中国农业科技导报 ›› 2023, Vol. 25 ›› Issue (2): 76-82.DOI: 10.13304/j.nykjdb.2021.0877

• 生物技术 生命科学 • 上一篇    下一篇

活性口袋关键色氨酸对几丁质酶Chi304催化性质的研究

田晓倩1,2(), 卢海强1, 伍宁丰2, 田健2, 关菲菲2()   

  1. 1.河北农业大学食品科技学院,河北 保定 071000
    2.中国农业科学院生物技术研究所,北京 100081
  • 收稿日期:2021-10-15 接受日期:2022-01-18 出版日期:2023-02-15 发布日期:2023-05-17
  • 通讯作者: 关菲菲
  • 作者简介:田晓倩 E-mail: tianxiaoqian15@163.com
  • 基金资助:
    国家重点研发计划项目(2021YFC2100301)

Catalytic Properties of the Active Pocket Key Tryptophan on Chitinase Chi304

Xiaoqian TIAN1,2(), Haiqiang LU1, Ningfeng WU2, Jian TIAN2, Feifei GUAN2()   

  1. 1.College of Food Science and Technology, Hebei Agricultural University, Hebei Baoding 071000, China
    2.Biotechnology Research Institute, Chinese Academy of Agricultural Sciences, Beijing 100081, China
  • Received:2021-10-15 Accepted:2022-01-18 Online:2023-02-15 Published:2023-05-17
  • Contact: Feifei GUAN

摘要:

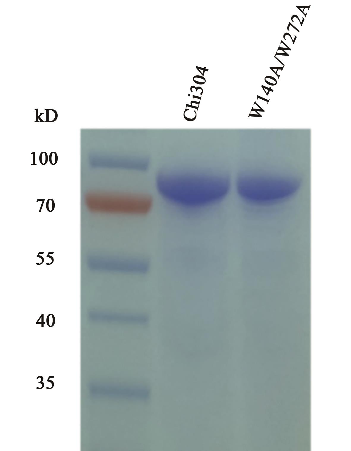
几丁质酶中存在结合口袋及水解活性位点,关键氨基酸与底物几丁质的结合可调控酶的水解活性。以嗜热几丁质酶Chi304为研究材料,采用同源建模分析其高级结构,发现在其底物结合口袋附近存在2个色氨酸(W140与W272),将其定点突变为丙氨酸后,采用高效液相色谱检测酶的水解产物,并进一步分析水解产物三乙酰壳三糖(DP3)与二乙酰壳二糖(DP2)的比例(DP3/DP2),用于评估突变体的效果。结果表明,突变体W140AW272AW140/272A水解胶体几丁质产物DP3/DP2分别较野生型提升23.3%、45.7%与80.0%。由此表明,W140与W272是影响酶与底物结合的关键氨基酸,将其突变为丙氨酸可提升Chi304的内切活力,降低外切活力。

关键词: 几丁质酶, 定点突变, 几丁寡糖, 理性设计

Abstract:

There are binding sites and hydrolytic active sites in chitinase, and the binding of key amino acids to substrate chitin can appropriately regulate the hydrolytic activity of the enzyme. The thermophilic chitinase Chi304 was as experimental material. Swiss-Model and analysis of its advanced structure revealed the presence of two tryptophans (W140 and W272) near its substrate binding pocket. And these two tryptophans were site-directed mutated to alanine. High performance liquid chromatography was used to detect the hydrolysis products of the enzyme. The ratio of product triacetyl chitosaccharide to diacetyl chitosaccharide (DP3/DP2) was used to evaluate the effect of the mutants. The mutants (W140AW272A and W140/272A) hydrolyzed colloidal chitin, and the proportions of product (DP3/DP2) were increased by 23.3%, 45.7% and 80.0% compared with that of wild type, respectively. The results showed that W140 and W272 were the key amino acids affecting the binding of enzyme to substrate, and the mutation of alanine to Chi304 increased the endogenous activity and decreased the exogenous activity.

Key words: chitinase, site-directed mutation, chitin oligosaccharide, rational design

中图分类号: