.396±13.220 a | 622.831±38.300 a | 332.529±25.990 a | 184.780±9.420 a | 433.174±19.610 a | 148.150±8.840 a | ||
MUC4 | AA (10) | 25.248±2.369 a | 205.924±17.643 a | 607.550±45.827 a | 359.283±33.420 a | 177.777±11.768 a | 478.105±29.589 a | 148.497±12.142 a | |
AG (19) | 26.503±1.719 a | 205.609±12.799 a | 649.546±33.246 a | 374.017±24.246 a | 150.623±8.558 a | 481.779±21.467 a | 145.180±8.809 a | ||
GG (1) | 23.090 | 264.970 | 385.320 | 133.670 | 189.610 | 549.590 | 117.310 |
1 | CANIBE N, HØJBERG O, KONGSTED H, et al.. Review on preventive measures to reduce post-weaning diarrhoea in piglets [J/OL]. Animals, 2022, 12(19):2585 [2023-02-23]. . |
2 | MEIJERINK E, NEUENSCHWANDER S, FRIES R, et al.. A DNA polymorphism influencing α(1,2) fucosyltransferase activity of the pig FUT1 enzyme determines susceptibility of small intestinal epithelium to Escherichia coli F18 adhesion [J]. Immunogenetics, 2000, 52:129-136. |
3 | 方晨, 胡瑞举, 杨明华, 等. 迪庆藏猪FUT1基因遗传变异分析[J]. 中国畜牧杂志, 2020, 56(12):29-35. |
FANG C, HU R J, YANG M H, et al.. Genetic variation analysis of FUT1 gene in Diqing Tibetan pig [J]. Chin. J. Anim. Sci., 2020, 56 (12):29-35. | |
4 | MEIJERINK E, FRIES R, VOGELI P, et al.. Two α(1,2)fucosyltransferase genes on porcine chromosome 6q11 are closely linked to the blood group inhibitor (S) and Escherichia coli F18 receptor (ECF18R) loci [J]. Mamm. Genome, 1997, 8(10):736-741. |
5 | KIM K, NGUYEN D T, CHOI M, et al.. Alpha (1,2)-fucosyltransferase M307A polymorphism improves piglet survival [J]. Anim. Biotechnol., 2013, 24(3):243-250. |
6 | 赵乔辉, 刘颖, 董文华, 等. TAP1基因外显子3在9个不同猪群体中的遗传多态性分析[J]. 中国畜牧杂志, 2014, 50(7):1-5. |
ZHAO Q H, LIU Y, DONG W H, et al.. Analysis of genetic diversity in TAP1 gene exon 3 from 9 different pig populations [J]. Chin. J. Anim. Sci., 2014, 50(7):1-5. | |
7 | 刘艳冬, 许厚强, 稽辛勤, 等. 香猪NRAMP1基因多态性与仔猪腹泻的研究[J]. 中国畜牧兽医, 2010, 37(4):125-127. |
LIU Y D, XU H Q, JI X Q, et al.. NRAMP1 gene polymorphism and pig piglet diarrhea research [J]. China Anim. Husb. Vet. Med., 2010, 37(4):125-127. | |
8 | 刘艳冬, 许厚强, 林家栋, 等. 贵州地方猪NRAMP1基因多态性研究[J]. 贵州畜牧兽医, 2009, 33(2):1-2. |
LIU Y D, XU H Q, LIN J D, et al.. Genetic polymophism of NRAMP1 genc in Guizhou local pig [J]. Guizhou J. Anim. Husb. Vet. Med., 2009, 33(2):1-2. | |
9 | JOLLER D, JORGENSEN C B, BERTSCHINGER H U, et al.. Refined localization of the Escherichia coli F4ab/F4ac receptor locus on pig chromosome 13 [J]. Anim. Genet., 2009, 40(5):749-752. |
10 | JACOBSEN M, KRACHT S S, ESTESO G, et al.. Refined candidate region specified by haplotype sharing for Escherichia coli F4ab/F4ac susceptibility alleles in pig [J]. Anim. Genet., 2010, 41(1):21-25. |
11 | 洪渊, 韩云珍, 薛永钦, 等. 长白猪MUC13基因多态性及其与生产性状的关联性分析[J]. 福建畜牧兽医, 2022, 44(4):7-9. |
HONG Y, HAN Y Z, XUE Y Q, et al.. Association between polymorphism of MUC13 gene and production traits in American Landrace pig [J]. Fujian J. Anim. Husb. Vet. Med., 2022, 44(4):7-9. | |
12 | PENG Q L, REN J, YAN X M, et al.. The g. 243A> G mutation in intron 17 of MUC4 is significantly associated with susceptibility/resistance to ETEC F4ab/ac infection in pig [J]. Anim. Genet., 2007, 38(4):397-400. |
13 | 任军, 晏学明, 艾华水, 等. 仔猪断奶前腹泻抗病基因育种技术的创建及应用[J]. 猪业科学, 2012, 29(1):44-48. |
REN J, YAN X M, AI H S, et al.. Establishment and application of gene breeding technology for resistance to diarrhea in piglets before weaning [J]. Swin. Ind. Sci., 2012, 29 (1):44-48. | |
14 | 刘荣荣,徐勇,周慧姝,等.规模化猪场免疫程序的制定标准[J]. 畜牧兽医科学, 2017 (10):87. |
15 | 薛玮玮. 猪TAP1基因多态性及其与断奶仔猪免疫指标的相关性分析[D]. 合肥:安徽农业大学, 2014. |
XUE W W. Poylmorphisms of porcine TAP1 gene and their associationswith immune indicator in weaned piglets [D]. Hefei:Anhui Agricultural University, 2014. | |
16 | 刘颖, 董文华, 苏先敏,等. 梅山猪Mx1基因第14外显子多态性及其与部分免疫指标和早期生长性能的关联分析[J]. 中国畜牧杂志, 2014, 50(5):18-20, 64. |
LIU Y, DONG W H, SU X M, et al.. Polymorphisms in exon 14 of Mx1 gene and its relationship with partial cytokines level and early growth performance in Meishan pig [J]. Chin. J. Anim. Sci., 2014, 50(5):18-20, 64. | |
17 | 马小军. 不同猪种免疫功能及免疫相关基因表达差异研究[D]. 兰州:甘肃农业大学, 2005. |
MA X J. Studies on immune function and differential expressionof immune-related gene in different pig breeds [D]. Lanzhou: Gansu Agricultural University, 2005. | |
18 | ZHAO Q, LIU Y, DONG W, et al.. Genetic variations of TAP1 gene exon 3 affects gene expression and Escherichia coli F18 resistance in piglets [J]. Int. J. Mol. Sci., 2014, 15(6):11161-11171. |
19 | 张雄, 王婧, 张静, 等. 3个群体猪FUT1基因M229与M307位点遗传多样性研究[J]. 基因组学与应用生物学, 2020, 39(6):2536-2541. |
ZHANG X, WANG J, ZHANG J, et al.. The polymorphism analysis between M229 and M307 locus of FUT1 gene in three group pig [J]. Genomics Appl. Biol., 2020, 39(6):2536-2541. | |
20 | YAN X M, GUO Y M, DING N S, et al.. Study on the genetic variation ofal-fucosytransferase gene in different pig breed [J]. Chin. J. Anim. Sci., 2004, 40(3): 8-10. |
21 | 吴华莉, 涂尾龙, 曹建国, 等. FUT1基因在上海地区5个猪群体内的多态性分析[J]. 畜牧与饲料科学, 2017, 38(1):18-20. |
WU H L, TU W L, CAO J G, et al.. Polymorphism analysis of FUT1 gene in five pig herds in Shanghai [J]. Anim. Husb. Feed Sci., 2017, 38(1):18-20 | |
22 | 张艳. 浦东白猪重要抗病基因多态性位点及其可能相关免疫学指标检测分析[D]. 上海:上海交通大学, 2016. |
ZHANG Y. Polymorphism sites of important disease resistant genes in Pudong white pig and detection and analysis of immune indices possibly related to the genes [D]. Shanghai:Shanghai Jiaotong University, 2016. | |
23 | BLACKWELL J M. Structure and function of the natural-resistance-associated macrophage protein (NRAMP1), a candidate protein for infectious and autoimmune disease susceptibility [J]. Mol. Med. Today, 1996, 2(5):205-211. |
24 | 杨军, 陈红颂, 丁山河,等. 3个外种猪NRAMP1基因多态性研究[J]. 长江大学学报(自然科学版), 2009, 6(4):40-43, 120. |
YANG J, CHEN H S, DING S H, et al.. Study on polymorphism of NRAMP1 gene in three exotic pig [J]. J. Yangtze Univ. (Nat. Sci.), 2009, 6(4):40-43, 120. | |
25 | 刘艳冬. 香猪NRAMP1基因多态性及与仔猪腹泻相关性研究[D]. 贵阳:贵州大学, 2009. |
LIU Y D. Study of Xiang pig NRAMP1 gene polymorphism and correlation with the piglet diarrhea [D]. Guiyang:Guizhou University, 2009. | |
26 | 钦伟云, 甘丽娜, 魏宗友, 等. MUC4和MUC13基因在ETECF18抗性型和易感型梅山断奶仔猪间的差异表达分析[J]. 中国畜牧兽医, 2017, 44(4):959-964. |
QIN W Y, GAN L N, WEI Z Y, et al.. Differential expression analysis of MUC4 and MUC13 genes between resistant and sensitive weaned Meishan piglets to ETEC F18 [J]. China Anim. Husb. Vet. Med., 2017, 44(4):959-964. | |
27 | LIU Y, YIN X M, XIA R W, et al.. Association between the MUC4 g. 243A> G polymorphism and immune andproduction traits in Large white pig [J]. Turk. J. Vet. Anim. Sci., 2015, 39(2):141-146. |
28 | 李聪聪, 刘思雨, 吴姣, 等. 不同品种猪SLA-DQA、FUT1和MUC4基因遗传变异初析[J]. 黑龙江畜牧兽医, 2020 (2):55-61. |
LI C C, LIU S Y, WU J, et al.. Preliminary analysis of genetic variation of SLA-DQA, FUT1 and MUC4 genes in different breeds of pig [J]. Heilongjiang J. Anim. sci., 2020 (2):55-61. | |
29 | JACOBSEN M, CIRERA S, JOLLER D, et al.. Characterisation of five candidate genes within the ETEC F4ab/ac candidate region in pig [J/OL]. BMC Res. Notes, 2011, 4: 225 [2023-02-23]. . |
30 | JACOBSEN M, KRACHT S S, ESTESO G, et al.. Refined candidate region specified by haplotype sharing for Escherichia coli F4ab/F4ac susceptibility alleles in pig [J]. Anim. Genet., 2010, 41(1):21-25. |
31 | REN J, YAN X, AI H, et al.. Susceptibility towards enterotoxigenic Escherichia coli F4ac diarrhea is governed by the MUC13 gene in pig [J/OL]. PLoS One, 2012, 7(9):e44573 [2023-02-23]. . |
32 | 杨明, 王青来, 刘敬顺, 等. MUC13、FUT1基因在2个种猪核心群中的分子标记辅助选择研究[J]. 华南农业大学学报, 2015, 36(6):1-8. |
YANG M, WANG Q L, LIU J S, et al.. Molecular maker-assisted selections of MUC13 and FUT1 genes in the two swine nucleus populations [J]. J. South China Agric. Univ., 2015, 36(6):1-8. | |
33 | 蒋钦杨, 韦英明, 陈宝剑, 等. 马生长激素基因多态性与体尺指标之间的关联性分析[J]. 中国畜牧杂志, 2013, 49(3):1-4. |
JIANG Q Y, WEI Y M, CHEN B J, et al.. Association of polymorphisms of growth hormone gene with body sizes indexes in horses [J]. Chin. J. Anim. Sci., 2013, 49(3):1-4. | |
34 | 严燕, 张陈华, 王阳, 等. 圩猪OB基因SNPs检测及其与产仔性能的关系[J]. 中国农业大学学报, 2010, 15(6):78-83. |
YAN Y, ZHANG C H, WANG Y, et al.. SNPs detection of OB gene and its association with reproduction in Wei pig [J]. J. China Agric. Univ., 2010, 15(6):78-83 | |
35 | 相德才, 张斌, 刘邵娜, 等. 迪庆藏猪NRAMP1基因第二内含子和第二外显子多态性位点遗传分析[J]. 养猪, 2020, 169(2):60-62. |
XIANG D C, ZHANG B, LIU S N, et al.. Genetic analysis of the polymorphism in the second intron and the second exon of NRAMP1 gene in diqing tibetan pig [J]. Swin. Prod., 2020, 169(2):60-62. | |
36 | ZERGER K R, RICHARDERSON B J. A rapid poulation expansion retains genetic diversity within european rabbit in australia [J]. Mol. Ecol., 2003, 12(3):789-794. |
37 | BOURNAZOS S, RAVETCH J V. Diversification of IgG effector functions [J]. Int. Immunol., 2017, 29(7):303-310. |
38 | KOGUT M, ROTHWELL L, KAISER P. Differential effects of age on chicken heterophil functional activation by recombinant chicken interleukin-2 [J]. Dev. Comp. Immunol., 2002, 26(9):817-830. |
39 | ZIZZO G, TAMBURELLO A, CASTELNOYO L, et al.. Immunotherapy of COVID-19: inside and beyond IL-6 signalling [J/OL]. Front. Immunol., 2022, 13:795315 [2023-02-23]. . |
40 | WU Y R, HSING C H, CHIU C J, et al.. Roles of IL-1 and IL-10 family cytokines in the progression of systemic lupus erythematosus: friends or foes [J]. IUBMB Life, 2022, 74(2):143-156. |
41 | XUE D, MOON B, LIAO J, et al.. A tumor-specific pro-IL-12 activates preexisting cytotoxic T cells to control established tumors [J/OL]. Sci. Immunol., 2022, 7(67):6899 [2023-02-23]. . |
42 | 姜素华, 唐慧, 邢建新. IL-12在约氏疟原虫感染中作用的初步实验研究[J]. 农垦医学, 2008, 30(5):360-362. |
JIANG S H, TANG H, XING J X. Primary research on influence of IL-12 on plasmodium yoelii infection [J]. J.Nongken Med., 2008, 30(5):360-362. | |
43 | 郭紫晶, 陈飞, 张志雄, 等. 白细胞介素-10对口蹄疫病毒感染小鼠T细胞增殖及其表达TNF-α、IFN-γ和IL-2的影响[J]. 畜牧兽医学报, 2023, 54(2):694-705. |
GUO Z J, CHEN F, ZHANG Z X, et al.. Effects of interleukin-10 on T cell proliferation and its expression of TNF-a, IFN-γ and IL-2 in mice infected with foot and-mouth disease virus [J]. J. Anim. Vet. Sci., 2023, 54 (2):694-705. | |
44 | KOPER-LENKIEWICZ O M, SUTKOWSKA K, WAWRUSIEWICZ-KURYLONEK N, et al.. Proinflammatory cytokines (IL-1,-6,-8,-15,-17,-18,-23, TNF-α) single nucleotide polymorphisms in rheumatoid arthritis-a literature review [J/OL]. Int. J. Mol. Sci., 2022, 23(4):2106 [2023-02-23]. . |
45 | 吕琼霞, 张书霞, 赵茹茜. 运输应激对猪淋巴结IL-2、IL-6和IL-10及其受体mRNA转录的影响[J]. 南京农业大学学报, 2011, 34(1):95-100. |
LYU Q X, ZHANG S X, ZHAO R X. Effects of transportation stress on transcription of IL-2, IL-6 and IL-10 and the relative receptors mRNA of lymph nodes in pig [J]. J. Nanjing Agric. Univ., 2011, 34 (1):95-100. | |
46 | PENNICA D, KOHR W J, FENDLY B M, et al.. Characterization of a recombinant extracellular domain of the type 1 tumor necrosis factor receptor: evidence for tumor necrosis factor. alpha. induced receptor aggregation [J]. Biochemistry, 1992, 31(4):1134-1141. |
47 | O’GARRA A, MURPHY K M. From IL-10 to IL-12: how pathogens and their products stimulate APCs to induce TH1 development [J]. Nat. Immunol., 2009, 10(9):929-932. |
[1] | 王怡,胡婉彬,李家祥,黄显雅,段立柱,湛垚垚*. 急性盐度胁迫对紫石房蛤(Saxidomus purpurata)鳃组织结构及4种酶活性的影响[J]. 中国农业科技导报, 2016, 18(5): 178-186. |
阅读次数 | ||||||
全文 |
|
|||||
摘要 |
|
|||||