Journal of Agricultural Science and Technology ›› 2024, Vol. 26 ›› Issue (1): 125-132.DOI: 10.13304/j.nykjdb.2022.0736

• ANIMAL AND PLANT HEALTH • Previous Articles     Next Articles

Activity Determination of 4 Glycosyltransferases and Protein Interaction Analysis of Erwinia beijingensis

Xiaoning CHANG1,2(), Jinying GUO2, Chengbo RONG1, Tongtong GU1, Yu LIU1()   

  1. 1.Institute of Plant Protection,Beijing Academy of Agriculture and Forestry Sciences,Beijing 100097,China
    2.School of Landscape and Ecological Engineering,Hebei University of Engineering,Hebei Handan 056038,China
  • Received:2022-09-02 Accepted:2022-10-19 Online:2024-01-15 Published:2024-01-08
  • Contact: Yu LIU

北京欧文氏菌4个糖基转移酶活性测定及蛋白相互作用分析

常晓宁1,2(), 郭金英2, 荣成博1, 谷彤彤1, 刘宇1()   

  1. 1.北京市农林科学院植物保护研究所,北京 100097
    2.河北工程大学园林与生态工程学院,河北 邯郸 056038
  • 通讯作者: 刘宇
  • 作者简介:常晓宁 E-mail:cnchang0421@163.com
  • 基金资助:
    现代农业产业技术体系北京市创新团队项目(BAIC03-02);国家食用菌产业技术体系北京综合试验站项目(CARS-20-26);北京市自然科学基金项目(6202008)

Abstract:

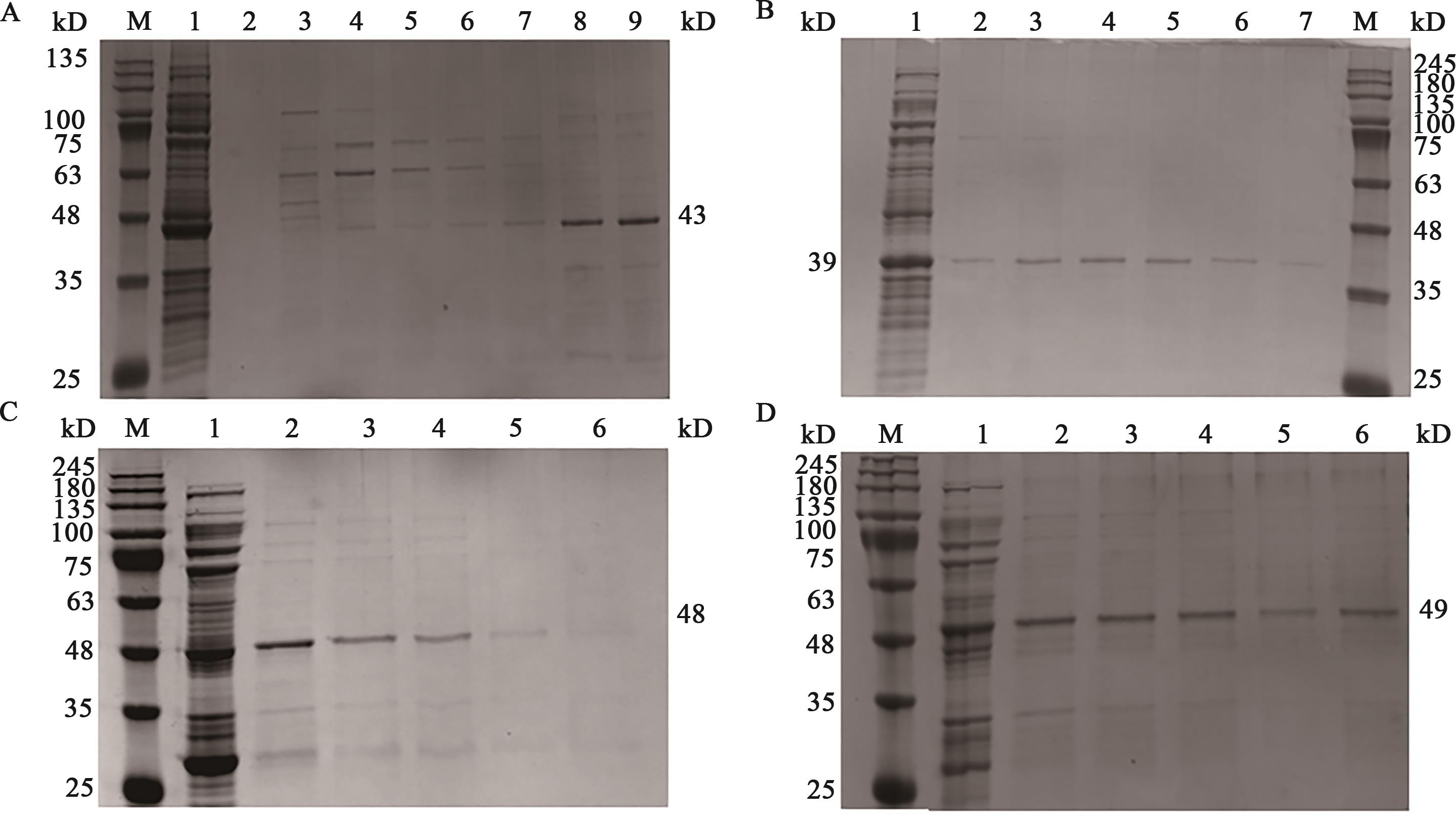
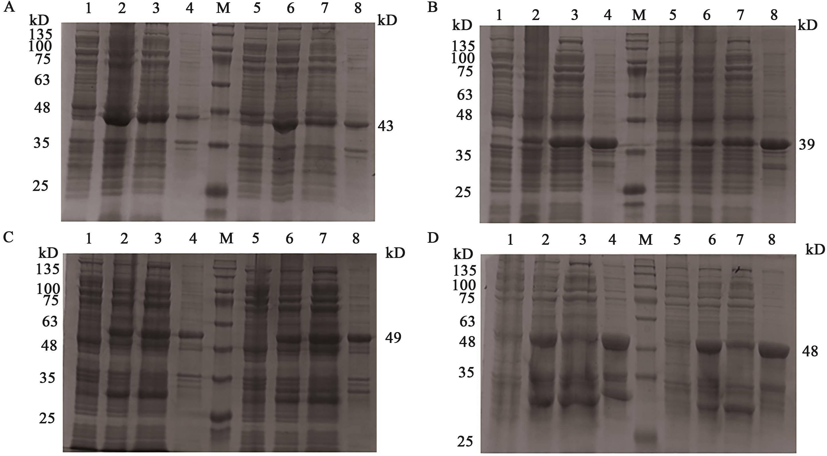
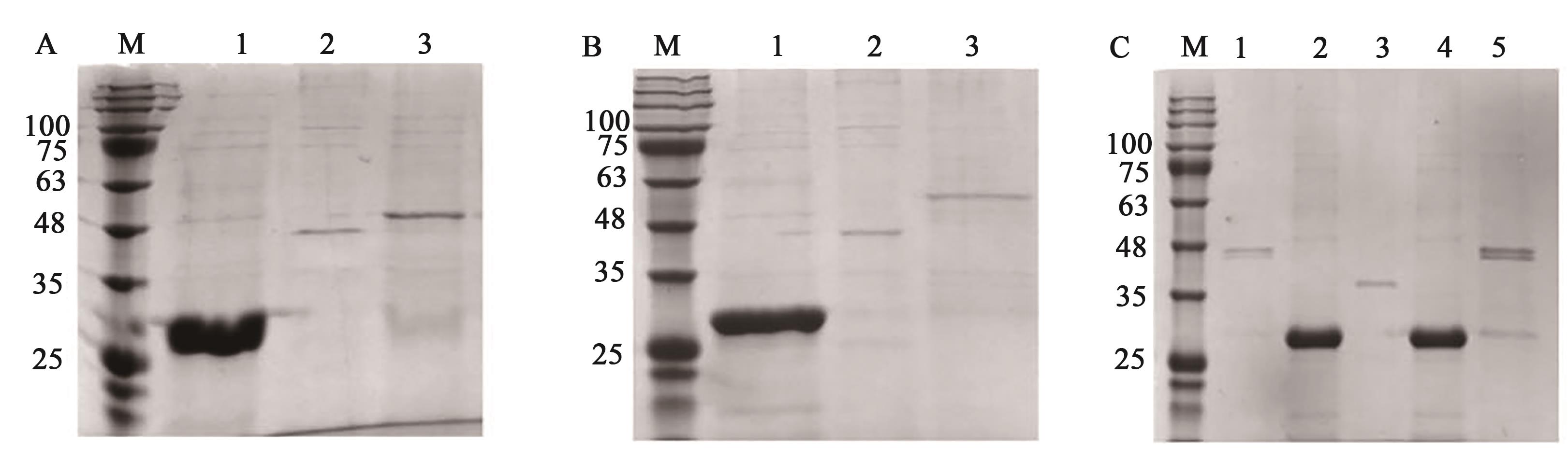
Erwinia beijingensis can cause the bacterial soft rot disease of Pleurotus eryngii. In order to clarify the function of glycosyltransferase in E. beijingensis, a recombinant expression vector was constructed to express and purify the glycosyltransferase in this pathogen. The protein activity was measured, and the interactions between proteins were analyzed. The results showed that the prokaryotic expression vector was successfully constructed, 4 soluble proteins were obtained, and MshA, WbnH2, EpsH and TuaG proteins were purified by affinity chromatography column. The activity assay showed that four proteins preferentially used UDP galactose. GST pull down results confirmed that WbnH2 and TuaG proteins interacted with MshA and EpsH proteins in vitro, respectively. Above results laid a foundation for the subsequent study on the function of the glycosyltransferase gene in E. beijingensis.

Key words: Erwinia beijingensis, soft rot, glycosyltransferase, prokaryotic expression

摘要:

北京欧文氏菌(Erwinia beijingensis)可引起刺芹侧耳细菌性软腐病,为明确该病原菌中糖基转移酶的功能,以糖基转移酶基因为研究对象,构建重组表达载体进行表达纯化;并测定蛋白活性,分析蛋白间相互作用。结果表明,成功构建了原核表达载体,获得4个可溶性蛋白。经亲和层析柱纯化获得MshA、WbnH2、EpsH及TuaG蛋白,活性测定显示4个蛋白均可以利用UDP-糖,并优先利用UDP-半乳糖。GST pull down证实WbnH2及TuaG蛋白分别与MshA及EpsH蛋白在体外具有相互作用。以上研究结果为进一步研究北京欧文氏菌糖基转移酶基因功能奠定了基础。

关键词: 北京欧文氏菌, 软腐病, 糖基转移酶, 原核表达

CLC Number: